Logo

American Heart Association

  77
  0


Final ID: MP2550

Exceptionally Early Tricuspid Bioprosthetic Valve Degeneration: Diagnostic Evaluation and Successful Transcatheter Valve-in-Valve Intervention

Abstract Body (Do not enter title and authors here): Introduction: Structural valve degeneration (SVD) of bioprosthetic tricuspid valves within six months of implantation is exceedingly rare and presents significant management challenges. We describe the diagnostic evaluation and successful transcatheter tricuspid valve-in-valve (ViV) implantation for a bioprosthetic tricuspid valve failure occurring within two months of surgery.

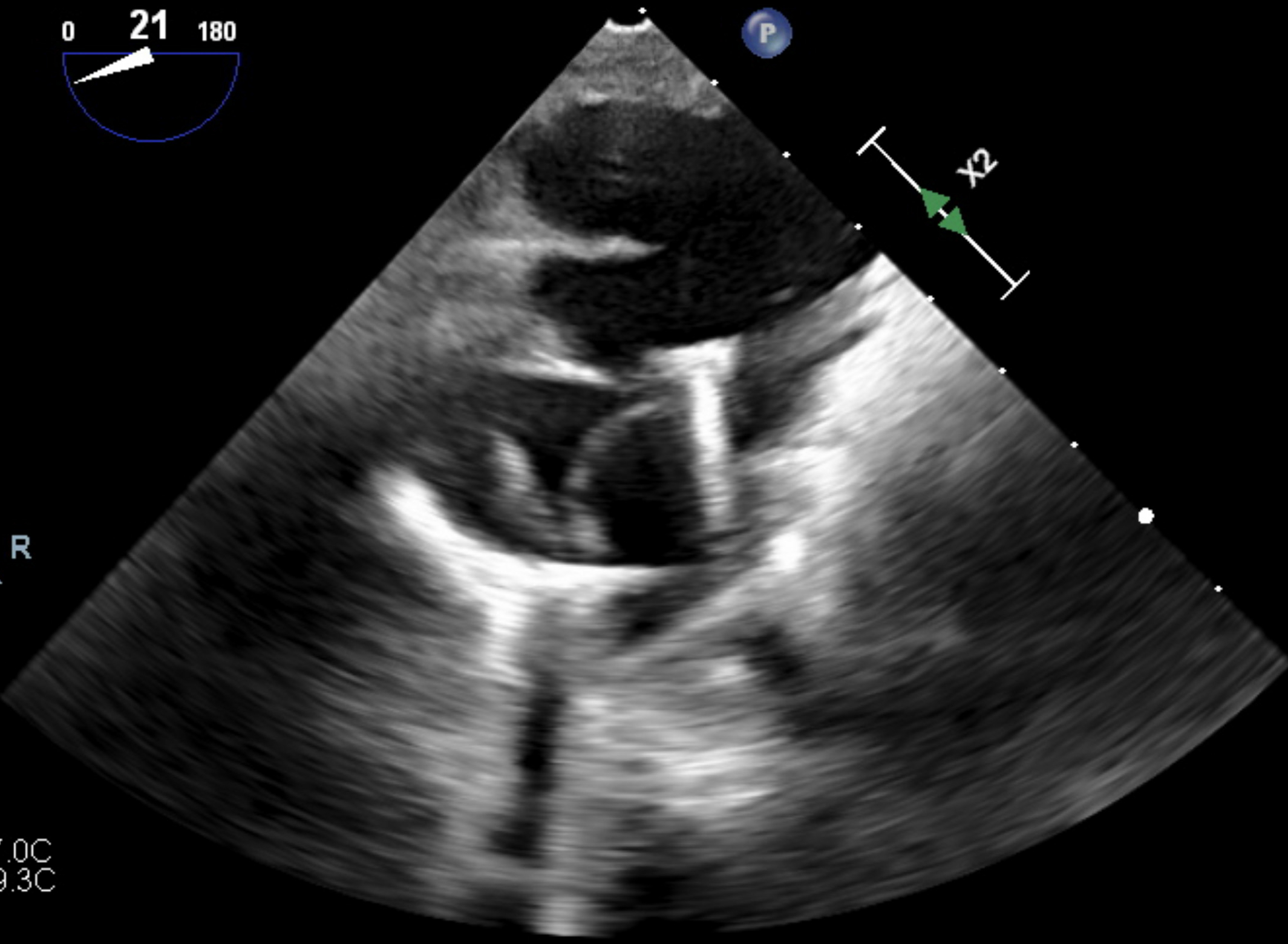
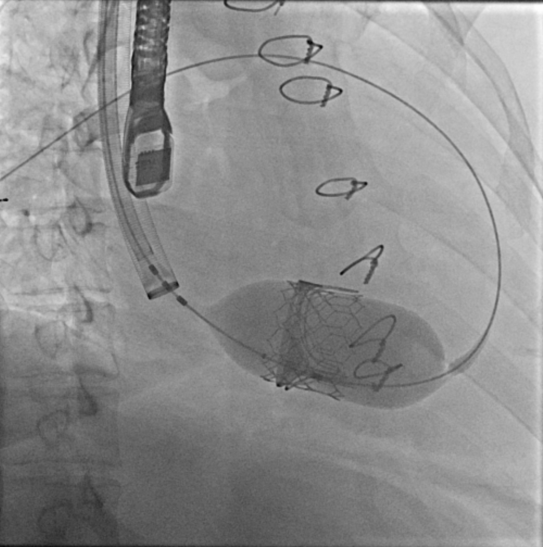
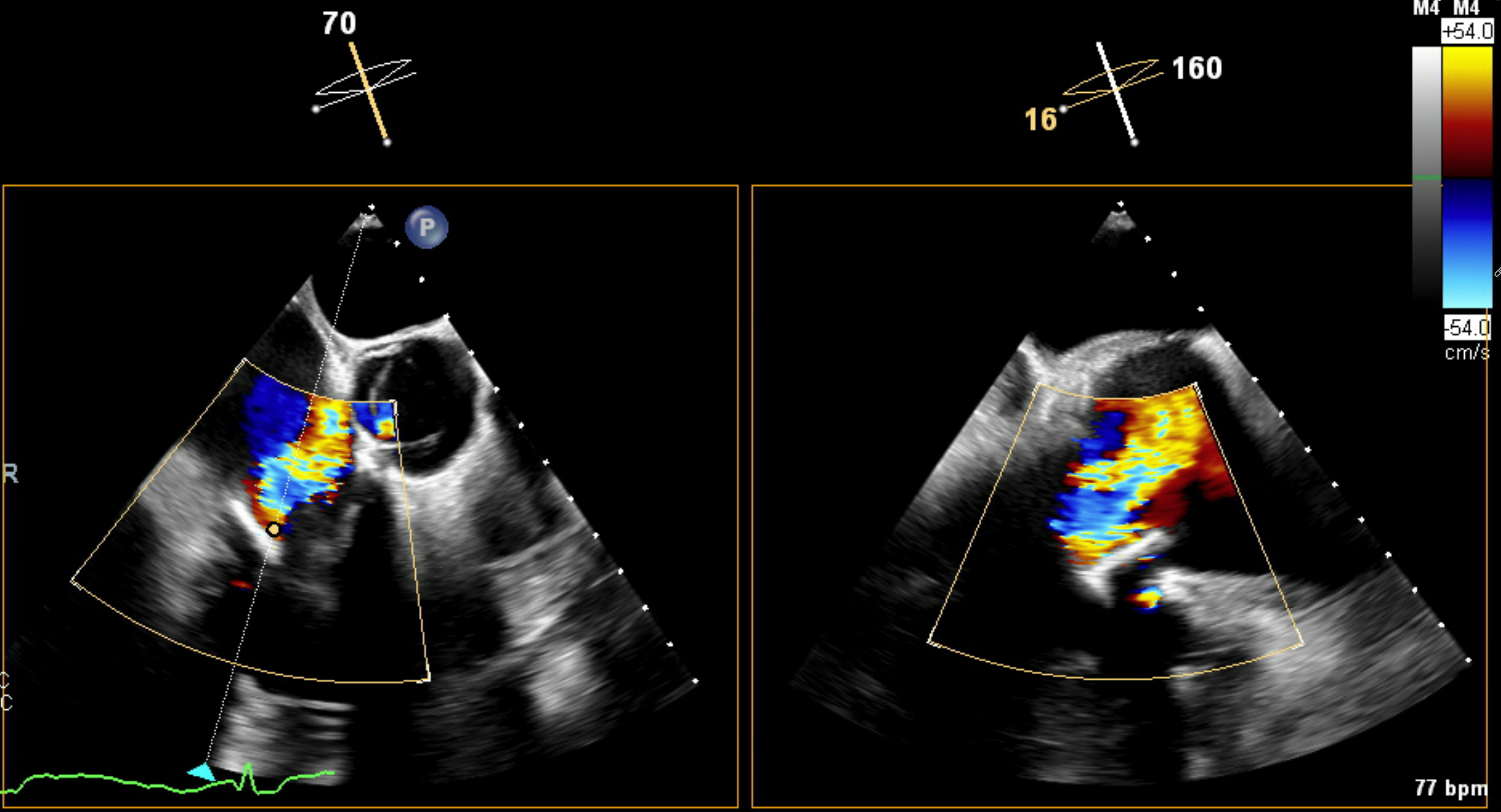
Case: A 53-year-old woman presented with acute dyspnea and orthopnea two months after a 33-mm Mitris Resilia tricuspid valve replacement for severe tricuspid regurgitation. Her history included mild aortic insufficiency and non-obstructive coronary artery disease. Transthoracic echocardiography revealed a large pericardial effusion with tamponade physiology, necessitating urgent pericardiocentesis. Transesophageal echocardiography demonstrated early SVD of the bioprosthetic valve, with poor leaflet coaptation, a central coaptation gap, and restricted anterior leaflet mobility. Extensive evaluation excluded infectious and autoimmune etiologies: blood cultures, inflammatory markers, viral serologies, thyroid function, and pericardial fluid cytology were unremarkable. Despite pericardial drainage, right atrial pressures remained elevated (mean 19 mmHg) on repeat right heart catheterization. Following a comprehensive heart team evaluation, a 29-mm Edwards Sapien valve was deployed via right internal jugular venous access within the failing surgical valve under fluoroscopic and echocardiographic guidance. Intraprocedural TEE demonstrated immediate reduction of tricuspid regurgitation severity to trace with a mean gradient of 1 mmHg. The patient had an uncomplicated recovery and was discharged the following day.

