Logo

American Heart Association

  95
  0


Final ID: 50

Co-localization of NCCT hypodensity and CTA spot sign to predict intracerebral hematoma expansion and severity: development and validation of the Black-&-White sign

Abstract Body: Introduction: Hematoma expansion (HE) occurs in one-fourth of patients with acute intracerebral hematoma (ICH) and is associated with worse outcomes. Existing radiological markers of HE show modest predictive accuracy. We aim to investigate a novel radiological marker that co-localizes findings from non-contrast CT (NCCT) and CT angiography (CTA) to predict HE.
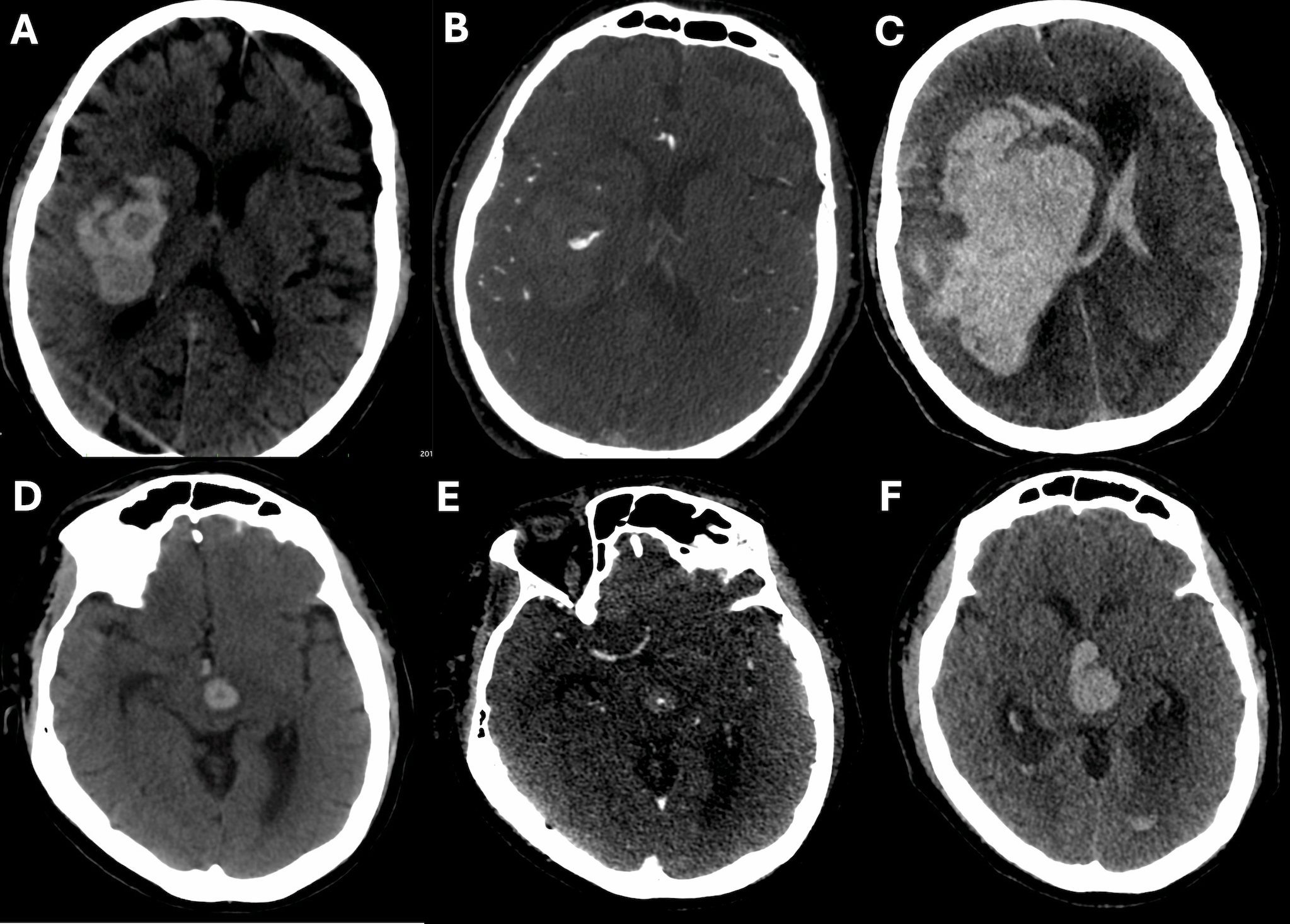
Methods: We analyzed 200 consecutive acute ICH patients admitted at Foothills Medical Centre in Calgary, Canada (development cohort) and analyzed 304 patients from the multicenter observational study PREDICT (validation cohort). The Black-&-White (B&W) sign was defined as any visually identified spot sign on CTA co-localized with a hypodensity sign on the corresponding NCCT (Figure 1). The primary outcome was hematoma expansion (≥6mL or ≥33%). Secondary outcomes included absolute (<3mL, 3-6mL, 6-12mL, ≥12mL) and relative (0%, <25%, 25-50%, 50-75%, or >75%) hematoma growth scales.
Results: In the development cohort, 22% (n=44) showed the spot sign, 34.5% (n=69) the hypodensity sign, and 7% (n=14) the B&W sign. Those with the B&W sign had higher proportions of HE (100% vs. 19.4%, p<0.001), greater absolute hematoma growth (23.37 mL [IQR=15.41-30.27] vs. 0 mL [IQR=0-2.39], p<0.001) and relative hematoma growth (120% [IQR=49-192] vs. 0% [0-15%], p<0.001) in comparison to those without. The B&W sign yielded a specificity of 100%, a PPV of 100%, and an accuracy of 82%.
In the validation cohort, 25% (n=76) showed the spot sign, 39.1% (n=119) the hypodensity sign, and 9.5% (n=29) the B&W sign. Those with B&W signs had higher proportions of HE (79.3% vs. 30.2%, p<0.001), greater absolute hematoma growth (19.1 mL [IQR=6.4-40] vs. 0.8 mL [0-5.6], p<0.001), and relative hematoma growth (92% [IQR=16-151%] vs. 9% [0-34%], p<0.001) in comparison to those without. The B&W sign yielded a specificity of 97%, a PPV of 79%, and an accuracy of 71%. We found a consistent progressive improvement in predicting HE when hypodensity and spot signs are absent, individually present, both present but not co-localized, and co-localized (Figures 2-3). The inter-rater agreement was excellent (k=0.84) in the development cohort, with a uniform imaging protocol of NCCT immediately followed by CTA at a single center, and moderate (k=0.54) in the validation cohort at multiple centers.
Conclusion: The Black-&-White sign is a robust predictor of hematoma expansion occurrence and hematoma expansion severity.
  • Pensato, Umberto  ( Humanitas University , Milan , Italy )
  • Banerjee, Ankur  ( University of Calgary , Calgary , Alberta , Canada )
  • Kulkarni, Girish  ( N1506 , Bangalore , India )
  • Menon, Bijoy  ( University of Calgary , Calgary , Alberta , Canada )
  • Goyal, Mayank  ( university of calgary , Calgary , Alberta , Canada )
  • Hill, Michael  ( UNIVERSITY CALGARY , Calgary , Alberta , Canada )
  • Molina, Carlos  ( HOSPITAL VALL D HEBRON , Barcelona , Spain )
  • Silva, Yolanda  ( Hospital Dr Josep Trueta, Girona , Girona , Spain )
  • Boulanger, Jean-martin  ( Neuro Rive-Sud , Greenfield Park , Quebec , Canada )
  • Gubitz, Gord  ( Dalhousie University , Halifax , Nova Scotia , Canada )
  • Bhatia, Rohit  ( AIIMS NEUROSCIENCES CTR , New Delhi , India )
  • Tanaka, Koji  ( University of Calgary , Calgary , Alberta , Canada )
  • Srivastava, Padma  ( All Indian Institute of Medical Sciences , New Dheli , India )
