Logo

American Heart Association

  68
  0


Final ID: Mo1033

Impella Support in Acute Severe Mitral Regurgitation With Cardiogenic Shock and Septal Injury–Related Heart Block

Abstract Body (Do not enter title and authors here): Background:
Acute severe mitral regurgitation (MR) is a rare but life-threatening cause of cardiogenic shock, often resulting in multi-organ failure. Mechanical circulatory support (MCS) with Impella is infrequently used in this setting but may offer rapid stabilization as a bridge to surgery. However, device-related conduction system trauma remains underrecognized.

Case:
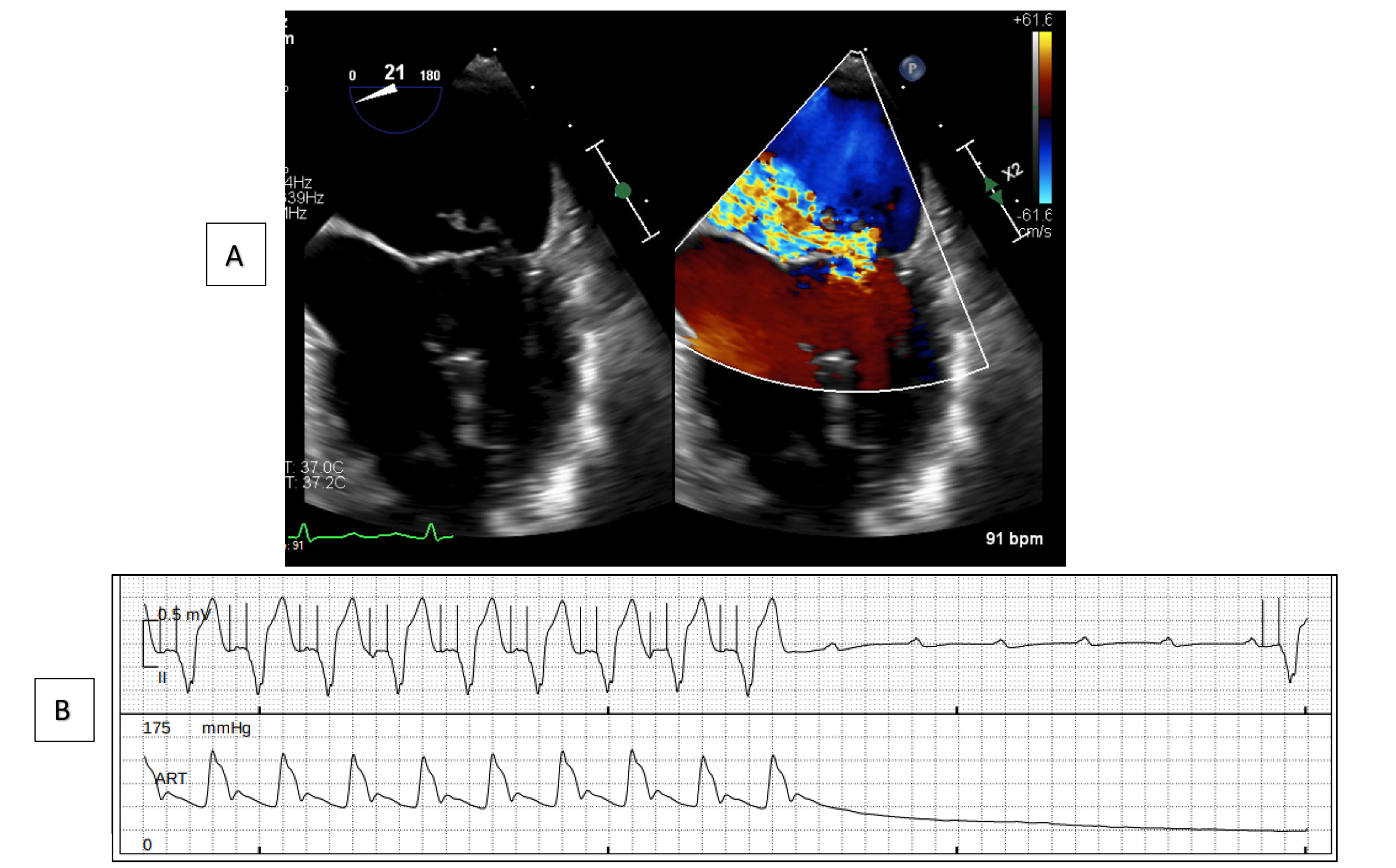
A 77-year-old woman with hypertension presented with acute dyspnea, new-onset atrial fibrillation, and a holosystolic murmur. Transesophageal echocardiography revealed a flail P2 scallop with acute severe MR and preserved ejection fraction. The left ventricular internal diameter was within normal limits but showed concentric hypertrophy. She developed cardiogenic shock with acute kidney and liver injury. Impella CP was initiated to augment forward flow and unload the LV using a target P-7 setting, as intra-aortic balloon pump was deemed insufficient due to its afterload-reducing mechanism. Over 48 hours, end-organ function improved markedly. During support, frequent ventricular ectopy was observed. At mitral valve replacement, septal bruising was noted despite appropriately shallow device positioning (3.2 cm), and intermittent complete heart block required temporary epicardial pacing. A permanent dual-chamber pacemaker was placed the next day due to persistent conduction issues. She recovered well and was discharged home ambulatory.

