Logo

American Heart Association

  65
  0


Final ID: Mo3124

Beyond the Cuff: Diagnosing Baroreceptor Failure After Head and Neck Radiation

Abstract Body (Do not enter title and authors here): Labile blood pressure in elderly patients is often multifactorial but may rarely stem from autonomic dysregulation due to structural baroreceptor damage. One under-recognized etiology is radiation-induced carotid sinus dysfunction, especially in patients with a history of head and neck irradiation. We present a case of labile hypertension and syncope in a patient with prior radiation therapy

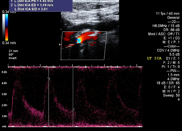
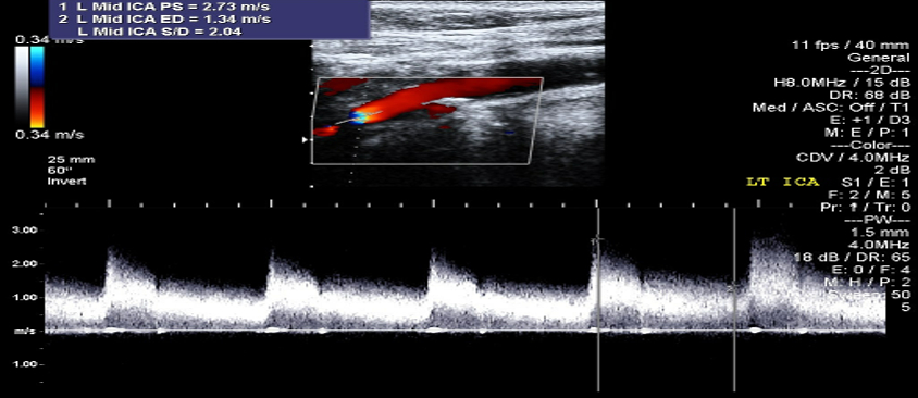
An 80-year-old woman with well-controlled hypertension presented with new-onset labile systolic pressures ranging from 90 to 200 mmHg. At age 63, she received radiation for SCC of the tongue. Eight years later, she developed episodic headaches and paresthesias during hypertensive spikes. Cardiology workup revealed persistent BP variability (see Figure 1), inappropriate heart rate responses, and sensitivity to antihypertensives—leading to hypotensive episodes. Carotid angiography showed 85% stenosis of the right ICA, successfully stented. A decade later, she had significant left-sided carotid disease (Figures 2a and 2b). Despite interventions, she continued to have erratic BP fluctuations and recurrent syncopal episodes. Radiation-induced baroreflex failure was suspected based on her clinical course and history.

Baroreceptor failure from prior radiation is due to disrupted afferent signaling. Radiation-induced carotid damage with plaque instability is frequently observed as well. There are no standardized diagnostic criteria; however, preserved efferent response alongside impaired afferent modulation suggests the diagnosis. Though microneurography can demonstrate absent reflexive responses to stimuli, it’s mostly research-based. Clinically, tests like Valsalva and cold pressor can be used, but arrhythmias and medication effects can limit accuracy. Due to testing limitations, diagnosis often relies on clinical history, serial vitals, and symptom correlation. Management is patient-specific, emphasizing education, BP self-monitoring, and cautious use of long-acting agents. Avoiding volume-depleting drugs, addressing hypotension supportively, and lifestyle changes are key.

This case underscores the importance of considering radiation-induced carotid sinus dysfunction in patients with labile blood pressure, syncope, and a history of head and neck radiation. Multidisciplinary approaches, including neurologic and autonomic evaluation, may be necessary to guide treatment and improve the quality of life in these complex patients.
  • Khan, Aarish Husain  ( Pennsylvania Hospital , Media , Pennsylvania , United States )
  • Parekh, Vinit  ( Pennsylvania Hospital , Media , Pennsylvania , United States )
  • Safdar, Nawaz  ( Pennsylvania Hospital , Media , Pennsylvania , United States )
  • Khan, Sabir  ( Pennsylvania Hospital , Media , Pennsylvania , United States )
  • Norris, Robert B  ( Pennsylvania Hospital , Media , Pennsylvania , United States )
  • Kohut, Andrew  ( Pennsylvania Hospital , Media , Pennsylvania , United States )
  • Author Disclosures:
    Aarish Husain Khan: DO NOT have relevant financial relationships | Vinit Parekh: DO NOT have relevant financial relationships | Nawaz Safdar: DO NOT have relevant financial relationships | Sabir Khan: DO NOT have relevant financial relationships | Robert B Norris: No Answer | Andrew Kohut: No Answer
Meeting Info:

Scientific Sessions 2025

2025

New Orleans, Louisiana

Session Info:

Cerebrovascular Disease: Aortic, Branch Vessel, and Carotid Issues

Monday, 11/10/2025 , 10:30AM - 11:30AM

Abstract Poster Board Session

More abstracts on this topic:
2 Dimensional Echocardiography versus 3 Dimentional Echocardiography to Assess Right Ventricular Function in Pulmonary Hypertension: A Systematic Review

Chaudhry Waleed Razzaq, Hajj Fatima, Bathula Satyamedha, Meghji Mohammed Askari, Pasupuleti Hemalatha, Kiyani Madiha, Shah Syeda Simrah, Neelakantan Ramaswamy Sanathanan, Mirzaeidizaji Nakisa, St. Jacques Jahnoy, Khan Khalil Ullah, Veluchamy Elakkiya, Jesse Joshanna

Comparison of Lipid-Lowering Therapies Regimens and LDL-C Profiles in Patients with Asymptomatic versus Acute Symptomatic Atherosclerotic Carotid Stenosis

Vlachos Dimitrios, Katan Mira, De Bresser Carolijn, De Borst Gert Jan, Wegener Susanne, De Marchis Gian Marco, Dittrich Tolga, Toebak Anna Marijn, Pereppadan Sruthy, Frenger Johannes, Jeker Benjamin, Farah Ioannis, Bruelisauer Shania, Inauen Corinne

More abstracts from these authors:
It’s Complicated: Managing Multi-Organ Dysfunction

Eisen Howard, Pagidipati Neha, Kohut Andrew

Conservative Management of Non-Obstructive Left Main Coronary Artery Thrombus in the Setting of Myopericarditis

Alkhatib Zuhdi, Khan Sabir, Safdar Nawaz, Assi Abdul Elah, Kohut Andrew

You have to be authorized to contact abstract author. Please, Login
Not Available