  • Roy, Jayanta  ( AMRI Hospital Kolkata , Kolkata , India )
  • Dzialowski, Imanuel  ( University of Dresden , Dresden , Germany )
  • Kase, Carlos  ( Boston Medical Center , Boston , Massachusetts , United States )
  • Kobayashi, Adam  ( Institute of Psychiatry Neurology , Warsaw , Poland )
  • Rodriguez-luna, David  ( Vall dHebron University Hospital , Barcelona , Spain )
  • Aviv, Richard  ( University of Toronto , Toronto , Ontario , Canada )
  • Dowlatshahi, Dar  ( UNIV OTTAWA , Ottawa , Ontario , Canada )
  • Demchuk, Andrew  ( University of Calgary , Calgary , Alberta , Canada )
  • Horn, Mackenzie  ( University of Calgary , Calgary , Alberta , Canada )
  • Teleg, Ericka  ( Grand River Hospital , Kitchener , Ontario , Canada )
  • Al Sultan, Abdulaziz  ( University of Calgary , Calgary , Alberta , Canada )
  • Kasickova Machova, Linda  ( University of Calgary , Calgary , Alberta , Canada )
  • Ohara, Tomoyuki  ( Kyoto Prefectural University of Med , Kyoto , Japan )
  • Ojha, Piyush  ( University of Calgary , Calgary , Alberta , Canada )
  • Marzoughi, Sina  ( University of Calgary , Calgary , Alberta , Canada )
  • Author Disclosures:
    Umberto Pensato: DO NOT have relevant financial relationships | Ankur Banerjee: No Answer | Girish Kulkarni: DO NOT have relevant financial relationships | Bijoy Menon: DO have relevant financial relationships ; Individual Stocks/Stock Options:Circle CVI:Active (exists now) ; Advisor:Boehringer Ingelheim:Past (completed) | Mayank Goyal: DO have relevant financial relationships ; Consultant:Medtronic:Active (exists now) ; Ownership Interest:Circle:Active (exists now) ; Research Funding (PI or named investigator):Cerenovus:Active (exists now) ; Research Funding (PI or named investigator):Medtronic:Active (exists now) ; Advisor:Fluid Biomed:Active (exists now) ; Consultant:Mentice:Active (exists now) ; Consultant:Microvention:Active (exists now) | Michael Hill: DO have relevant financial relationships ; Consultant:Brainsgate Inc:Past (completed) ; Individual Stocks/Stock Options:Circle Inc:Active (exists now) ; Individual Stocks/Stock Options:Basking Bioscience:Active (exists now) ; Research Funding (PI or named investigator):Boehringer-Ingelheim:Active (exists now) ; Research Funding (PI or named investigator):Medtronic:Active (exists now) ; Consultant:Diamedica Inc:Active (exists now) | Carlos Molina: DO NOT have relevant financial relationships | Yolanda Silva: DO NOT have relevant financial relationships | jean-martin boulanger: DO NOT have relevant financial relationships | Gord Gubitz: No Answer | Rohit Bhatia: DO NOT have relevant financial relationships | Koji Tanaka: DO NOT have relevant financial relationships | PADMA SRIVASTAVA: DO NOT have relevant financial relationships | Jayanta Roy: DO NOT have relevant financial relationships | Imanuel Dzialowski: No Answer | Carlos Kase: DO NOT have relevant financial relationships | Adam Kobayashi: No Answer | David Rodriguez-Luna: DO NOT have relevant financial relationships | Richard Aviv: DO NOT have relevant financial relationships | Dar Dowlatshahi: DO NOT have relevant financial relationships | Andrew Demchuk: DO NOT have relevant financial relationships | MacKenzie Horn: DO NOT have relevant financial relationships | Ericka Teleg: DO NOT have relevant financial relationships | Abdulaziz Al Sultan: DO NOT have relevant financial relationships | Linda Kasickova Machova: DO NOT have relevant financial relationships | Tomoyuki Ohara: DO NOT have relevant financial relationships | Piyush Ojha: DO NOT have relevant financial relationships | Sina Marzoughi: No Answer
Meeting Info:
Session Info:

