Logo

American Heart Association

  54
  0


Final ID: MP294

Beyond the Biopsy: Serial Cardiac MRI Reveals Diagnostic and Prognostic Value in Postpartum Eosinophilic Myocarditis

Abstract Body (Do not enter title and authors here): Description of Case

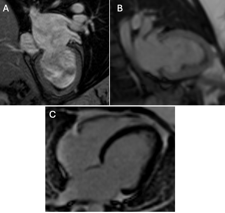
A 37-year-old woman with hypertension, polycystic ovarian syndrome, and a family history of eosinophilic esophagitis presented 8 weeks postpartum with progressive dyspnea and hypoxia. Laboratory testing showed mild eosinophilia and elevated BNP with a normal troponin. Transthoracic echocardiography revealed preserved ejection fraction and apical thickening. Cardiac MRI (1.5T) demonstrated reduced LVEF (43%), mid-to-apical akinesis, and a large laminar apical thrombus (18 × 51 mm). Native T1 and extracellular volume were elevated. First-pass perfusion showed an apical perfusion defect surrounded by hyperenhancing myocardium, consistent with the “double V sign.” Late gadolinium enhancement demonstrated mid-wall fibrosis in the basal anteroseptum. Endomyocardial biopsy revealed only mild myocyte hypertrophy without eosinophilic infiltration.

Discussion
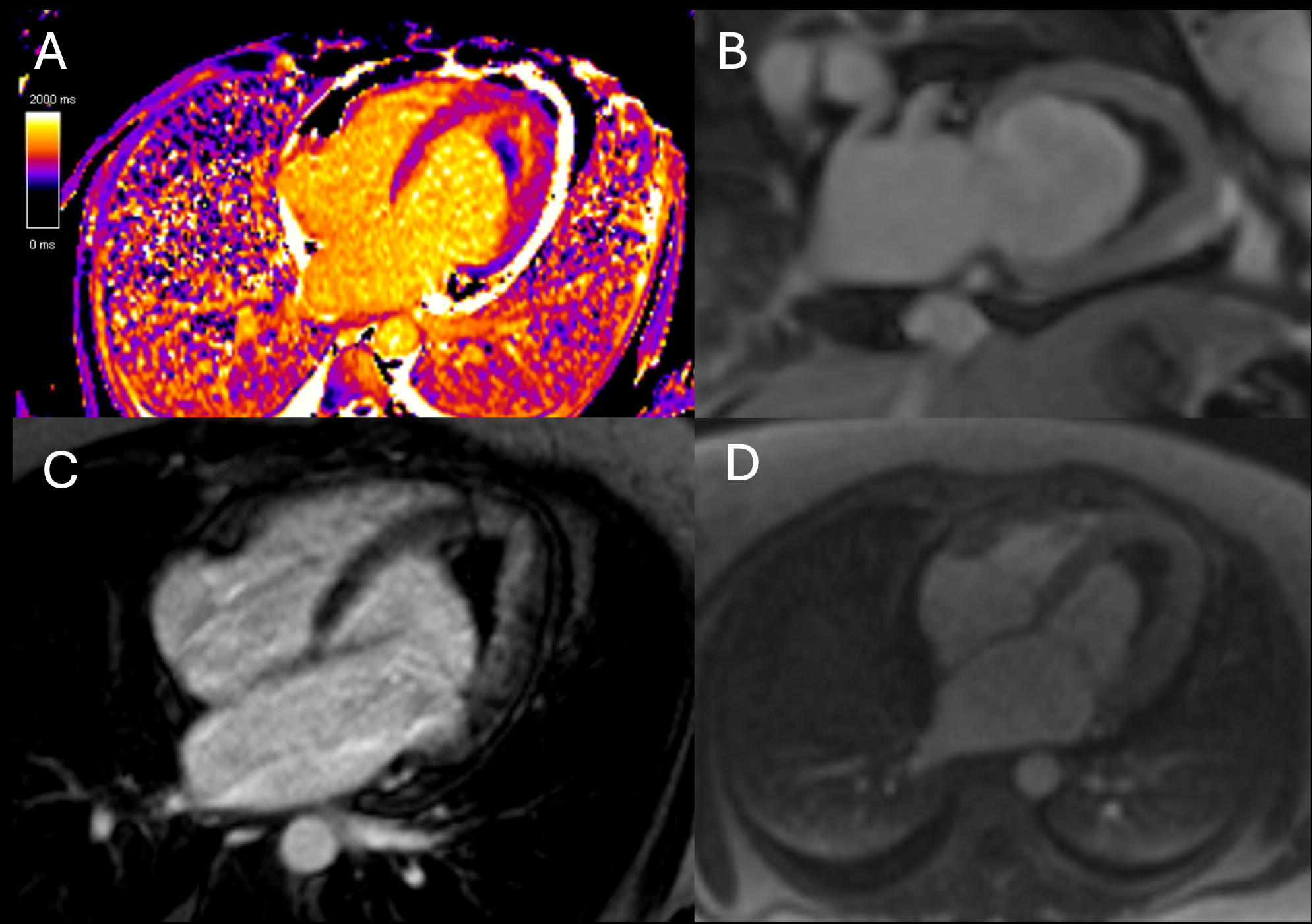
Eosinophilic myocarditis is an uncommon inflammatory cardiomyopathy that often mimics other etiologies of heart failure and may evade histologic confirmation due to patchy myocardial involvement. In this case, the clinical context and distinct cardiac MRI findings supported the diagnosis despite a non-diagnostic biopsy. Given the imaging and laboratory findings, high-dose corticosteroids and anticoagulation were initiated empirically. At three months, repeat imaging showed improved LVEF (57%), resolution of wall motion abnormalities, and thrombus shrinkage to 7 mm. By ten months, MRI demonstrated normalized systolic function (LVEF 60%), near-complete resolution of the thrombus (10 × 6 mm, tethered in the chordae), and no residual late enhancement. T1 and extracellular volume remained mildly elevated. This case illustrates the diagnostic and longitudinal value of cardiac MRI in eosinophilic myocarditis, particularly when biopsy is inconclusive, and highlights the utility of serial imaging in guiding and monitoring therapy.
  • Berzingi, Seher  ( West Virginia University , Morgantown , West Virginia , United States )
  • Hendricks, Emily  ( West Virginia University , Morgantown , West Virginia , United States )
  • Haider, Mobeen  ( West Virginia University , Morgantown , West Virginia , United States )
  • Muthukumar, Lakshmi  ( West Virginia University , Morgantown , West Virginia , United States )
  • Author Disclosures:
    Seher Berzingi: DO NOT have relevant financial relationships | Emily Hendricks: DO NOT have relevant financial relationships | Mobeen Haider: DO NOT have relevant financial relationships | Lakshmi Muthukumar: No Answer
Meeting Info:

Scientific Sessions 2025

2025

New Orleans, Louisiana

Session Info:

Hidden Risks, Emerging Tools: Imaging and Biomarkers in Personalized CV Health

Saturday, 11/08/2025 , 09:15AM - 10:15AM

Moderated Digital Poster Session

More abstracts on this topic:
A Rare Case of Acute Undifferentiated Leukemia Presenting as an Isolated Cardiac Mass

Mallipeddi Tarun, Rantanen Petra, Debakey Michael, Cheng Lily, Waheed Nida

A large-scale multi-view deep learning-based assessment of left ventricular ejection fraction in echocardiography

Jing Linyuan, Metser Gil, Mawson Thomas, Tat Emily, Jiang Nona, Duffy Eamon, Hahn Rebecca, Homma Shunichi, Haggerty Christopher, Poterucha Timothy, Elias Pierre, Long Aaron, Vanmaanen David, Rocha Daniel, Hartzel Dustin, Kelsey Christopher, Ruhl Jeffrey, Beecy Ashley, Elnabawi Youssef

More abstracts from these authors:
Comparative 2 Year Outcomes of Carvedilol Versus Metoprolol Succinate initiation in Heart failure with reduced ejection fraction Patients with End-Stage Renal Disease on Dialysis: A Propensity- Matched analysis

Okorigba Efeturi, Hassan Abdulraheem, Mensah Samuel, Olayiwola Olalekan, Ilelaboye Ayodeji, Thangjui Sittinun, Muthukumar Lakshmi

Real World utilization of Influenza vaccination as a secondary prevention strategy for Major cardiovascular event in Acute Coronary Syndrome

Okorigba Efeturi, Tabot Ntoung Clara Nkongho, Mensah Samuel, Olayiwola Olalekan, Meyahnwi Didien, Ottun Abdul-rahaman, Rana Saim, Muthukumar Lakshmi

You have to be authorized to contact abstract author. Please, Login
Not Available