Logo

American Heart Association

  14
  0


Final ID: MP45

The Paradoxical Embolus – A Case of Simultaneous Massive PE and RCA STEMI in the Setting of Provoked Venous Thromboembolism and Patent Foramen Ovale

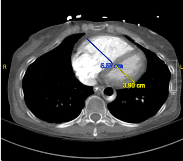
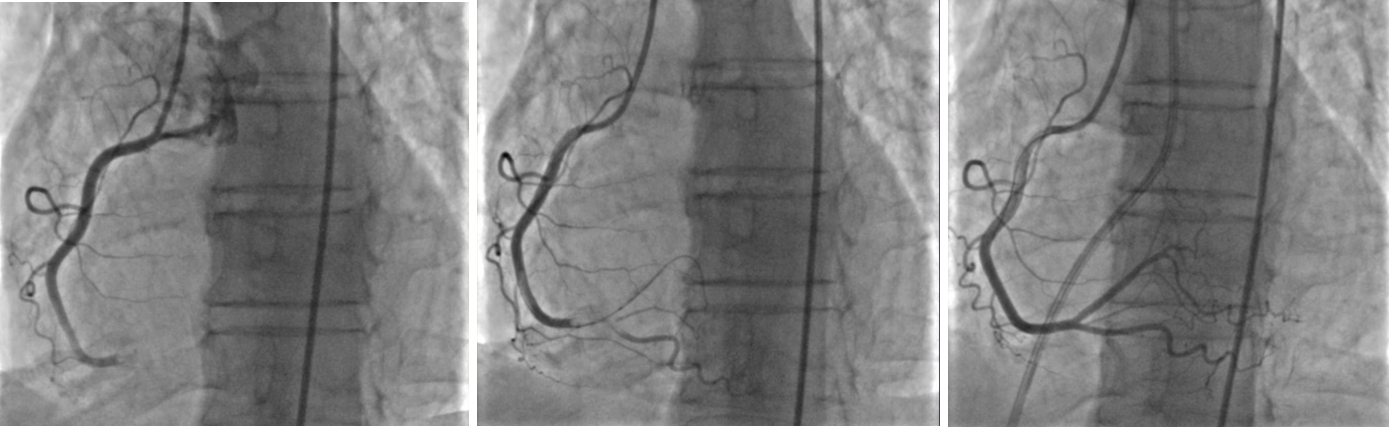
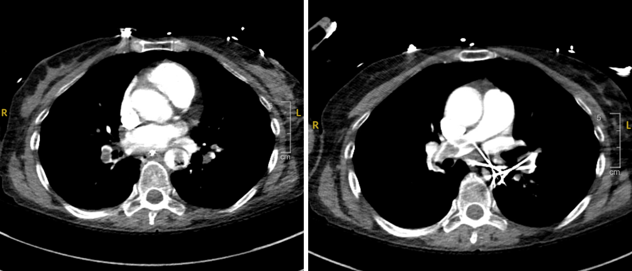
Abstract Body (Do not enter title and authors here): Case Presentation: A 53-year-old woman with a history of recent left patellar fracture and tobacco use presented with sudden-onset chest pain and shortness of breath. ECG showed ST elevations in II, III, and aVF with reciprocal depressions. CT angiography revealed a saddle pulmonary embolism with extensive bilateral emboli and right heart strain. Emergent coronary angiography showed 100% RCA occlusion - from proximal PDA through the AV groove. She was diagnosed with massive, high-risk PE and experienced progression from second- to third-degree AV block, which resolved after revascularization. Percutaneous coronary intervention was performed with successful RCA thrombectomy. She developed cardiogenic shock requiring norepinephrine and milrinone. The shock team placed an intra-aortic balloon pump (IABP). Ultrasound showed a non-occlusive thrombus in the left posterior tibial vein. Transthoracic echocardiogram on the following day of hospitalization showed normal LVEF (60–65%), RV dilation, septal flattening, and severely reduced RV systolic function. A bubble study confirmed a patent foramen ovale with right-to-left shunting. Due to RV wall thinning and elevated pulmonary pressures, the Pulmonary Embolism Response Team recommended IR-guided mechanical thrombectomy. Post-procedure, the patient improved and was weaned off IABP, pressors, and ventilator support. At discharge, she was started on a direct oral anticoagulant. One-month follow-up TTE revealed normalized RV size, mild right atrial dilation, and preserved LVEF.

Discussion: Differentiating between PE from paradoxical embolism causing MI versus MI complicated by DVT/PE is challenging. Key considerations include shunt presence, timing, and embolic source. Concomitant massive PE and STEMI carry high risk for organ failure, requiring a multi-faceted approach. In this case, IABP was vital for improving coronary and systemic perfusion. Pharmacologic support with pressors and inotropes stabilized hemodynamics, allowing time for definitive intervention. This case underscores the importance of advanced support strategies and interdisciplinary care in complex cardiovascular emergencies.
  • Harb, Ali  ( Virtua Our Lady of Lourdes , Camden , New Jersey , United States )
  • Roy, Trinava  ( Virtua Our Lady of Lourdes , Camden , New Jersey , United States )
  • Beshai, Rafail  ( Virtua Our Lady of Lourdes , Camden , New Jersey , United States )
  • Jayasree Rajendran, Rakendu  ( Virtua Our Lady of Lourdes , Camden , New Jersey , United States )
  • Author Disclosures:
    Ali Harb: DO NOT have relevant financial relationships | Trinava Roy: DO NOT have relevant financial relationships | Rafail Beshai: No Answer | Rakendu Jayasree Rajendran: DO NOT have relevant financial relationships
Meeting Info:

Scientific Sessions 2025

2025

New Orleans, Louisiana

Session Info:

Complex Cases and Bold Solutions: Innovations in Advanced Cardiovascular Care

Saturday, 11/08/2025 , 10:45AM - 12:00PM

Moderated Digital Poster Session

More abstracts on this topic:
Artificial Intelligence for Predicting Primary Antegrade Wiring Success of Chronic Total Occlusion Crossing

Alexandrou Michaella, Alaswad Khaldoon, Basir Mir, Davies Rhian, Jaffer Farouc, Nicholson William, Azzalini Lorenzo, Gorgulu Sevket, Khatri Jaikirshan, Bangalore Sripal, Rangan Bavana, Rempakos Athanasios, Mastrodemos Olga, Burke M Nicholas, Sandoval Yader, Brilakis Emmanouil, Mutlu Deniz, Strepkos Dimitrios, Carvalho Pedro, Al-ogaili Ahmed, Bahbah Ali, Anastasios Milkas, Tsiafoutis Ioannis

Burden and Impact of Pulmonary Embolism in Young Adults Hospitalized With Sarcoidosis - Underreported Data from Nationwide Analysis (2016-2020)

Sura Harsh, Bhanushali Aditi, Suchday Pooja, Sampath Shrikanth, Chunduru Lohithasya Chowdary, Byralinge Gowda Purvik, Kari Moulika, Karumanchi Abhimanyu, Desai Rupak

More abstracts from these authors:
You have to be authorized to contact abstract author. Please, Login
Not Available