Logo

American Heart Association

  18
  0


Final ID: MP2095

Case title: Superficial Myocardial Bridging Continuing as Intracavitary Course and Presenting as Angina-Like Chest Pain in a Young Female

Abstract Body (Do not enter title and authors here): Introduction: Superficial myocardial bridging (MB) and intracavitary course (IC) of the left anterior descending artery (LAD) are considered benign conditions. Small segment bridging is common at the proximal and distal ends of the IC where the artery enters and exits the right ventricular cavity. However, a longer course of MB before IC and presentation as angina-like pain are rarely described, making the case unique.

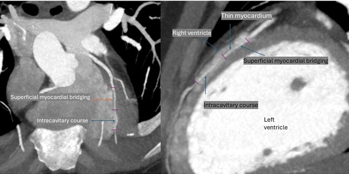
Case Summary: A female in her 30s presented with left-sided chest pain radiating to the left upper limb. ECG, echocardiography, and chest x-ray were normal. Given her age, non-smoking status, and angina-like presentation, she was referred for CT coronary angiography to look for any structural cardiac or coronary anomaly. CT showed no hemodynamically significant plaque. However, a variant course of LAD was noted, with 12 mm long and 1-2 mm deep MB affecting the mid-segment of LAD. MB continued as IC for 17 mm length along the mid-to-distal course of LAD in the right ventricular cavity between the free and septal walls of the chamber. Long-segment mild-to-moderate stenosis was noted in the affected segments (MB and IC) on diastolic reconstruction with mild pre- and post-stenotic dilatation of LAD.

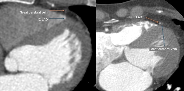
IC is difficult to recognize in conventional angiography. We noticed two important imaging features in this case that can act as clues for the identification of this variant on conventional angiography. One was a subtle secondary curve noted at the level of IC. The other was a relatively posterior position of LAD with respect to the great cerebral vein and a demonstrable increased distance between them. The patient was managed medically and counseled in cardiology.

Discussion: MB and IC are often labeled as benign conditions.MB is an important differential in young, non-smoking patients who are at low risk of developing atherosclerosis. It can present with angina-like chest pain, acute coronary syndromes, arrhythmias, or sudden cardiac death. Medical management of the condition includes beta-blockers and calcium channel blockers. Percutaneous intervention with drug-eluting stents or surgical myotomy of the bridge is advised in refractory cases. IC poses a risk of injury during cardiac procedures. If not correctly identified, It can lead to myocardial ischemia or coronary fistula causing volume overload and heart failure. Imaging clues, mentioned above on CT of the current case, can help identify IC in non-suspecting cases during cardiac procedures.
  • Boski, Neha  ( Apollo Radiology International , Hyderabad , India )
  • Raj, Rohan  ( Memorial Hospital at Gulfport , Gulfport , Mississippi , United States )
  • Jain, Nikhil  ( UPUMS, Saifai , Saifai , India )
  • Mishra, Ujjwal  ( UPUMS, Saifai , Saifai , India )
  • Kumar, Mahendra  ( Sardar Patel Medical College , New Delhi , India )
  • Haseeb, Madiha  ( SUNY Downstate Health Sciences University , New York City , New York , United States )
  • Author Disclosures:
    Neha Boski: DO NOT have relevant financial relationships | Rohan Raj: DO NOT have relevant financial relationships | Nikhil Jain: DO NOT have relevant financial relationships | Ujjwal Mishra: DO NOT have relevant financial relationships | Mahendra Kumar: DO NOT have relevant financial relationships | Madiha Haseeb: DO NOT have relevant financial relationships
Meeting Info:

Scientific Sessions 2025

2025

New Orleans, Louisiana

Session Info:

Clinical Case: CAD

Monday, 11/10/2025 , 09:15AM - 10:15AM

Moderated Digital Poster Session

More abstracts on this topic:
A Systematic Review and Network Meta-Analysis of Metastatic Castrate-Resistant Prostate Cancer Therapy Cardiotoxicity Given Metastatic Hormone-Sensitive Prostate Cancer Treatment History

Aziz Moez, Swaby Justin, Deng Brett, Hartshorne Taylor, Desai Shubh, Zhang Allan, Xiao Daniel, Sanchez Darren, Imber Jared, Song Jeffrey, Rivas Alexis, Molony Donald, Guhan Maya, Ranganath Shreyas, Jacob Jerril, Ziaolhagh Ali, Ali Abdelrahman, Yusuf Syed, Canfield Steven, Iliescu Cezar, Monlezun Dominique, Higgason Noel, Brunckhorst Oliver, Roland Jerry, Owen Christopher, Iacobucci Alexander Samuel, Galan Jacob

Co-localization of NCCT hypodensity and CTA spot sign to predict intracerebral hematoma expansion and severity: development and validation of the Black-&-White sign

Pensato Umberto, Banerjee Ankur, Kulkarni Girish, Menon Bijoy, Goyal Mayank, Hill Michael, Molina Carlos, Silva Yolanda, Boulanger Jean-martin, Gubitz Gord, Bhatia Rohit, Tanaka Koji, Srivastava Padma, Roy Jayanta, Dzialowski Imanuel, Kase Carlos, Kobayashi Adam, Rodriguez-luna David, Aviv Richard, Dowlatshahi Dar, Demchuk Andrew, Horn Mackenzie, Teleg Ericka, Al Sultan Abdulaziz, Kasickova Machova Linda, Ohara Tomoyuki, Ojha Piyush, Marzoughi Sina

More abstracts from these authors:
Global, National and regional burden and Trend of Chronic Kidney Disease due to Hypertension in 204 Countries and Territories from 1990-2021: A Benchmarking Global Analysis

Kumar Mahendra, Raj Rohan, Patel Juhi, Desai Hardik, Shaikh Salomi, Kaur Parvinder, Nuthalapati Mohith, Purohit Sree Abhilekha, Dhillon Nimrat, Syed Saif, Shandilya Ashwinikumar, Lakkimsetti Mohit, Islam Rabia

Unequal Progress (1990–2021): Global Trends and Socio-Demographic Disparities in Cardiovascular Disease Attributable to High Fasting Plasma Glucose

Raj Rohan, Jain Nikhil, Mishra Ujjwal, Kumar Mahendra, Bano Kausar, Awasthi Kanishka, Haseeb Madiha, Kaur Parvinder

You have to be authorized to contact abstract author. Please, Login
Not Available