Logo

American Heart Association

  142
  0


Final ID:

Intacerebral Hemorrhage in Arterty of Percheron Territory: A Rare Case of Bilateral Thalamic Hemorrhage

Case Summary: In less than 400 words, please summarize the case. Briefly describe the case and any particular complexities and/or complications encountered.: The artery of Percheron (AOP) is a rare anatomical variant characterized by a single arterial trunk arising from the posterior cerebral artery to supply both paramedian thalami and the rostral midbrain. AOP occlusion typically results in bilateral thalamic infarctions. This review discusses a rare case of AOP-related bilateral thalamic hemorrhage rather than infarction. Recognizing AOP hemorrhage is critical for appropriate early management, given its rarity, atypical presentation, complex clinical course and the potential for severe neurological outcomes.
A 67 year-old male with a significant medical history of hypertension, and type 2 diabetes mellitus presented to the emergency department after a fall. The patient endorse cocaine use prior to symptoms. He was found to have BP of 166/94 and on exam had vertical gaze palsy, bilateral ptosis, and left face arm and leg weakness. His initial NIHSS was 2 (drowsy and dysarthria).
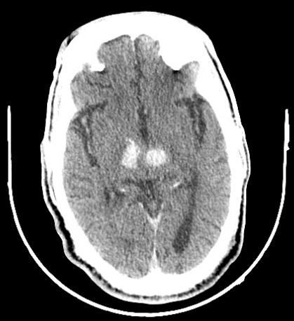
CT head revealed bilateral medial thalamic intracerebral hemorrhage, with right and left hemorrhages measuring 1.8×1×1.2cm and 1.3×1×1cm, respectively. CTA/CTV showed multivessel intracranial atherosclerotic disease without acute occlusion, no sign of arterial or venous vascular etiologic contribution. MRI redemonstrated bithalamic hemorrhages with tracking of edema and blood product into the brainstem, and no sign of underlying acute ischemic stroke.
During prolonged hospitalization, the patient developed complications including seizure, SIADH, bacterial pneumonia and Sar-CoV-2 infection. Gradually his condition worsened to an NIHSS of 16 at discharge and mRS of 4. Repeat CT head revealed interval increase in size of hematomas on the right (2.3x1.2x1.3cm) and on the left (1.3x0.9x1.4cm).
This case brings to light the rarity of AOP-related bilateral thalamic hemorrhage and the challenges in managing such patients, particularly in the context of multiple comorbidities and complications. Unlike the more common ischemic presentations associated with AOP, hemorrhagic events may reflect a unique pathophysiological mechanism possibly linked to severe hypertension and chronic microvascular disease. This case emphasizes the importance of recognizing AOP hemorrhages as a potential, albeit rare, differential diagnosis in patients with bilateral thalamic involvement and complex cerebrovascular risk profiles. Further studies are needed to better understand the etiology and optimal management of hemorrhagic AOP presentations.
  • Sharma, Nishita  ( All India Institute of Medical Sciences , New Delhi , India )
  • Author Disclosures:
    Nishita Sharma: DO NOT have relevant financial relationships
Meeting Info:
Session Info:

Complexities and Complications: Lessons In Training: Trainee Case Studies Session 2

Friday, 02/07/2025 , 07:30AM - 09:00AM

ISC Invited Symposium

More abstracts on this topic:
You have to be authorized to contact abstract author. Please, Login
Not Available

Readers' Comments

We encourage you to enter the discussion by posting your comments and questions below.

Presenters will be notified of your post so that they can respond as appropriate.

This discussion platform is provided to foster engagement, and simulate conversation and knowledge sharing.

 

You have to be authorized to post a comment. Please, Login or Signup.


   Rate this abstract  (Maximum characters: 500)