Logo

American Heart Association

  36
  0


Final ID: MP1996

The Curious Case of the Reverse Positive Bubble Study: A Mimicker of Persistent Left Superior Vena Cava

Abstract Body (Do not enter title and authors here): Persistent left superior vena cava (PLSVC) is a rare congenital anomaly, present in <1% of the population, typically draining into the coronary sinus and right atrium. When an anomalous drainage occurs into the left atrium—directly or via an unroofed coronary sinus—a right-to-left shunt may result, detected by an agitated saline (“bubble”) study from a left-sided vein. We present a rare case mimicking such a shunt.

A 33-year-old man with ESRD on hemodialysis was admitted with subacute cough and weight loss, diagnosed with necrotizing MSSA pneumonia. His hospitalization was complicated by respiratory failure, septic shock, and transient effusive-constrictive pericarditis. TTE revealed an EF of 50–55%, normal RV function, small pericardial effusion, mild aneurysmal interatrial septum, and an unexpected bubble study finding: agitated saline injected via a left-arm IV resulted in bubbles first appearing in the left atrium via pulmonary veins (Figure 1), with robust left-sided opacification and delayed right-sided filling. No interatrial transit of bubbles was observed.
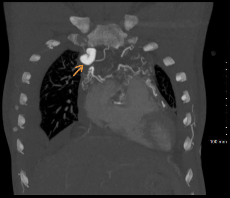
CT angiography revealed chronic right SVC occlusion with extensive venous collaterals draining into the pulmonary veins (Figure 2), mimicking a PLSVC with unroofed coronary sinus. The SVC occlusion likely resulted from years of central venous catheterizations for dialysis. Thus, common sequelae of chronic illness produced a pattern resembling rare congenital anomalies.

This case highlights the importance of careful interpretation of bubble studies, awareness of PLSVC mimickers, and the diagnostic value of multimodality imaging to avoid misdiagnosis, unnecessary testing, and patient burden. A high index of suspicion, combined with correlation across imaging modalities, is critical for accurate diagnosis and optimal patient care.
  • Khokhlov, Leonid  ( University of Cincinnati , Cincinnati , Ohio , United States )
  • Uzdavinis, Joseph  ( Univeristy of Cincinnati , Cincinnati , Ohio , United States )
  • Laipply, Kelly  ( University of Cincinnati , Cincinnati , Ohio , United States )
  • Author Disclosures:
    Leonid Khokhlov: DO NOT have relevant financial relationships | Joseph Uzdavinis: DO NOT have relevant financial relationships | Kelly Laipply: DO NOT have relevant financial relationships
Meeting Info:

Scientific Sessions 2025

2025

New Orleans, Louisiana

Session Info:

Moving the Needle: Expanding Capabilities in Multimodality Imaging

Monday, 11/10/2025 , 09:15AM - 10:30AM

Moderated Digital Poster Session

More abstracts on this topic:
A CRISPR-Activation CROP-seq Screen Identifies HMGN1 as a Dosage-Sensitive Regulator of Heart Defects in Down Syndrome

Ranade Sanjeev, Mital Rahul, Boileau Ryan, Koback Frances, Padmanabhan Arun, Merriman Alexander, Wallace Langley, Nguyen Annie, Poulis Nikolaus, Gifford Casey, Pollard Katherine, Li Feiya, Srivastava Deepak, Whalen Sean, Angelo Pelonero, Ye Lin, Huang Yu, Brand Abigail, Nishino Tomohiro, Costa Mauro

A Novel Cardiac Simulator "ped UT-Heart" to Support Decision-Making in Surgical Procedures for Complex Congenital Heart Disease

Shiraishi Isao, Kurosaki Kenichi, Iwai Shigemitsu, Washio Takumi, Sugiura Seiryo, Hisada Toshiaki

More abstracts from these authors:
When Drainage Backfires: Pericardial Decompression Syndrome in an ESRD Patient

Abdel Aziz Khaled, Kotei Charlene, Tejan Sie Ahmad, Sultan Hamza, Slifer Damian, Khokhlov Leonid, Khan Naseer

You have to be authorized to contact abstract author. Please, Login
Not Available