Logo

American Heart Association

  38
  0


Final ID: MP1997

How to Watch a Watchman: Fused Cardiac Imaging for Left Atrial Appendage Closure

Abstract Body (Do not enter title and authors here): Background
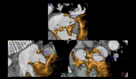
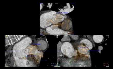
Atrial fibrillation (AF) is the most common sustained arrhythmia and is associated with an increased risk for thromboembolic stroke. Anatomically, the left atrial appendage (LAA) is recognized as the most common source of thrombus formation in patients with AF. Life-long anticoagulation is often needed to mitigate stroke risk. However, this requires strict patient adherence and increases the risk of bleeding. Left atrial appendage occlusion (LAAO) devices have been utilized to mitigate stroke risk while allowing for discontinuation of anticoagulation. Accurate visualization and measurement of the appendage is critical to achieve successful LAAO. Multiple imaging modalities have been studied for device sizing and implantation including intraoperative transesophageal echocardiography (TEE) and preprocedural planning with cardiac computed tomography (CT). CT has been shown to provide more detailed visualization of the LAA compared to TEE. Advancements in cardiac imaging allow for fusion of CT with TEE which may further improve procedural outcomes.

Objectives
This study evaluated LAAO devices implanted using preoperative CT fused with intraoperative TEE (CT-TEE fusion) compared to those implanted with TEE without fused imaging. Key outcomes included procedure duration, quantity of LAAO devices used intraoperatively, incidence of adverse events, and 45-day leak.

Methods
Data was obtained through a retrospective review. We identified 12 subjects who had undergone LAAO with CT-TEE fusion and then identified 12 matched subjects (based on age at time of implant, BMI, sex, and HAS-BLED score) who had undergone LAAO without fusion imaging.

Results
There was no statistical difference in outcomes between the two groups regarding procedure duration (t(22) = 0.8355, p = 0.4124) and quantity of devices used per patient (1.08 devices in both groups). No patients in either group experienced adverse events or peri-device leak > 5mm on 45-day postoperative TEE.

Conclusions
Despite utilizing CT-TEE fusion, procedural outcomes were not statistically different than routine imaging without fusion, suggesting non-inferiority. In fact, all measured outcomes were either mildly improved or equivalent in the CT-TEE group. Our data suggest reduced procedure duration in the fusion group, which may have reached statistical significance with a larger sample size. Further study with a larger sample size is warranted to determine the potential benefits of CT-TEE fusion for LAA closure.
  • Novograd, Joel  ( Temple University Hospital , Philadelphia , Pennsylvania , United States )
  • Shah, Mihir  ( Temple University Hospital , Philadelphia , Pennsylvania , United States )
  • Jaswaney, Rahul  ( Temple University Hospital , Philadelphia , Pennsylvania , United States )
  • Haghkar, Mahdi  ( Temple University Hospital , Philadelphia , Pennsylvania , United States )
  • Patil, Pravin  ( Temple University Hospital , Philadelphia , Pennsylvania , United States )
  • Author Disclosures:
    Joel Novograd: DO NOT have relevant financial relationships | Mihir Shah: DO NOT have relevant financial relationships | Rahul Jaswaney: No Answer | Mahdi Haghkar: DO NOT have relevant financial relationships | Pravin Patil: No Answer
Meeting Info:

Scientific Sessions 2025

2025

New Orleans, Louisiana

Session Info:

Moving the Needle: Expanding Capabilities in Multimodality Imaging

Monday, 11/10/2025 , 09:15AM - 10:30AM

Moderated Digital Poster Session

More abstracts on this topic:
A novel risk score predicts the prevalence of left atrial low-voltage areas and rhythm outcome in patients undergoing long-standing persistent atrial fibrillation ablation

Ooka Hirotaka, Nakao Sho, Kusuda Masaya, Ariyasu Wataru, Kudo Satoshi, Fujii Subaru, Mano Toshiaki, Matsuda Yasuhiro, Masuda Masaharu, Okamoto Shin, Ishihara Takayuki, Nanto Kiyonori, Tsujimura Takuya, Hata Yosuke, Uematsu Hiroyuki

Age-Related Differences in Aortic Valve Calcium Progression and the Risk for Aortic Stenosis: Multi-Ethnic Study of Atherosclerosis

Marrero Natalie, Thanassoulis George, Rotter Jerome, Blaha Michael, Whelton Seamus, Jha Kunal, Grant Jelani, Razavi Alexander, Budoff Matthew, Shah Sanjiv, Blumenthal Roger, Post Wendy, Shaw Leslee

More abstracts from these authors:
You have to be authorized to contact abstract author. Please, Login
Not Available