Logo

American Heart Association

  71
  0


Final ID: MP325

A Diagnostic Challenge: Wild-Type Transthyretin Cardiac Amyloidosis in a Patient With Systemic Lupus and Ischemic Cardiomyopathy

Abstract Body (Do not enter title and authors here):
Background:
Transthyretin cardiac amyloidosis (ATTR-CM) is a progressive, infiltrative cardiomyopathy increasingly recognized in older adults. Despite improved awareness, and diagnostic modalities, diagnosis is often delayed due to symptom overlap with more common conditions. Patients with preexisting comorbidities, such as autoimmune disease or ischemic heart disease, are at even higher risk of diagnostic overshadowing. Herein, we describe a diagnostic conundrum of ATTR-CM in a patient with coexisting systemic lupus erythematosus (SLE) and Ischemic cardiomyopathy.

Case Description:
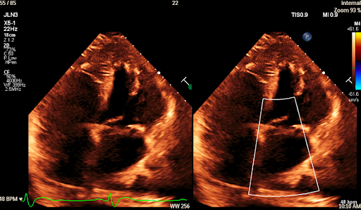
A 70-year-old female with coronary artery disease post-CABG, SLE with prior lupus nephritis and kidney transplant, and recurrent DVTs presented with dyspnea and bilateral leg edema. Her labs revealed macrocytic anemia, elevated NT-proBNP (41,167 pg/mL), and HS troponin-I (peak 689 ng/L). EKG showed sinus bradycardia, right bundle branch block, and low-voltage QRS complexes (Figure 1). Echocardiography demonstrated preserved ejection fraction of 55%, mild concentric LVH, and biatrial enlargement (Figure 2). Coronary angiography showed a mid-RCA lesion treated with PCI, but her symptoms persisted. The discordance between a low-voltage EKG and increased wall thickness on echocardiography raised suspicion of infiltrative cardiomyopathy. Serum and urine immunofixation and light chain analysis ruled out AL amyloidosis. A technetium-99m PYP scan showed grade 3 uptake with a heart-to-contralateral ratio of 1.52 (Figure 3). Genetic testing ruled out TTR mutation, confirming wild-type ATTR-CM. She was treated with cautious diuresis using lasix and referred for outpatient disease-modifying treatment.

Discussion:
This case highlights the diagnostic complexity of ATTR-CM in patients with overlapping cardiac and systemic comorbidities. Initial symptoms were attributed to ischemic and autoimmune causes, delaying recognition of amyloidosis. Red flags, such as disproportionate biomarker elevation, low-voltage EKG with LVH, and persistent symptoms despite intervention, prompted re-evaluation. . A stepwise non-invasive workup led to a timely, biopsy-free diagnosis. Early identification is critical, as novel disease-modifying therapies can significantly alter prognosis. This case highlights the importance of heightened clinical suspicion and awareness of ATTR-CM in patients with coexisting chronic disease states and overlapping symptomatology.
  • Abdallah, Ala  ( University of Nevada, Las Vegas , Las Vegas , Nevada , United States )
  • Khalid, Arbab  ( University of Nevada, Las Vegas , Las Vegas , Nevada , United States )
  • Dicaro, Michael  ( University of Nevada, Las Vegas , Las Vegas , Nevada , United States )
  • Lei, Kachon  ( University of Nevada, Las Vegas , Las Vegas , Nevada , United States )
  • Ahsan, Chowdhury  ( University of Nevada, Las Vegas , Las Vegas , Nevada , United States )
  • Author Disclosures:
    Ala Abdallah: DO NOT have relevant financial relationships | Arbab Khalid: DO NOT have relevant financial relationships | Michael DiCaro: DO NOT have relevant financial relationships | KaChon Lei: DO NOT have relevant financial relationships | Chowdhury Ahsan: DO NOT have relevant financial relationships
Meeting Info:

Scientific Sessions 2025

2025

New Orleans, Louisiana

Session Info:

Advancing Frontiers in Amyloid: Imaging and Emerging Insights

Saturday, 11/08/2025 , 01:45PM - 02:45PM

Moderated Digital Poster Session

More abstracts on this topic:
Ablation versus Anti-arrhythmic Drug Therapy for Ventricular Tachycardia in Patients with Ischemic Heart Disease: A Systematic Review and Meta-analysis of Randomized Controlled Trials

Khan Ubaid, Chaudhry Kashif, Amin Ahmed Mazen, A. Ibrahim Ahmed, Imran Muhammad, Rakab Mohamed, Iltaf Arej, M. Albarakat Majd, Ranabhat Chet, Brilliant Justin

High Prevalence of Abnormal Baseline PET Imaging for Screening of CAV in Early Post-Heart Transplant Patients

Safdar Ahmad, Prakash Sakthi Surya, Elghoul Yasmine, Bhattacharya Sanjeeb, Tang Wai Hong, Starling Randall, Jaber Wael, Abadie Bryan

More abstracts from these authors:
The “Buddy-Wire” Technique: Navigating Complex Anatomy to Guide Placement of an RP Impella

Lei Kachon, Dicaro Michael, Tasouli-drakou Vasiliki, Yee Brianna, Hawwass Dalia, Ahsan Chowdhury

Coronary Artery Air Embolism During Left Heart Catheterization: A Rare Yet Potentially Fatal Complication

Siddiqui Arsalan, Yee Brianna, Dicaro Michael, Lee Ki, Lei Kachon, Ahsan Chowdhury

You have to be authorized to contact abstract author. Please, Login
Not Available