Logo

American Heart Association

  80
  0


Final ID: MP48

The “Buddy-Wire” Technique: Navigating Complex Anatomy to Guide Placement of an RP Impella

Abstract Body (Do not enter title and authors here):
Introduction/Background:
Microaxial flow devices such as Impella RP provide a temporary therapeutic approach for managing acute RV failure. However, the use of parallel stiff wires (“buddy-wire” technique) for its placement has rarely been described, particularly in patients with complex anatomy and implanted cardiac devices.

Case Presentation:
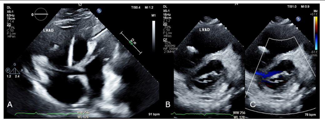
A 70-year-old male with HFrEF with CRT-D and HeartMate3 LVAD, RV failure status-post RVAD placement and recent explantation, presented after multiple ICD shocks. He initially presented in ventricular tachycardia (VT) at 200 bpm (Figure 1). Despite 3 attempts of DCCV and amiodarone infusion, he remained in VT. He was intubated to reduce sympathetic tone. A low flow alarm from the LVAD was noted. TTE showed a severely dilated RV with evidence of pressure overload (Figure 2). The patient also required rapid escalation of vasopressors. He was taken emergently for RHC and possible MCS placement.

The PA catheter was inserted and advanced to the wedge position in the PA via the right femoral vein. The calculated PAPi was 0.63, the CPO was 0.35, and the wedge pressure was 23 mmHg. A decision was made to place an Impella RP for biventricular shock in the context of a pre-existing LVAD.

However, delivering the Impella RP across the tricuspid valve was challenging, as the guidewire became entangled under the ICD lead in a dilated RV. The previously placed guidewire was repositioned up, over, and away from the ICD lead (Figure 3A). We utilized the buddy-catheter technique, akin to the buddy-wire technique, to facilitate passage of Impella RP across the pulmonic valve with the assistance of the previously placed PA catheter (Figure 3A). The Impella RP was then successfully placed, and the PA catheter was left in place for hemodynamic monitoring (Figure 3B,C). Post-impella implantation improved the hemodynamics to a PAPi of 1.2, MAP of 70 mmHg, and a reduction in vasopressor requirements. The patient was ultimately transferred to a heart transplant center for further management.

Discussion/Conclusion:
Utilizing the “buddy-wire” technique for placement of an Impella RP is a viable method in patients with complex right-heart anatomy who may present with concurrent cardiogenic shock. The need to deliver the Impella RP across the tricuspid valve posed a risk of dislodging the RV CRT-D lead. Nonetheless, implementing the “buddy-wire” technique ensured the easier passage of the Impella, bypassing anatomical tortuosity.
  • Lei, Kachon  ( University of Nevada, Las Vegas , Las Vegas , Nevada , United States )
  • Dicaro, Michael  ( University of Nevada, Las Vegas , Las Vegas , Nevada , United States )
  • Tasouli-drakou, Vasiliki  ( University of Nevada, Las Vegas , Las Vegas , Nevada , United States )
  • Yee, Brianna  ( University of Nevada, Las Vegas , Las Vegas , Nevada , United States )
  • Hawwass, Dalia  ( University of Nevada, Las Vegas , Las Vegas , Nevada , United States )
  • Ahsan, Chowdhury  ( UNIVERSITY MEDICAL CENTER , Las Vegas , Nevada , United States )
  • Author Disclosures:
    KaChon Lei: DO NOT have relevant financial relationships | Michael DiCaro: DO NOT have relevant financial relationships | Vasiliki Tasouli-Drakou: DO NOT have relevant financial relationships | Brianna Yee: No Answer | Dalia Hawwass: No Answer | Chowdhury Ahsan: DO NOT have relevant financial relationships
Meeting Info:

Scientific Sessions 2025

2025

New Orleans, Louisiana

Session Info:

Complex Cases and Bold Solutions: Innovations in Advanced Cardiovascular Care

Saturday, 11/08/2025 , 10:45AM - 12:00PM

Moderated Digital Poster Session

More abstracts on this topic:

Abdominal Counter-Constriction Versus Abdominal Binding as Hemodynamic Adjuncts to Circumferential Thoracic Cardiopulmonary Resuscitation

Paradis Aidan, Paradis Norman, Gaddy David, Moodie Karen, Mader Timothy, Dufresne Alexandre, Couturier Christine, Dufresne Simon, Davis Daniel, Sims Christopher


4-5 Years Outcomes of Left Atrial Appendage Closure vs. Oral Anticoagulants in Atrial Fibrillation: A Systematic Review and Meta-Analysis:

Khan Muhammad Aslam, Haider Taimoor, Bhattarai Shraddha, Afzal Hafsa, Khan Bilal, Muhammad Anza, Shafique Nouman, Bhatia Hitesh, Aafreen Asna, Adil Abid Nawaz Khan, Akbar Usman, Khan Alamzaib, Haider Muhammad Adnan

More abstracts from these authors:
A Diagnostic Challenge: Wild-Type Transthyretin Cardiac Amyloidosis in a Patient With Systemic Lupus and Ischemic Cardiomyopathy

Abdallah Ala, Khalid Arbab, Dicaro Michael, Lei Kachon, Ahsan Chowdhury

Coronary Artery Air Embolism During Left Heart Catheterization: A Rare Yet Potentially Fatal Complication

Siddiqui Arsalan, Yee Brianna, Dicaro Michael, Lee Ki, Lei Kachon, Ahsan Chowdhury

You have to be authorized to contact abstract author. Please, Login
Not Available