Conclusion: This case represents one of the earliest reported tricuspid bioprosthetic valve failures requiring intervention within two months of implantation. The exact mechanism of SVD remains unclear; proposed theories include non-calcific mechanisms such as early mechanical leaflet fatigue, material or manufacturing defects, or technical factors related to surgical implantation. The comprehensive negative workup supports intrinsic valve material failure rather than infectious or inflammatory processes. The successful transcatheter ViV approach demonstrates excellent technical feasibility with immediate hemodynamic improvement, confirming its role as a viable alternative to high-risk redo surgery in early valve failure.
  • Sonbol, Mark  ( University of Maryland School of Medicine , Baltimore , Maryland , United States )
  • Allaham, Haytham  ( University of Maryland School of Medicine , Baltimore , Maryland , United States )
  • Author Disclosures:
    Mark Sonbol: DO NOT have relevant financial relationships | Haytham Allaham: No Answer
Meeting Info:

Scientific Sessions 2025

2025

New Orleans, Louisiana

Session Info:
More abstracts on this topic:
Diverse Morphology and Proteomic Phenotypes of Calcification in Bioprosthetic Structural Valve Degeneration

Cahalane Rachel, Muehlschlegel Jochen, Aikawa Masanori, Mcnamara Laoise, Meuris Bart, Singh Sasha, Aikawa Elena, Clift Cassandra, Blaser Mark, Turner Mandy, Kasai Taku, Campedelli Alesandra, Hendrickx Amber, Rega Filip, Billaud Marie

Clinical impact of new severe tricuspid regurgitation following device lead extraction

Arunachalam Karikalan Suganya, M Ezzedine Fatima, Desimone Christopher, Sugrue Alan, Padang Ratnasari, El Masry Hicham, Lee Justin, Deshmukh Abhishek, O'shea Michael, Vemulapalli Hema Srikanth, Mulpuru Siva, Killu Ammar, Siontis Konstantinos, Kowlgi Gurukripa, Cha Yong, Madhavan Malini

More abstracts from these authors:
Enhancing Mobility in Mechanical Support: A Retrospective Analysis of Axillary IABP Use

Kwiatkowski Sara, Alswayed Khalid, Cong Olivia, Sherani Nageen, Soares Cullen, Magder Laurence, Ramani Gautam, Allaham Haytham

Right Atrial Perforation and Cardiac Tamponade: A Rare Complication of Femoral Hemodialysis Catheter Exchange

Sonbol Mark, Bennett Samuel, Annabathula Rahul, Leventhal Sarah, Srivastava Mukta

You have to be authorized to contact abstract author. Please, Login
Not Available