Logo

American Heart Association

  43
  0


Final ID: MP1801

Conservative Management of Non-Obstructive Left Main Coronary Artery Thrombus in the Setting of Myopericarditis

Abstract Body (Do not enter title and authors here): Background:
Left main (LM) coronary artery thrombus is a rare but life-threatening condition, typically associated with acute coronary syndromes requiring urgent intervention. Certain conditions such as myopericarditis contribute to a prothrombotic state through systemic inflammation. In rare cases, this may predispose to coronary thrombosis, particularly in patients with additional risk factors. We describe a case in which myopericarditis likely contributed to the formation of a non-obstructive left main coronary artery thrombus in the setting of overlapping systemic inflammation and underlying prothrombotic risk, managed conservatively without percutaneous intervention.

Case presentation:
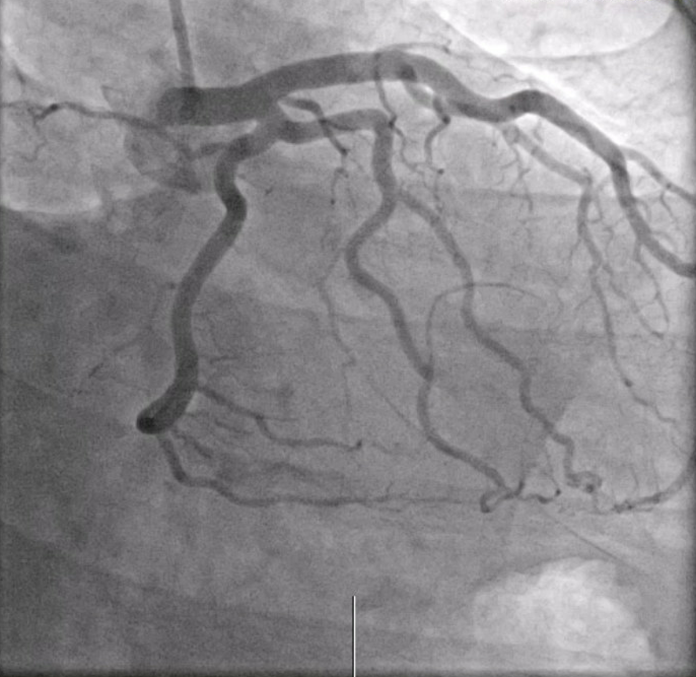
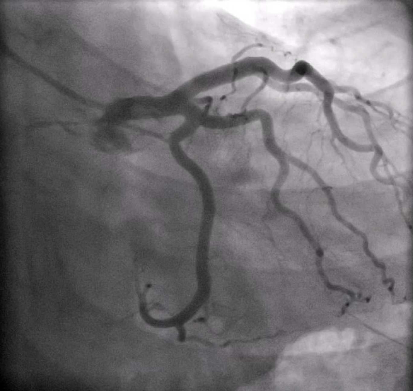
A 36-year-old male with a history of well-controlled HIV on ART, presented with fever, hypotension, and a morbilliform rash shortly after initiation of trimethoprim-sulfamethoxazole for a skin and soft tissue infection. He was found to have elevated troponins (peak 661 ng/L) and diffuse ST elevations on EKG, consistent with myopericarditis. He was vitally stable and did not complain of chest pain or shortness of breath throughout his hospital course. Initial investigation with coronary CTA revealed a possible LM thrombus, which was confirmed on left heart catheterization (LHC) as a non-obstructive thrombus (30% stenosis) in the mid-LM. The patient was managed with a tirofiban bolus and infusion, a heparin drip, and dual antiplatelet therapy with aspirin and clopidogrel. Repeat LHC five days later demonstrated complete resolution of the thrombus. TEE was performed to exclude possible sources of embolization including valvular vegetation or left ventricular thrombus. This was notable for a small mobile echodensity on the tricuspid valve which appeared to be consistent with redundant tissue, but no left-sided source of embolism, and he did not have evidence of a patent foramen ovale. The patient was discharged on apixaban and clopidogrel for 6 and 12 months respectively, with plans for outpatient cardiology follow-up and cardiac MRI.

Conclusion:
In patients with non-obstructive coronary thrombus trigerred by a prothrombotic state, conservative management with anticoagulation and antiplatelet therapy may be appropriate in those who are hemodynamically stable. Clinicians should maintain a high index of suspicion for thrombotic complications in patients with systemic inflammation, especially those with HIV or other prothrombotic risk factors.
  • Alkhatib, Zuhdi  ( Pennsylvania Hospital , Philadelphia , Pennsylvania , United States )
  • Khan, Sabir  ( Pennsylvania Hospital , Philadelphia , Pennsylvania , United States )
  • Safdar, Nawaz  ( Pennsylvania Hospital , Philadelphia , Pennsylvania , United States )
  • Assi, Abdul Elah  ( Pennsylvania Hospital , Philadelphia , Pennsylvania , United States )
  • Kohut, Andrew  ( Pennsylvania Hospital , Philadelphia , Pennsylvania , United States )
  • Author Disclosures:
    Zuhdi Alkhatib: DO NOT have relevant financial relationships | Sabir Khan: No Answer | Nawaz Safdar: No Answer | Abdul Elah Assi: DO NOT have relevant financial relationships | Andrew Kohut: No Answer
Meeting Info:

Scientific Sessions 2025

2025

New Orleans, Louisiana

Session Info:

Lessons from the Front Lines: Challenging Coronary Case Reports

Sunday, 11/09/2025 , 09:15AM - 10:15AM

Moderated Digital Poster Session

More abstracts on this topic:
Acute Inferolateral STEMI as an Initial Presentation of Polycythemia Vera with Recurrent Coronary Thrombosis Despite Triple Therapy

Thiravetyan Ben, Olavarria-bernal Diego, Leelaviwat Natnicha, Yanpiset Panat, Puchongmart Chanokporn, Kanitthamniyom Chanakarn, Saowapa Sakditad, Martignoni Felipe, Sly Zhaunn

A distinct clot transcriptomic signature is associated with atrial fibrillation-derived ischemic stroke in the INSIGHT Registry

Seah Carina, Rivet Dennis, Fraser Justin, Kellner Christopher, Devarajan Alex, Vicari James, Dabney Alan, Baltan Selva, Sohrabji Farida, Pennypacker Keith, Nanda Ashish, Woodward Britton

More abstracts from these authors:
Beyond the Cuff: Diagnosing Baroreceptor Failure After Head and Neck Radiation

Khan Aarish Husain, Parekh Vinit, Safdar Nawaz, Khan Sabir, Norris Robert B, Kohut Andrew

It’s Complicated: Managing Multi-Organ Dysfunction

Eisen Howard, Pagidipati Neha, Kohut Andrew

You have to be authorized to contact abstract author. Please, Login
Not Available