Discussion:
Although intra-aortic balloon pump remains the most common MCS in acute MR due to ease of use, Impella may provide superior forward flow when LV unloading is needed. While complete heart block is recognized post-mitral surgery, its preoperative onset here implicates device-induced septal injury. The patient’s small, concentrically remodeled LV may have increased septal vulnerability. Though rarely reported, conduction disturbances from axial-flow MCS have been sparsely described and may be underrecognized.

Conclusion:
This case highlights both the utility and risks of Impella in acute MR with cardiogenic shock. Vigilance for conduction disturbances is critical—even with proper positioning—particularly in patients with compact ventricular geometry. Early recognition and pacing readiness may be key to favorable outcomes.
  • Khabsa, Mariam  ( Creighton University , Omaha , Nebraska , United States )
  • Klisares, Mason  ( Creighton University , Omaha , Nebraska , United States )
  • Li-jedras, May  ( Creighton University , Omaha , Nebraska , United States )
  • Kabach, Amjad  ( Creighton University , Omaha , Nebraska , United States )
  • Khiabani, Ali  ( WASHINGTON UNIVERSITY SCHOOL OF MED , Saint Louis , Missouri , United States )
  • Roka, Attila  ( Creighton University , Omaha , Nebraska , United States )
  • Author Disclosures:
    Mariam Khabsa: DO NOT have relevant financial relationships | Mason Klisares: DO NOT have relevant financial relationships | May Li-Jedras: DO NOT have relevant financial relationships | Amjad Kabach: DO NOT have relevant financial relationships | Ali Khiabani: No Answer | Attila Roka: DO NOT have relevant financial relationships
Meeting Info:

Scientific Sessions 2025

2025

New Orleans, Louisiana

Session Info:

Echocardiography Research and Case Reports

Monday, 11/10/2025 , 01:00PM - 02:00PM

Abstract Poster Board Session

More abstracts on this topic:
Adverse Events and Outcomes Among Patients with Temporary Mechanical Circulatory Support Devices Placed at Referring Versus Hub Cardiogenic Shock Centers

Patel Zachary, Silkowski Molly, Dodson Kaylen, Bull Lindsey, Gregoski Mathew, Tedford Ryan, Mcmurray Jeffrey, Witer Lucas, Kilic Arman, Houston Brian, Carnicelli Anthony, Ospina Meg, Mittelstaedt Roxanne, Peller Jacob, Samani Stephanie, Marchell Charlotte, Ohlrich Kelly, Gunn Brady, Varrone Michael

Clinical impact of new severe tricuspid regurgitation following device lead extraction

Arunachalam Karikalan Suganya, M Ezzedine Fatima, Desimone Christopher, Sugrue Alan, Padang Ratnasari, El Masry Hicham, Lee Justin, Deshmukh Abhishek, O'shea Michael, Vemulapalli Hema Srikanth, Mulpuru Siva, Killu Ammar, Siontis Konstantinos, Kowlgi Gurukripa, Cha Yong, Madhavan Malini

You have to be authorized to contact abstract author. Please, Login
Not Available