Logo

American Heart Association

  139
  0


Final ID: Sa301

Successful Deployment of Resuscitative Endovascular Balloon Occlusion of the Aorta by Emergency Medicine Physicians for Refractory Non-Traumatic Out of Hospital Cardiac Arrest

Abstract Body: Introduction/Background
Resuscitative endovascular balloon occlusion of the aorta (REBOA), initially developed to manage non-compressible torso hemorrhage, is a promising intervention for enhancing coronary and cerebral perfusion in non-traumatic cardiac arrest. This procedure can increase rate of return of spontaneous circulation (ROSC) or serve as a bridge to extracorporeal cardiopulmonary resuscitation (ECPR).

Research Questions/Hypothesis
We hypothesized that emergency physicians, following an educational program including didactics, simulation, and live tissue trainings, would demonstrate successful and safe REBOA placement in adults with out-of-hospital cardiac arrest (OHCA).

Goals/Aims
This study aims to evaluate the first-pass success rate of REBOA placed by trained emergency physicians during treatment of OHCA in the emergency department.

Methods/Approach
This was a retrospective review of emergency physician-placed REBOA devices. Five board-certified Emergency Medicine attending physicians were trained using didactics, hands-on simulations, and live tissue training in pigs, followed by an objective competency assessment using the REBOA Rating of Skills tool (REBOA-RATE). REBOA device selection was based on availability within the emergency department.

Patient Selection: Patients were selected based on provider discretion, specifically those who did not meet institutional ECPR criteria. Inclusion criteria included patients aged 18-80 with a witnessed arrest who had received at least 15 minutes of standard advanced cardiac life support interventions. Exclusion criteria included known end-stage organ disease, trauma, or dementia.

Results/Data:
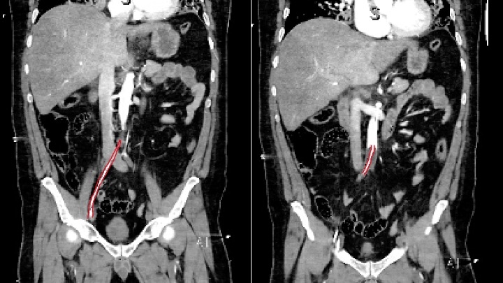
Eight patients, 5 males and 3 females (age range 25-79), underwent REBOA placement. First pass success was 8/8 (100%) REBOA catheters from all 3 commercially available catheters in the United States were used. ROSC was achieved in 3/8 (37.5%) patients, although all patients died after hospital admission. No REBOA associated complications were identified on imaging or autopsy reports.

Conclusions:
All REBOA placements performed by trained emergency physicians in patients with OHCA were successful after our training protocol, resulting in ROSC in 37.5% with no long term survivors. Based on the demonstrated success rate, we hope to further examine the feasibility and utility of REBOA in the pre-hospital setting for patients with refractory cardiac arrest as a bridge to earlier ROSC or additional ECPR therapies.
  • Brant-zawadzki, Graham  ( University of Utah , Salt Lake City , Utah , United States )
  • Johnson, Michael  ( University of Utah , Holladay , Utah , United States )
  • Hoareau, Guillaume  ( University of Utah , Salt Lake City , Utah , United States )
  • Stoecklein, Holbrook  ( University of Utah , Salt Lake City , Utah , United States )
  • Levin, Nicholas  ( University of Utah , Salt Lake City , Utah , United States )
  • Selzman, Craig  ( UTAH UNIVERSITY , Salt Lake City , Utah , United States )
  • Ciullo, Anna  ( University of Utah , Sandy , Utah , United States )
  • Tonna, Joseph  ( University of Utah , Salt Lake Cty , Utah , United States )
  • Kelly, Christopher  ( University of Utah , Salt Lake City , Utah , United States )
  • Youngquist, Scott  ( UNIVERSITY OF UTAH , Salt Lake Cty , Utah , United States )
  • Author Disclosures:
    Graham Brant-Zawadzki: DO NOT have relevant financial relationships | Michael Johnson: No Answer | Guillaume Hoareau: DO have relevant financial relationships ; Consultant:Radiatrics:Past (completed) ; Research Funding (PI or named investigator):Department of Defense :Active (exists now) ; Royalties/Patent Beneficiary:University of Utah - GJA1-20k:Active (exists now) ; Individual Stocks/Stock Options:Certus Crtical Care:Active (exists now) | Holbrook Stoecklein: DO NOT have relevant financial relationships | Nicholas Levin: No Answer | Craig Selzman: DO NOT have relevant financial relationships | Anna Ciullo: DO NOT have relevant financial relationships | Joseph Tonna: DO NOT have relevant financial relationships | Christopher Kelly: DO NOT have relevant financial relationships | Scott Youngquist: DO have relevant financial relationships ; Researcher:NINDS:Active (exists now) ; Consultant:CoLabs, Inc:Active (exists now) ; Speaker:ZOLL Corp:Past (completed) ; Individual Stocks/Stock Options:Emergency Scientific:Past (completed)
Meeting Info:

Resuscitation Science Symposium

2024

Chicago, Illinois

Session Info:

ReSS24 Poster Session 103: Intra-Arrest at the Cutting Edge

Saturday, 11/16/2024 , 05:15PM - 06:45PM

ReSS24 Poster Session and Reception

More abstracts on this topic:

4-5 Years Outcomes of Left Atrial Appendage Closure vs. Oral Anticoagulants in Atrial Fibrillation: A Systematic Review and Meta-Analysis:

Khan Muhammad Aslam, Haider Taimoor, Bhattarai Shraddha, Afzal Hafsa, Khan Bilal, Muhammad Anza, Shafique Nouman, Bhatia Hitesh, Aafreen Asna, Adil Abid Nawaz Khan, Akbar Usman, Khan Alamzaib, Haider Muhammad Adnan

Acute intracranial stenting among patients with large vessel occlusion: Clinical and radiological outcomes of the RESISTANT International registry

Requena Manuel, Lopez-frias Alfonso, Hassan Ameer, Miller Samantha, Zapata-arriaza Elena, De Alboniga-chindurza Asier, Bergui Mauro, Molinaro Stefano, Sousa Joao Andre, Gomes Fábio, Alexandre Andrea, Olive-gadea Marta, Pedicelli Alessandro, Hofmeister Jeremy, Machi Paolo, Scarcia Luca, Kalsoum Erwah, Meira Torcato, Amorim José, Ortega-gutierrez Santiago, Rodriguez Aaron, Capasso Francesco, Kaesmacher Johannes, Renieri Leonardo, Romano Daniele, Barcena Eduardo, Abdalkader Mohamad, Perry Da Camara Catarina, Yavagal Dileep, Vega Pedro, Ozdemir Atilla Ozcan, Smajda Stanislas, Khalife Jane, Mujanovic Adnan, Biraschi Francesco, Castro Pedro, Siddiqui Adnan, Navia Pedro, Ntoulias Nikolaos, Velo Mariano, Zamarro Joaquin, Zaidat Osama, Sierra-gomez Alicia, Marto Joao Pedro, Geyik Serdar, Tomasello Alejandro, Senadim Songul, Cervo Amedeo, Salcuni Andrea, Moreu Manuel

More abstracts from these authors:
You have to be authorized to contact abstract author. Please, Login
Not Available