Logo

American Heart Association

  166
  0


Final ID: Su2181

From Tummy Trouble to Heart Hassle: A Case of Traveler's Diarrhea Triggering Myopericarditis

Abstract Body (Do not enter title and authors here): Case description
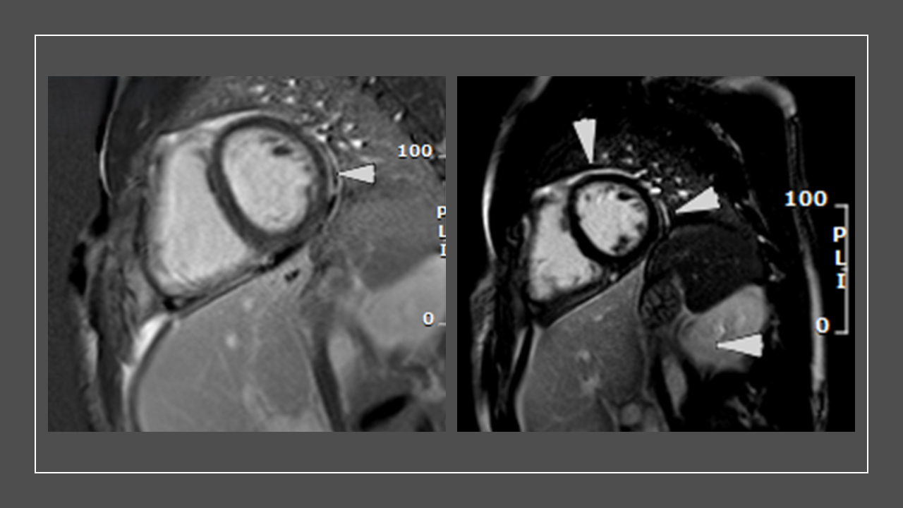
A 38-year-old male with a history of paroxysmal atrial fibrillation status post-RFA ablation, presented to the emergency department (ED) with a 3-week history of non-bloody diarrhea, abdominal cramping, nausea, fever, and headache after a trip to Guatemala. In the ED, his vital signs were temperature (99.3 °F), and heart rate (116 bpm). Notable physical exam findings were diffuse erythematous macular rash and conjunctival injection. Initial labs demonstrated elevated white count (15,100 K/mcL) and lactate (3.2 mmol/L). He was treated with ceftriaxone and metronidazole, with clinical improvement. Stool cultures were positive for salmonella and cyclospora cayetanensis. On hospital day 3, he developed severe substernal chest pain, minimal ST elevation in the anterolateral leads on ECG and elevated HS- troponin levels of 7000 ng/ml, peak of 12000 ng/ml. Transthoracic echocardiogram showed normal LV systolic function, with no evidence of pericardial effusion and regional wall motion abnormalities. Subsequent cardiac MRI demonstrated evidence of myopericarditis(anterior and lateral pericardial enhancement, along with focal epicardial late gadolinium enhancement in the mid inferolateral wall of the left ventricle with associated myocardial edema, and a small pericardial effusion). He was discharged home on Trimethoprim-Sulfamethoxazole and started on colchicine, with no recurrent chest pain.

Discussion
Myopericarditis is a complication of acute pericarditis due to pericardial inflammation extension to the myocardium. It is usually caused by a virus and rarely due to bacteria as demonstrated by this case, presenting as elevated troponin levels and ST-segment elevation on ECG. To our knowledge, there are no known reports of cyclospora cayetanensis causing myopericarditis. The adherence of the salmonella bacteria to the cardiac endothelium can result in myocyte necrosis and release of self-antigens leading to the development of antibodies and autoimmune myocarditis. Long-term management of bacterial myopericarditis is dependent on the severity of the clinical presentation and includes antibiotics, anti-inflammatory medications, and colchicine. Most patients recover within one month, but persistent cardiac dysfunction and progression to end-stage dilated cardiomyopathy can occur, thus follow-up echocardiography is recommended.
  • Guynn, Nicole  ( Emory University School of Medicine , Atlanta , Georgia , United States )
  • Dietzen, Alarica  ( Emory University School of Medicine , Atlanta , Georgia , United States )
  • Chuckaree, Ishwar  ( Emory University School of Medicine , Atlanta , Georgia , United States )
  • Loyd, Quentin  ( Emory Universtiy School of Medicine , Atlanta , Georgia , United States )
  • Garcia, Mariana  ( Emory Universtiy School of Medicine , Atlanta , Georgia , United States )
  • Ogunniyi, Modele  ( Emory Universtiy School of Medicine , Atlanta , Georgia , United States )
  • Author Disclosures:
    Nicole Guynn: DO NOT have relevant financial relationships | Alarica Dietzen: No Answer | IshwaR Chuckaree: No Answer | Quentin Loyd: No Answer | Mariana Garcia: DO NOT have relevant financial relationships | Modele Ogunniyi: DO have relevant financial relationships ; Research Funding (PI or named investigator):AstraZeneca:Active (exists now) ; Consultant:Novartis (Clinical Trial Steering Committee):Active (exists now) ; Research Funding (PI or named investigator):Cardurion Pharmaceuticals:Past (completed) ; Research Funding (PI or named investigator):Boerhinger Ingelheim:Past (completed) ; Research Funding (PI or named investigator):Pfizer:Active (exists now)
Meeting Info:

Scientific Sessions 2024

2024

Chicago, Illinois

Session Info:

#Trending Clinical Cases in Heart Failure

Sunday, 11/17/2024 , 03:15PM - 04:15PM

Abstract Poster Session

More abstracts on this topic:


A Case of Possible IgG4-Related Constrictive Pericarditis Masquerading as Idiopathic Pericarditis: A Rare and Elusive Diagnosis

Nandyal Shreyas, Sharma Bharosa, Gajjar Rohan, Varma Revati, Ezegwu Olisa, Amdetison Gedion Yilma, Tottleben Jon

4D Cardiac Magnetic Resonance Identifies Differences in Regional Strain Patterns Among Pediatric Heart Transplant Patients with Acute Rejection or Cardiac Allograft Vasculopathy

Henderson Christopher, Starnes Joseph, Samyn Margaret, Damon Bruce, Hernandez Lazaro, Goergen Craig, Soslow Jonathan, Prado Marco Aurélio, Earl Conner, Georgedurrett Kristen, Lee Simon, Nandi Deipanjan, Chan Kak-chen, Shugh Svetlana, Kikano Sandra

More abstracts from these authors:
Equitable delivery of heart failure care in the real world

Ogunniyi Modele

Optimizing the Care of Patients with Cardiac Amyloidosis in a Safety Net Hospital: A Multidisciplinary Heart Team Approach

Stephens Joshua, Lopez Carlos, Onuorah Ifeoma, Halkar Raghuveer, Amin Sagar, Gibson Briana, Bernal-mizrachi Leon, Ogunniyi Modele, Olakunle Oreoluwa, Crawford Kaylyn, Guynn Nicole, Ford Dimitri, Brown Matthew, Works Faith, Taylor Deborah, Cheeley Mary Katherine

You have to be authorized to contact abstract author. Please, Login
Not Available