Logo

American Heart Association

  157
  0


Final ID:

Cerebral Venous Sinus Thrombosis After Middle Meningeal Artery Onyx Embolization for Chronic Subdural Hematomas

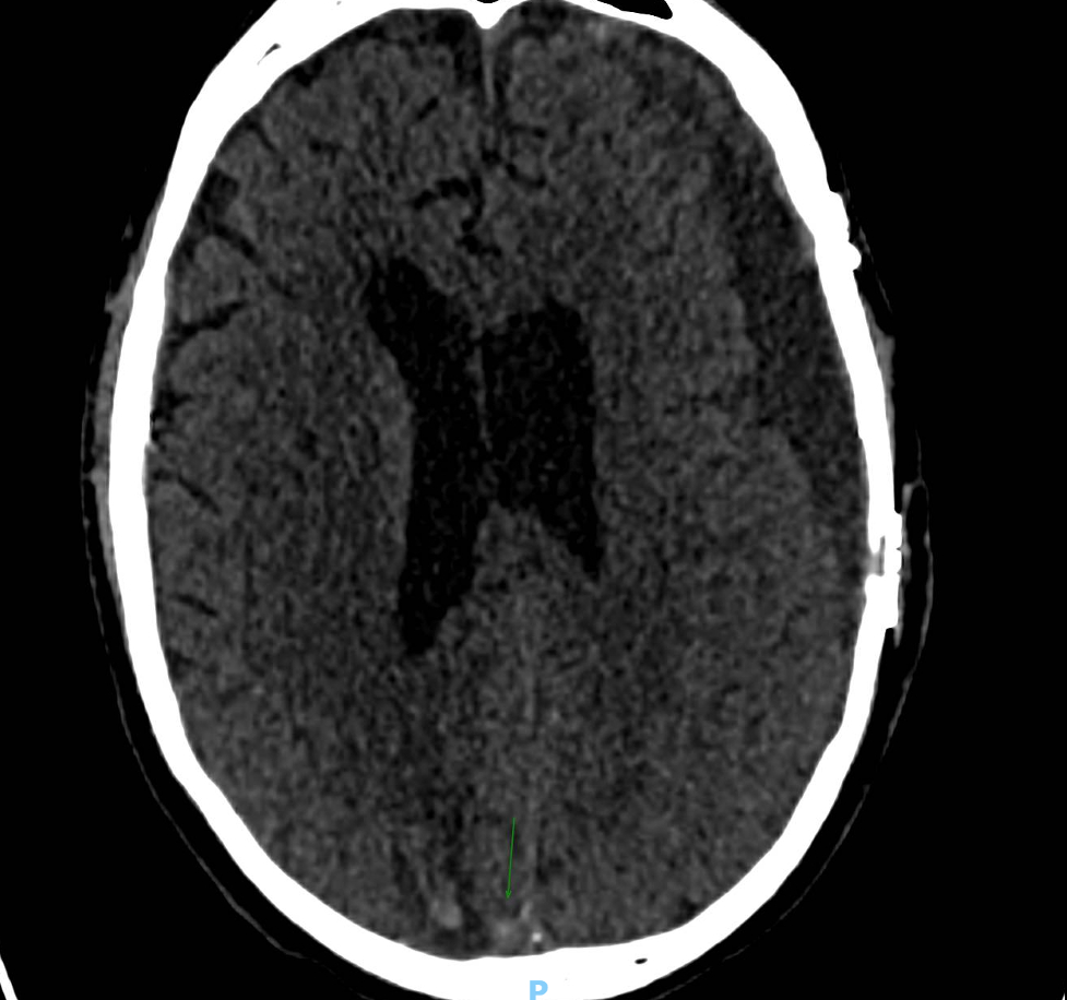
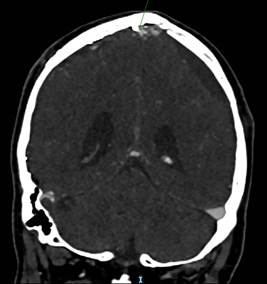
Case Summary: In less than 400 words, please summarize the case. Briefly describe the case and any particular complexities and/or complications encountered.: A 77-year-old male initially presented to our hospital after a fall with bilateral frontal contusions, traumatic subarachnoid hemorrhage, and bilateral subdural hematomas (SDH). Approximately one month later, he re-presented with altered mental status, confusion, staring spells and bilateral jerking of his lower extremities concerning for seizure activity found to have worsening bilateral chronic subdural hematomas with mass effect. He underwent hematoma evacuation with bilateral burr holes and middle meningeal artery (MMA) Onyx embolization. Three weeks later, he re-presented with generalized tonic-clonic seizures, found to have an acute intraparenchymal hemorrhage and extensive cerebral venous sinus thromboses (CVST) with embolization material seen in the transverse and superior sagittal sinuses on CT Venogram.

Given the extent of the patient’s CVST and history of chronic subdural hematomas, there was a risk-benefit discussion regarding whether to start anticoagulation, first-line treatment for CVST. However, starting anticoagulation could result in life-threatening or debilitating bleeding complications, including expansion of his existing intracranial hematomas. Without anticoagulation, his thrombosis was at risk for extension/expansion causing worsening intracranial hemorrhage, seizures, stroke, elevated intracranial pressure and brain compression, herniation, or death. After shared decision-making between neurology, neurosurgery, neurocritical care teams and patient’s family, anticoagulation was started. The patient subsequently developed worsening of his subdural hemorrhage. After goals of care discussions with family, they elected for no further escalation of care given severe neurologic injury and patient was transitioned to hospice.

There are currently no specific guidelines for chronic SDH management, although MMA embolization is becoming a more widely used procedure. Our case report provides a novel description of CVST secondary to migration of the Onyx material into the dural venous sinuses after Onyx embolization for subdural hematoma that has not previously been described in the literature. This case highlights a potential complication of MMA embolization with embolization material getting into the venous system, and warrants further discussion on whether anticoagulation would be beneficial for this complication. This case also provides forum for discussion on the unique management of CVST, intraparenchymal hemorrhage, and chronic SDH.
  • Popli, Karishma  ( Johns Hopkins University School of Medicine , Baltimore , Maryland , United States )
  • Author Disclosures:
    Karishma Popli: DO NOT have relevant financial relationships
Meeting Info:
Session Info:

Complexities and Complications: Lessons In Training: Trainee Case Studies Session 2

Friday, 02/07/2025 , 07:30AM - 09:00AM

ISC Invited Symposium

More abstracts on this topic:
You have to be authorized to contact abstract author. Please, Login
Not Available

Readers' Comments

We encourage you to enter the discussion by posting your comments and questions below.

Presenters will be notified of your post so that they can respond as appropriate.

This discussion platform is provided to foster engagement, and simulate conversation and knowledge sharing.

 

You have to be authorized to post a comment. Please, Login or Signup.


   Rate this abstract  (Maximum characters: 500)