Intracerebral Hemorrhage Oral Abstracts I

Wednesday, 02/05/2025 , 02:00PM - 03:00PM

Oral Abstract Session

More abstracts on this topic:
A recombinant protein oxygen carrier with reduced nitric oxide scavenging as a blood substitute for resuscitation

Xu Qinzi, Rochon Elizabeth, Bocian Kaitlin, Huang Xue, Poropatich Ronald, Gladwin Mark, Tejero Jesus, Rose Jason, Rodriguez Deborah, Hwang Hyon, Turner Bryan, Hunt Thomas, Dent Matthew, Demartino Anthony, Abdelghany Youmna, Chen Xiukai

Computed Tomography Cardiac Angiography Guided vs Invasive Angiography Alone in Patients with Prior Coronary Artery Bypass Grafting: A Systematic Review and Meta-Analysis

Lingamsetty Shanmukh Sai Pavan, Pamreddy Hrushikesh Reddy, Gaddam Vinuthna, Jitta Sahas Reddy, Vatsavayi Priyanka, Patel Nirmit, Tera Chenna Reddy, Mishra Tanisha, Perumalla Hima Sanjana, Gudiwada Mohan Chandra Vinay Bharadwaj, Jasti Jaswanth

More abstracts from these authors:
Association between Time and Severe Hypoperfusion with Risk of Hemorrhagic Transformation in Thrombectomy Stroke Patients

Pensato Umberto, Goyal Mayank, Demchuk Andrew, Hill Michael, Ospel Johanna

Effect of Hemoglobin and Blood Glucose Levels on CTP Ischemic Core Underestimation: a post-hoc analysis of the ESCAPE-NA1 trial

Pensato Umberto, Demchuk Andrew, Hill Michael, Ospel Johanna, Bosshart Salome, Stebner Alexander, Rohr Axel, Kleinig Timothy, Gupta Rishi, Thomalla Gotz, Heo Ji, Goyal Mayank

You have to be authorized to contact abstract author. Please, Login
Not Available

Readers' Comments

We encourage you to enter the discussion by posting your comments and questions below.

Presenters will be notified of your post so that they can respond as appropriate.

This discussion platform is provided to foster engagement, and simulate conversation and knowledge sharing.

 

You have to be authorized to post a comment. Please, Login or Signup.


   Rate this abstract  (Maximum characters: 500)