Logo

American Heart Association

  82
  0


Final ID: TH142

Posterior Reversible Encephalopathy Syndrome: A Diagnostic Challenge and the Critical Role of Blood Pressure Control

Abstract Body: Background:
Posterior Reversible Encephalopathy Syndrome (PRES) is a neurotoxic state characterized by seizures, encephalopathy, visual disturbances, and radiologic findings of vasogenic edema. Etiologies could be divided into clinical conditions (Arterial Hypertension) and toxics (Antineoplastic or Illicit drugs). Recent studies estimate the annual incidence of PRES in the United States at approximately 3 cases per 100,000 individuals, with higher rates observed in women and black individuals.
Case Presentation:
A 47-year-old female with no significant past medical history presented with acute confusion and unresponsiveness. Shortly after arrival to the ED, she had a witnessed generalized tonic-clonic seizure. Postictally, she remained unresponsive with extensor posturing. Initial CT head revealed bilateral occipital and temporal lobe hypodensities concerning for cerebral edema. She received IV midazolam, was loaded with levetiracetam and continuous EEG was initiated to evaluate for nonconvulsive status.
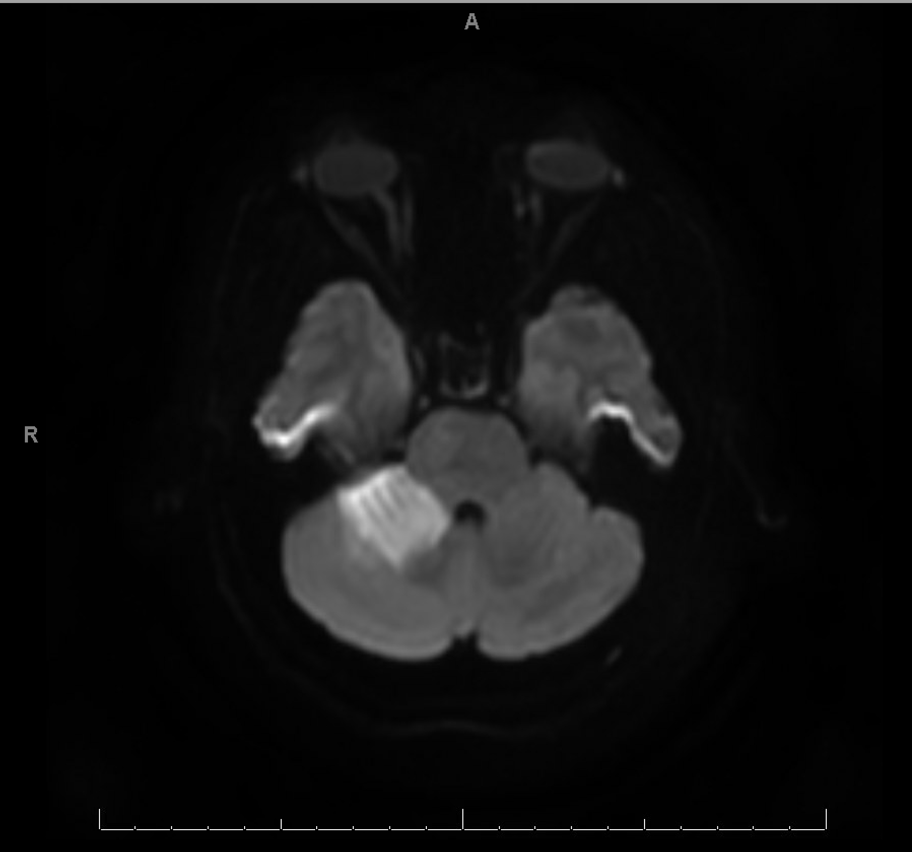
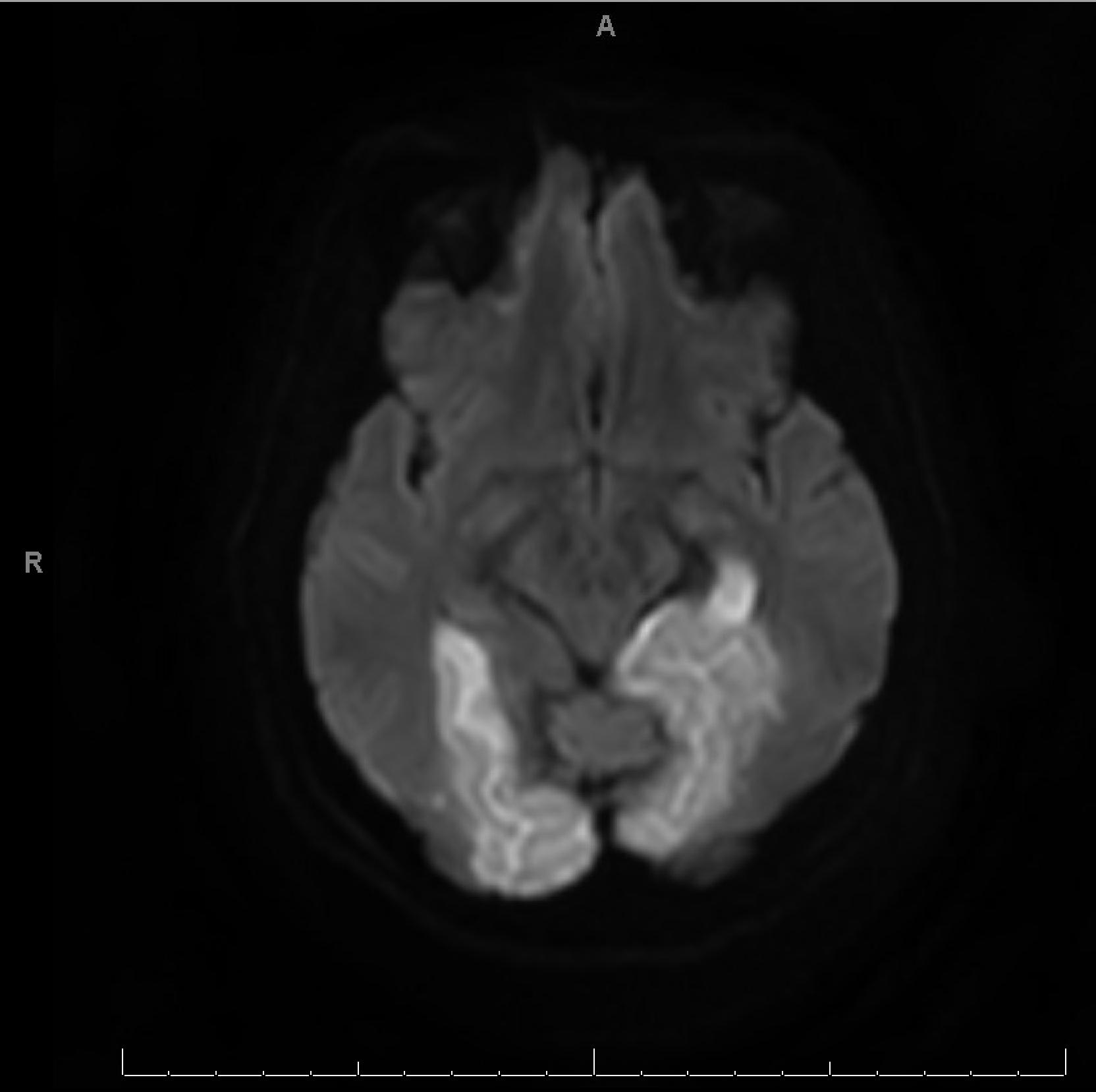
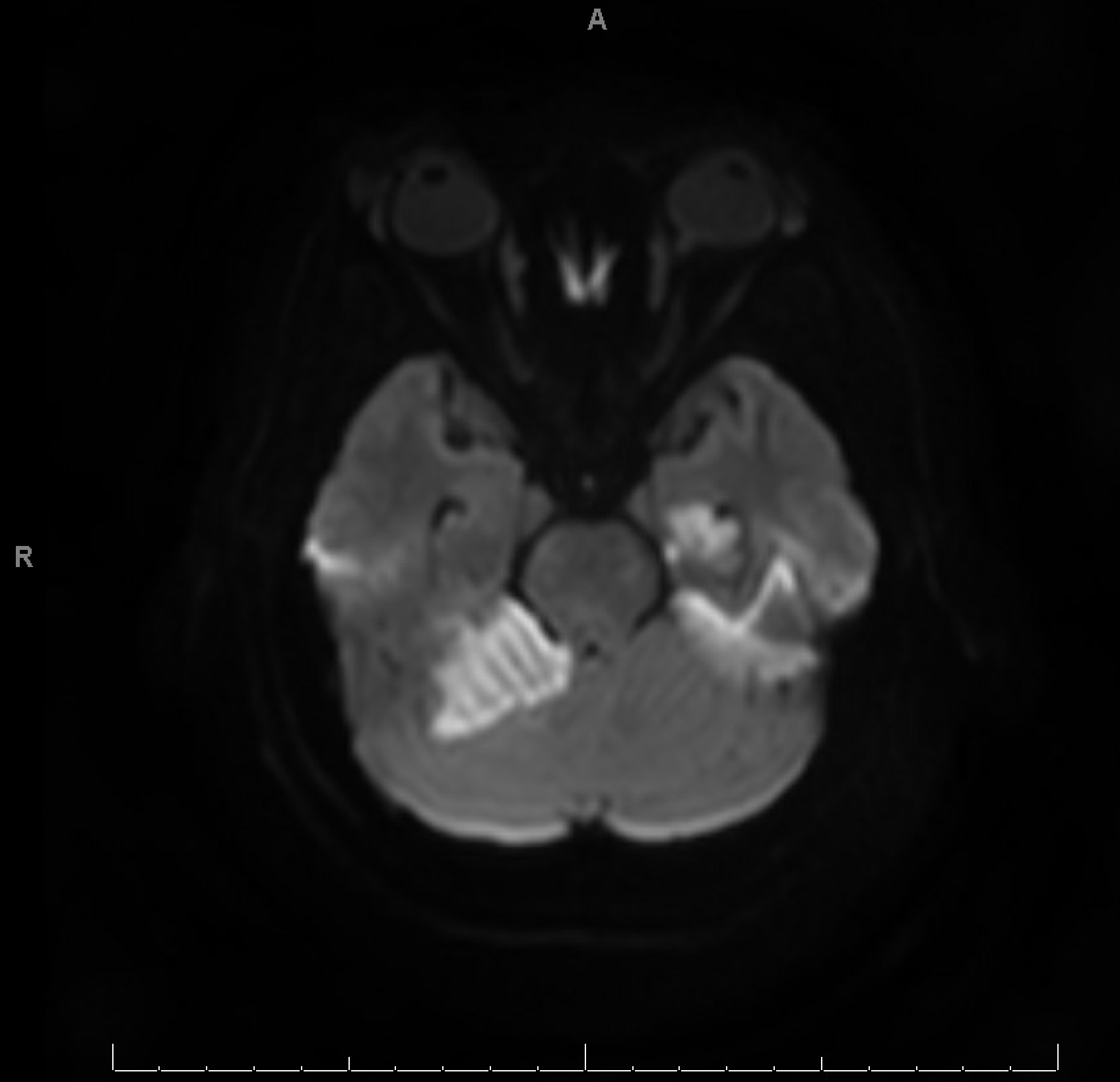
CTA revealed bilateral PCA stenosis, likely due to vasospasm. MRI brain showed bilateral occipital, left mesial temporal, and right cerebellar vasogenic edema with areas of restricted diffusion and microhemorrhages, supporting the diagnosis of PRES. Workup for infection, vasculitis, and autoimmune encephalitis was negative. Hypertensive emergency was suspected as the precipitating factor.
She was managed in the ICU with strict BP control and seizure prophylaxis. LP was deferred due to initial elevated ICP risk and improving clinical course. Over the next few days, her neurological status gradually improved, repeat imaging showed stable findings without new infarcts or hemorrhages. She was discharged on oral antihypertensives and levetiracetam, with plans for close outpatient neurology follow-up, repeat MRI, and cognitive evaluation.
Discussion:
This case underscores the diagnostic complexity of PRES, which can mimic stroke, infection, or structural lesions. Imaging, particularly MRI, is pivotal in distinguishing PRES from infarction. The presence of seizures, encephalopathy, and visual disturbances in the setting of malignant hypertension should prompt immediate consideration of PRES, especially when imaging suggests posterior white matter involvement. This case highlights the urgency of BP control and the need for a multidisciplinary approach, including neurology, radiology, and critical care, to prevent long-term neurological sequelae.
  • Hurtado, Leosbel  ( Larkin Community Hospital , Miami Beach , Florida , United States )
  • Hurtado, Pavel  ( USA Hospital , Mobile , Alabama , United States )
  • Gonzalez, Angel  ( USA Hospital , Mobile , Alabama , United States )
  • Gomez, Sabas  ( Larkin Community Hospital , Miami Beach , Florida , United States )
  • Valle, Brian  ( Larkin Community Hospital , Miami Beach , Florida , United States )
  • Garcia, Peter  ( Larkin Community Hospital , Miami Beach , Florida , United States )
  • Frontela, Odalys  ( Larkin Community Hospital , Miami Beach , Florida , United States )
  • Author Disclosures:
    Leosbel Hurtado: DO NOT have relevant financial relationships | Pavel Hurtado: No Answer | Angel Gonzalez: No Answer | sabas gomez: No Answer | Brian Valle: No Answer | Peter Garcia: No Answer | Odalys Frontela: No Answer
Meeting Info:
Session Info:

Poster Session 1 and Reception (includes TAC Poster Competition)

Thursday, 09/04/2025 , 05:30PM - 07:00PM

Poster Session

More abstracts on this topic:
A Daily Diary Examination of the Associations of Adverse Childhood Experiences, Anticipated Discrimination, and Blood Pressure among Sexual and Gender Minority Adults

Pardee Lisa, Bochicchio Lauren, Caceres Billy

Blinded Randomized trial of Anticoagulation to prevent Ischemic stroke and Neurocognitive impairment in Atrial Fibrillation

Rivard Lena, Lanthier Sylvain, Massoud Fadi, Nault Isabelle, Dorian Paul, Kouz Simon, Racine Normand, Roux Jean-francois, Greiss Isabelle, Mayrand Helene, Gosselin Gilbert, Khairy Paul, Verma Atul, Khaykin Yaariv, Parkash Ratika, Sandhu Roopinder K., Conen David, Brouillette Judith, Robillard Alain, Bocti Christian, Field Thalia, Pelletier Guy, Talajic Mario, Chayer Celine, Deschaintre Yan, Manlucu Jaimie, Roussin Andre, Macle Laurent, Mondesert Blandine, Dyrda Katia, Tadros Rafik, Guerra Peter, Thibault Bernard, Tardif Jean-claude, Cadrin-tourigny Julia, Dubuc Marc, Raymond-paquin Alexandre, Aguilar Martin, Essebag Vidal, Nozza Anna, Guertin Marie-claude, Tremblay-gravel Maxime, David Louis-philippe, Roy Denis, Healey Jeff, Bherer Louis, Black Sandra, Nattel Stanley, Andrade Jason

More abstracts from these authors:
Pulmonary Embolism Presenting with Classical S1Q3T3 Pattern on Electrocardiogram: Implications for Hemodynamic Instability

Hurtado Leosbel, Mora Kristel, Hurtado Pavel, Abdelmoneim Sahar, Rodriguez Dariex, Morales Ramon, Gomez Sabas, Valle Brian, Garcia Peter, Frontela Odalys

You have to be authorized to contact abstract author. Please, Login
Not Available