Logo

American Heart Association

  53
  0


Final ID: MP1942

When Drainage Backfires: Pericardial Decompression Syndrome in an ESRD Patient

Abstract Body (Do not enter title and authors here): Introduction

End stage renal disease (ESRD) patients may develop pericardial effusion due to fluid overload from inadequate dialysis. Large effusions, when drained, can cause pericardial decompression syndrome, a rare complication involving paradoxical hemodynamic collapse. This case highlights the challenges with management of a large pericardial effusion in an ESRD patient.

Case Description

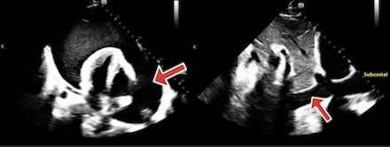
A 44 year old male with ESRD on intermittent hemodialysis (iHD) presented with chest pain and systolic blood pressure in the 80s. Exam showed jugular venous distension. Transthoracic echocardiogram revealed a large pericardial effusion without tamponade (Figure A). Pericardiocentesis drained 2.5 liters of sanguineous fluid (Figure B). Post procedure, the patient's mean arterial pressure decreased beneath 65 mmHg. Bedside echocardiogram was concerning for right ventricular dilation. The drain was temporarily clamped, and the patient received vasopressors. He underwent continuous renal replacement therapy (CRRT) for fluid optimization before returning to iHD with improved ultrafiltration goals. By day seven, the drain produced less than 50 mL of fluid over the previous twenty-four hours. Bedside echocardiogram was confirmatory, so the drain was removed. The patient was discharged with outpatient cardiology follow-up.

Discussion

Despite the large effusion, the absence of tamponade suggests chronic fluid accumulation, allowing gradual pericardial stretch, reduced intra-pericardial pressure change, and hemodynamic compensation. In this patient, pericardial decompression syndrome occurred from suddenly increased venous return, rapid right sided expansion (as shown on bedside echocardiogram), septal shift, left ventricular compression, decreased output, and ultimately hypotension. Another factor may have been the sudden change in preload with relatively unchanged systemic vascular resistance, thus preload/afterload mismatch. The effusion was likely due to insufficient fluid removal during dialysis, emphasizing the importance of dialysis quality in preventing cardiac complications. However, decompression syndrome is rare, with less than 5% incidence among patients who undergo drainage.

Conclusion

Inadequate dialysis predisposes to fluid overload, which can cause large pericardial effusion. While tamponade may be absent, large effusions propose the risk of decompression syndrome with drainage. Optimal dialysis and close hemodynamic monitoring were critical in this patient's recovery.
  • Abdel Aziz, Khaled  ( University of Cincinnati , Cincinnati , Ohio , United States )
  • Kotei, Charlene  ( University of Cincinnati , Cincinnati , Ohio , United States )
  • Tejan Sie, Ahmad  ( University of Cincinnati , Cincinnati , Ohio , United States )
  • Sultan, Hamza  ( University of Cincinnati , Cincinnati , Ohio , United States )
  • Slifer, Damian  ( Allegheny Health Network , Pittsburgh , Pennsylvania , United States )
  • Khokhlov, Leonid  ( University of Cincinnati , Cincinnati , Ohio , United States )
  • Khan, Naseer  ( University of Cincinnati , Cincinnati , Ohio , United States )
  • Author Disclosures:
    Khaled Abdel Aziz: DO NOT have relevant financial relationships | Charlene Kotei: No Answer | Ahmad Tejan Sie: No Answer | Hamza Sultan: DO NOT have relevant financial relationships | Damian Slifer: DO NOT have relevant financial relationships | Leonid Khokhlov: DO NOT have relevant financial relationships | Naseer Khan: DO NOT have relevant financial relationships
Meeting Info:

Scientific Sessions 2025

2025

New Orleans, Louisiana

Session Info:

Layers of Complexity: Managing Pericardial Infection, Hemorrhage and Inflammation

Monday, 11/10/2025 , 10:45AM - 11:55AM

Moderated Digital Poster Session

More abstracts on this topic:
Location-Specific Hematoma Volume Tolerance for Spontaneous Intracerebral Hemorrhage

Brissette Vincent, Ouyang Menglu, Yogendrakumar Vignan, Ramsay Timothy, Mallick Ranjeeta, Morotti Andrea, Goldstein Joshua, Anderson Craig, Dowlatshahi Dar

Pump-Assisted Vein Dilation for Arteriovenous Fistula Creation – Translation of the Amplifi Vein Dilation System from Bench to Bedside

Treffalls Rebecca, Tansley Geoffrey Douglas, Franano Nicholas, Muller Paul, Morrison Jonathan, Shenoy Surendra, Ebner Adrian, Macedo Mark, De Peralta Erdie, Richardson Scott, Fritterer Mimi, Mani Krishnil, Brown Michael

More abstracts from these authors:
The Curious Case of the Reverse Positive Bubble Study: A Mimicker of Persistent Left Superior Vena Cava

Khokhlov Leonid, Uzdavinis Joseph, Laipply Kelly

An Unlikely Host: A Rare Case of Streptococcus Pneumoniae Purulent Pericarditis in an Immunocompetent Patient

Abdel Aziz Khaled, Tejan Sie Ahmad, Sabbagh Abboud, Sultan Hamza, Slifer Damian, Khan Sarah, Sukhija Rishi

You have to be authorized to contact abstract author. Please, Login
Not Available