Logo

American Heart Association

  38
  0


Final ID: MP1901

Recurrent PEA Arrests due to Coronary Vasospasm in the Absence of Obstructive CAD

Abstract Body (Do not enter title and authors here): Introduction:
Coronary vasospasm is a transient, reversible narrowing of the coronary arteries that may lead to myocardial ischemia, arrhythmias, or cardiac arrest. Diagnosis is particularly challenging in patients without obstructive coronary artery disease and in the context of critical illness.

Case Presentation:
We present the case of a 68-year-old male with cirrhosis and hepatocellular carcinoma who developed multiple episodes of pulseless electrical activity (PEA) arrest following emergent abdominal surgery. The patient underwent electrocardiography, echocardiography, and coronary angiography. Clinical findings were reviewed alongside laboratory and imaging data to identify a unifying cause.

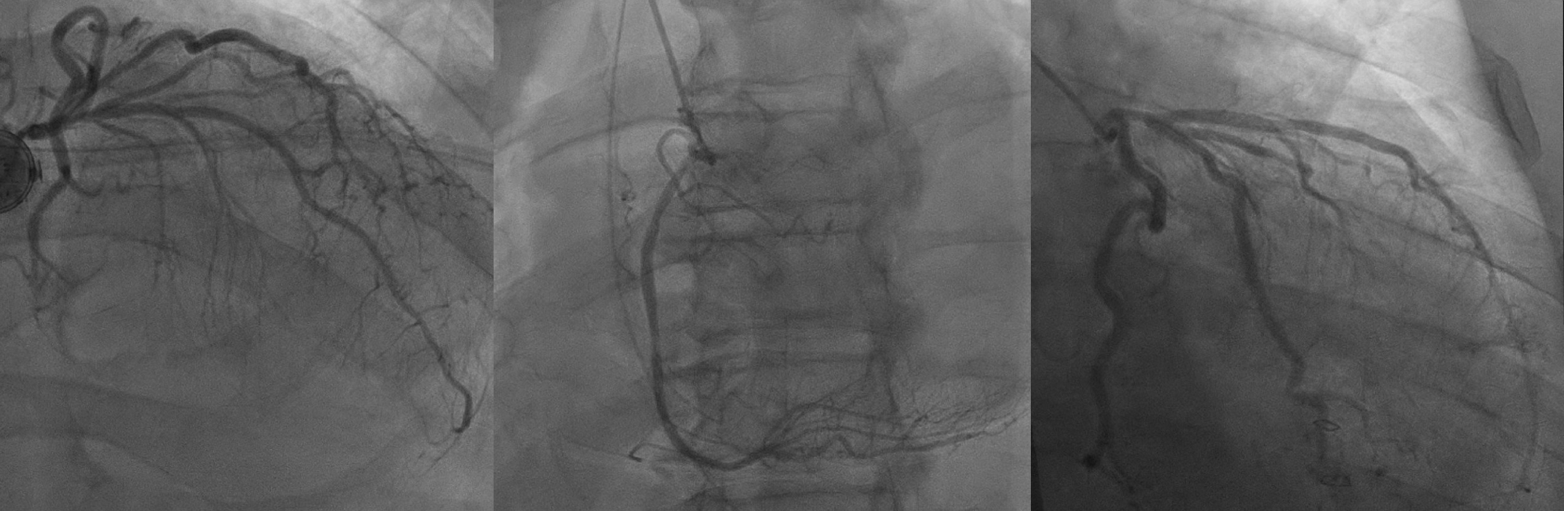
Post-arrest echocardiography demonstrated a reduced ejection fraction with anterior and apical akinesis. Coronary angiography showed no critical lesions but revealed subtle luminal irregularities in the LAD. The patient experienced multiple episodes of QRS widening, ST changes, hypotension, and PEA arrest—all transient and resolving within minutes. Electrolytes were largely normal. Coronary vasospasm was suspected based on episodic ischemic ECG changes, angiographic findings, and lack of metabolic or structural explanations. The patient was managed with intravenous nitroglycerin, later transitioned to clevidipine, with vasopressor support using norepinephrine. After initiating anti-vasospastic therapy, ischemic episodes and arrests abated. Repeat TTE redemonstrated LV concentric remodeling, hyperdynamic systolic function with recovered EF.

Discussion:
This case highlights coronary vasospasm as a reversible but potentially fatal cause of cardiac arrest in the absence of obstructive disease. In critically ill patients, coronary vasospasm may be triggered by a combination of surgical stress, systemic inflammation, sympathetic overactivity, and the use of vasoconstrictive agents such as vasopressors or certain anesthetics. Patients with liver disease are especially susceptible due to impaired autonomic regulation and endothelial dysfunction. These factors collectively heighten vascular reactivity, creating a permissive environment for vasospasm even without obstructive coronary disease. Particularly in post-op, critically patients with transient ischemic episodes, vasospasm should be considered early. Prompt diagnosis and vasodilator therapy are key to improving outcomes in this high-risk population.
  • Batta, Yashvardhan  ( Temple University Hospital , Philadelphia , Pennsylvania , United States )
  • Shah, Mihir  ( Temple University Hospital , Philadelphia , Pennsylvania , United States )
  • Author Disclosures:
    Yashvardhan Batta: DO NOT have relevant financial relationships | Mihir Shah: DO NOT have relevant financial relationships
Meeting Info:

Scientific Sessions 2025

2025

New Orleans, Louisiana

Session Info:

Clinical Case: Critical Care Cardiology

Monday, 11/10/2025 , 09:15AM - 10:25AM

Moderated Digital Poster Session

More abstracts on this topic:
Assessing Trends in Disability-Adjusted Life Years (DALYs) and Age-Adjusted Mortality Rates (AAMR) of Ischemic Heart Disease: A Comparative Analysis of the United States and Global Burden of Disease

Buhadur Ali Muhammad Khan, Shahzaib Muhammad, Qureshi Muhammad Ahmad, Ammar Ur Rahman Mohammad, Munir Luqman, Khalid Amna, Hayat Malik Saad, Shoaib Muhammad Mukarram

Direct To Catheter Ablation and Pre-Ablation Rate Control Have Similar Outcomes in Persistent Atrial Fibrillation

Ksayer Radia, Bsoul Mayana, Atasi Mohammad Montaser, Abou Khalil Michel, Upreti Alina, Menassa Yara, Abou Zeid Karl, Pandey Amitabh, Marrouche Nassir, Younes Hadi, Tsakiris Eli, Gonzalez Perez Bella, Feng Han, Jia Yishi, Zahedi Tajrishi Farbod, Massad Christian, Bidaoui Ghassan

More abstracts from these authors:
How to Watch a Watchman: Fused Cardiac Imaging for Left Atrial Appendage Closure

Novograd Joel, Shah Mihir, Jaswaney Rahul, Haghkar Mahdi, Patil Pravin

You have to be authorized to contact abstract author. Please, Login
Not Available