Logo

American Heart Association

  148
  0


Final ID:

Right ICA Infarction due to Pituitary Apoplexy in the setting of Diabetic Ketoacidosis

Case Summary: In less than 400 words, please summarize the case. Briefly describe the case and any particular complexities and/or complications encountered.: Introduction: Pituitary apoplexy is an uncommon but dangerous complication of pituitary macroadenomas. It is rare for pituitary apoplexy to present as a full right middle cerebral artery (MCA) syndrome initially. There is a lack of literature about this initial presentation and endovascular intervention's role in acute management.
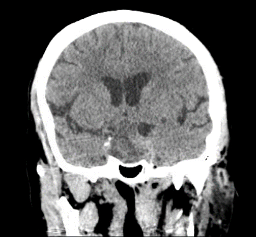
Case Presentation: We present a 49-year-old man with a known macroadenoma and a new diagnosis of type 2 diabetes mellitus who was admitted to the medical intensive care unit for severe diabetic ketoacidosis. He developed sudden onset left lower face and left arm weakness with dense left-sided neglect. His symptoms resolved when placed in Trendelenburg and given a fluid bolus. CT angiogram of the brain demonstrated a stenosed right distal internal carotid artery (ICA)/proximal M1 with a mixed-appearing attenuation inside the macroadenoma. CT perfusion demonstrated a large penumbra mismatch in the right MCA territory with no core volume.
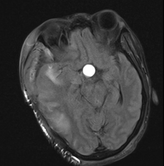
Intervention: The patient was sent to the neurology endovascular catheter lab for diagnostic angiography. The digital subtraction angiography confirmed the distal ICA occlusion with good collateral circulation. Mechanical thrombectomy was attempted, but no clots were aspirated. The stenosis continued to reappear after multiple attempts of balloon angioplasty. The procedure was then terminated as it was concluded that external direct compression was the leading cause of the stenosis. An intravascular stent was placed to prevent complete occlusion. Unfortunately, the patient developed an irreversible right-sided hemiplegia after the procedure. MRI brain demonstrated an evolving infarction of both right MCA and anterior cerebral artery (ACA) territories with concerns for intra-tumoral hemorrhaging in the macroadenoma. The patient was intubated and had an emergent right hemicraniectomy.
Conclusions: Urgent diagnosis with both CT and conventional angiography plays an integral part in the initial triage and treatment process for stroke patients with concurrent pituitary apoplexy. This case serves as a reminder of the uncommon presentation of mass effect presenting as an acute stroke. More studies are needed to determine how endovascular intervention can be utilized in the acute setting for this rare condition.
  • Taiwo, Oludamilola  ( Emory University , Atlanta , Georgia , United States )
  • Author Disclosures:
    Oludamilola Taiwo: DO NOT have relevant financial relationships
Meeting Info:
Session Info:

Complexities and Complications: Lessons In Training: Trainee Case Studies Session 2

Friday, 02/07/2025 , 07:30AM - 09:00AM

ISC Invited Symposium

More abstracts on this topic:
You have to be authorized to contact abstract author. Please, Login
Not Available

Readers' Comments

We encourage you to enter the discussion by posting your comments and questions below.

Presenters will be notified of your post so that they can respond as appropriate.

This discussion platform is provided to foster engagement, and simulate conversation and knowledge sharing.

 

You have to be authorized to post a comment. Please, Login or Signup.


   Rate this abstract  (Maximum characters: 500)