Logo

American Heart Association

  53
  0


Final ID: MP1248

Pulmonary Embolism Presenting with Classical S1Q3T3 Pattern on Electrocardiogram: Implications for Hemodynamic Instability

Abstract Body (Do not enter title and authors here): Background:
Pulmonary Embolism is a potentially life-threatening condition that may present with a spectrum of ECG abnormalities. Among these, the S1Q3T3 pattern: a prominent S in lead I, Q in lead III, and inverted T in lead III, is classically associated with PE. However, it is neither sensitive nor specific, occurring in approximately 12-20% of cases. The Daniel score assigns points (0–21) to predict an increased pressure in pulmonary artery and right ventrivule dysfunction. A score > 8 is associated with worsened clinical outcomes, experts agree that evidence of RV failure warrants escalation of therapy beyond anticoagulation, including fibrinolytics and thrombectomy.
Case:
A 77-year-old female with medical history of Breast Cancer on anastrozole, Hypertension and recent left total knee arthroplasty (postoperative day 17) on Aspirin twice daily for prophylaxis. She presented with acute dyspnea and diaphoresis, on arrival to the ED, she was tachypneic, tachycardic, and hypotensive.
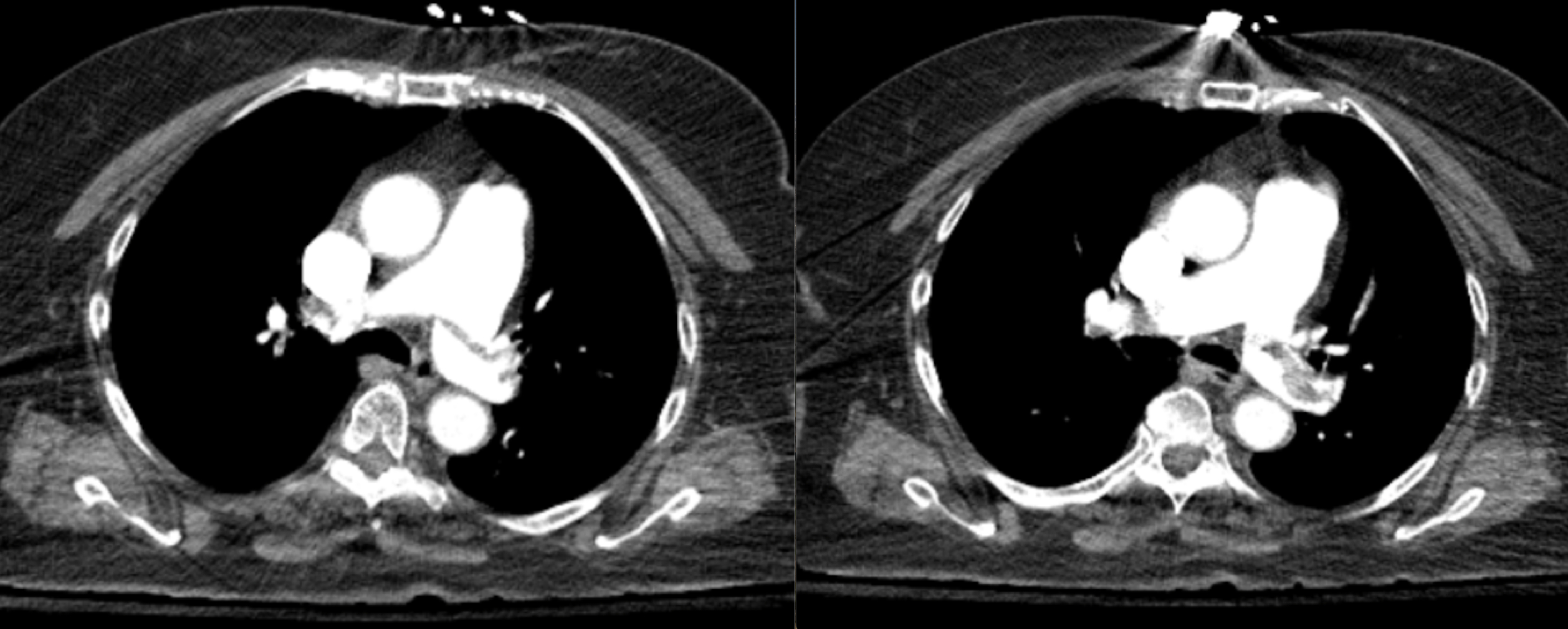
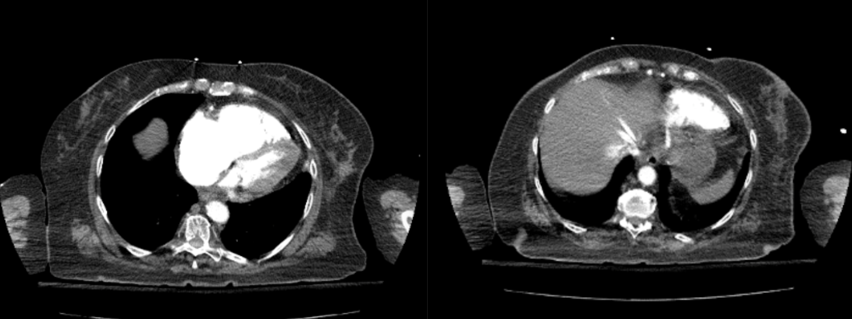
An ECG demonstrated sinus tachycardia with S1Q3T3 pattern, incomplete right bundle branch block (RBBB), inverted T wave in V1 and V3. Her Daniel Score was calculated at 9, indicating a high risk for hemodynamic instability. Troponin was 0.10 and BNP 8030. PE was suspected and a CTA confirmed a large saddle PE involving both main pulmonary arteries, with signs of RV strain, including RV dilation and contrast reflux into the IVC.
Despite initiation of IV heparin, the patient developed worsening hypotension and was started on norepinephrine and systemic thrombolysis with tPA. Plans were made for urgent catheter-directed thrombectomy, unfortunately, the patient suffered multiple episodes of pulseless electrical activity and ultimately succumbed to cardiac arrest.
Discussion:
This case underscores the prognostic value of ECG in the early evaluation of a PE. The Daniel Score offers a structured approach to quantify ECG abnormalities and predicts the likelihood of adverse outcomes. Risk stratification tools, including ECG scoring systems, cardiac biomarkers (troponin), Echocardiography and CT, should guide timely management strategies in high-risk PE. ECG findings, especially when interpreted using scoring systems like the Daniel Score, can provide valuable insight into disease severity and prognosis. Clinicians should maintain a high index of suspicion and prioritize early diagnostic imaging and intervention when characteristic ECG changes are present in the appropriate clinical setting.
  • Hurtado, Leosbel  ( Larkin Community Hospital , Miami Beach , Florida , United States )
  • Mora, Kristel  ( Larkin Community Hospital , Miami Beach , Florida , United States )
  • Hurtado, Pavel  ( USA Hospital , Mobile , Alabama , United States )
  • Abdelmoneim, Sahar  ( LCH -PSC , Miami , Florida , United States )
  • Rodriguez, Dariex  ( Larkin Community Hospital , Miami Beach , Florida , United States )
  • Morales, Ramon  ( Larkin Community Hospital , Miami Beach , Florida , United States )
  • Gomez, Sabas  ( Larkin Community Hospital , Miami Beach , Florida , United States )
  • Valle, Brian  ( Larkin Community Hospital , Miami Beach , Florida , United States )
  • Garcia, Peter  ( Larkin Community Hospital , Miami Beach , Florida , United States )
  • Frontela, Odalys  ( Larkin Community Hospital , Miami Beach , Florida , United States )
  • Author Disclosures:
    Leosbel Hurtado: DO NOT have relevant financial relationships | Kristel Mora: DO NOT have relevant financial relationships | Pavel Hurtado: DO NOT have relevant financial relationships | Sahar Abdelmoneim: DO NOT have relevant financial relationships | Dariex Rodriguez: No Answer | Ramon Morales: No Answer | sabas gomez: No Answer | Brian Valle: No Answer | Peter Garcia: No Answer | Odalys Frontela: No Answer
Meeting Info:

Scientific Sessions 2025

2025

New Orleans, Louisiana

Session Info:

Unseen but Deadly: Recognizing Rare, Reversible, and Rising Cardiovascular Challenges

Sunday, 11/09/2025 , 03:15PM - 04:15PM

Moderated Digital Poster Session

More abstracts on this topic:
Co-localization of NCCT hypodensity and CTA spot sign to predict intracerebral hematoma expansion and severity: development and validation of the Black-&-White sign

Pensato Umberto, Banerjee Ankur, Kulkarni Girish, Menon Bijoy, Goyal Mayank, Hill Michael, Molina Carlos, Silva Yolanda, Boulanger Jean-martin, Gubitz Gord, Bhatia Rohit, Tanaka Koji, Srivastava Padma, Roy Jayanta, Dzialowski Imanuel, Kase Carlos, Kobayashi Adam, Rodriguez-luna David, Aviv Richard, Dowlatshahi Dar, Demchuk Andrew, Horn Mackenzie, Teleg Ericka, Al Sultan Abdulaziz, Kasickova Machova Linda, Ohara Tomoyuki, Ojha Piyush, Marzoughi Sina

Catheter-Directed Intervention for High-Risk Acute Pulmonary Embolism in Chronic Kidney Disease

Kumar Manoj, Ricciardi Mark, Arman Qamar, Ali Shafaqat, Jamshed Aneeza, Murthi Mukunthan, Kumar Nomesh, Kumar Sanjay, Kumari Rinkle, Alraies M Chadi, Gomez Valencia Javier

More abstracts from these authors:
Posterior Reversible Encephalopathy Syndrome: A Diagnostic Challenge and the Critical Role of Blood Pressure Control

Hurtado Leosbel, Hurtado Pavel, Gonzalez Angel, Gomez Sabas, Valle Brian, Garcia Peter, Frontela Odalys

You have to be authorized to contact abstract author. Please, Login
Not Available