Logo

American Heart Association

  148
  0


Final ID: Sa2144

All That Blocks is Not Clot: A Case of Left Ventricular Assist Device Obstruction from Extrinsic Compression

Abstract Body (Do not enter title and authors here): Description of Case
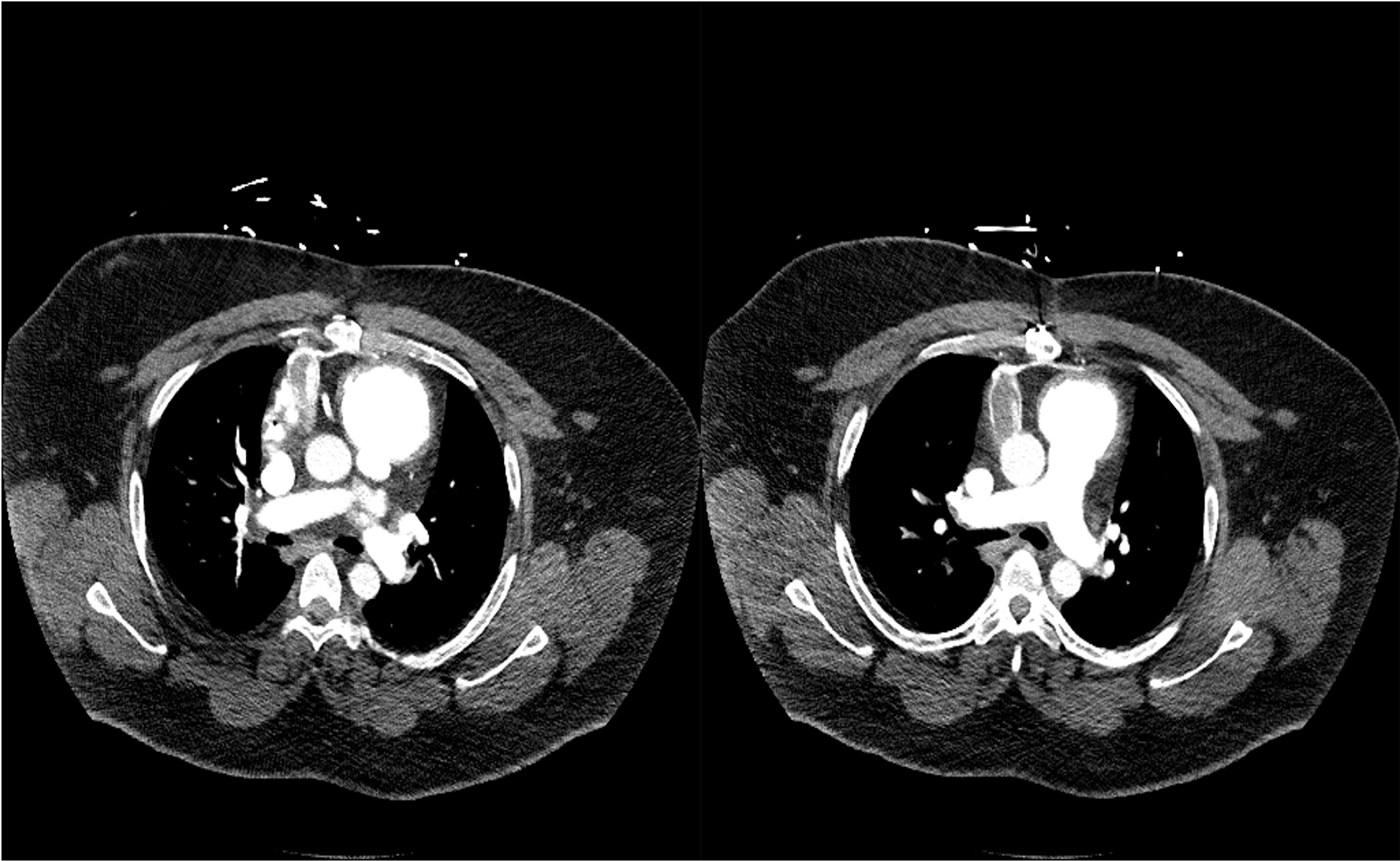
A 36-year-old male with a history of non-ischemic cardiomyopathy status post HeartMate 3 left ventricular assist device (LVAD) presented with a 2-day history of dizziness, lightheadedness, chest pain, and an increase in low flow alarm frequency from his LVAD. On admission, his temperature was 37.2, return to flow was 86, oxygen saturation was 100% on room air, heart rate was 99, and respiratory rate was 23. His lungs were clear to auscultation, and his abdomen was distended, tense, and non-tender. His extremities were warm, with moderate edema in his legs bilaterally. He had mild increased work of breathing without accessory muscle uses. Laboratory evaluation revealed a prothrombin time of 2.6 seconds, a B-type natriuretic peptide level of 176 pg/mL, and a hemoglobin of 13.7 g/dL. Imaging revealed a chest CT demonstrating a complete obstruction of the distal outflow cannula near its attachment to the aorta. Patient hemodynamics worsened after admission, necessitating transfer to the cardiac intensive care unit. After an unsuccessful attempt at warfarin reversal and tissue plasminogen activator administration, the patient was eventually taken for surgical intervention with cardiothoracic surgery. During the procedure, there were no signs of outflow graft thrombus; instead, a sizeable peri-graft fluid collection was observed and drained, which relieved the outflow graft obstruction. The patient’s post-operative course was uneventful, and he was eventually discharged home with a resolution of his symptoms.
Discussion
This patient's presentation presents a few key features that suggest an alternative cause of an outflow obstruction other than an acute thrombus. The most important feature is that the patient had been diligent with his anticoagulation to indicate his being a therapeutic prothrombin time on admission, consistent with the patient's reported anticoagulation adherence. We believe that cases such as this one provide clinical support for the reevaluation of the way we approach outflow tract obstructions in LVADs; especially as we continue to develop devices that have lower thrombus risk that their predecessors. We hope that this patient’s clinical presentation and course will be helpful in the future differentiation of intrinsic vs extrinsic compression of LVAD cannulas and the management of such obstructions.
  • Waller, Jamnius  ( Emory University School of Medicine , Atlanta , Georgia , United States )
  • Zhang, Suyu  ( Emory University School of Medicine , Atlanta , Georgia , United States )
  • Agusala, Veena  ( Emory University School of Medicine , Atlanta , Georgia , United States )
  • Guynn, Nicole  ( Emory University School of Medicine , Atlanta , Georgia , United States )
  • Fernandez, Timothy  ( Emory University School of Medicine , Atlanta , Georgia , United States )
  • Attia, Tamer  ( Emory University School of Medicine , Atlanta , Georgia , United States )
  • Author Disclosures:
    Jamnius Waller: DO NOT have relevant financial relationships | Suyu Zhang: DO NOT have relevant financial relationships | Veena Agusala: DO NOT have relevant financial relationships | Nicole Guynn: DO NOT have relevant financial relationships | Timothy Fernandez: DO NOT have relevant financial relationships | Tamer Attia: DO NOT have relevant financial relationships
Meeting Info:

Scientific Sessions 2024

2024

Chicago, Illinois

Session Info:

Crazy Clinical Cases in Heart Failure

Saturday, 11/16/2024 , 10:30AM - 11:30AM

Abstract Poster Session

More abstracts on this topic:
A Systematic Review and Meta-Analysis on the Anesthetic Approaches for Left Atrial Appendage Occlusion: Comparing Conscious Sedation and General Anesthesia

Zaidi Syed Rafay, Ajmal Umna, Rauf Zainab, Maaz Muhammad, Gulzar Sara, Burki Shahid, Nazir Abubakar, Mirza Azka, Hassan Ahmad, Amir Maaz, Jahangir Muhammad Asad, Rasul Minahil, Raza Muhammad, Malik Mohammad

A Non-Contacting Blood Flow Sensor for Assessing Pediatric Vascular Graft Patency

Chen Ruitong, Hudson Trevor, Wang Xuechun, Liang Jingjing, Nowlen Alanna, Nigam Vishal, Meng Ellis

More abstracts from these authors:
From Tummy Trouble to Heart Hassle: A Case of Traveler's Diarrhea Triggering Myopericarditis

Guynn Nicole, Dietzen Alarica, Chuckaree Ishwar, Loyd Quentin, Garcia Mariana, Ogunniyi Modele

Guideline-Directed Medical Therapy Rates in Patients with Human Immunodeficiency Virus and Heart Failure with Reduced Ejection Fraction

Zhang Suyu, Patel Krishan, Gangavelli Apoorva, Steinberg Rebecca, Wang Jeffrey, Morris Alanna, Okoh Alexis

You have to be authorized to contact abstract author. Please, Login
Not Available