Logo

American Heart Association

  65
  0


Final ID: MP2021

Complete Left Atrial Appendage Membrane Mimicking Congenital Absence on TEE

Abstract Body (Do not enter title and authors here): Background
Left atrial appendage (LAA) membranes and congenital absence of LAA are extremely rare anatomical variants seen on transesophageal echocardiography (TEE). There are very few cases reported of LAA membrane and congenital absence of LAA in the literature. We present two cases with a LAA membrane, with the second case mimicking congenital LAA absence.
Description of Case
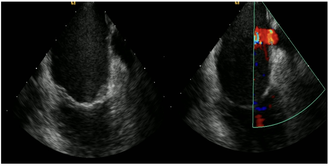
Case 1: A 57-year-old male with persistent AF and dilated cardiomyopathy underwent TEE prior to pulmonary vein isolation. TEE revealed a fenestrated membrane at the ostium of the LAA, causing partial obstruction evidenced by a well-defined jet into the left atrium. The fenestrated membrane was well demonstrated by advancing intra-cardiac echocardiogram (ICE) probe into the left atrium (Figure 1).
Case 2: A 60-year-old female with paroxysmal AF and hypertension, presented with non-ST-elevation myocardial infarction and was found to have triple vessel disease. She was planned for coronary artery bypass grafting (CABG), MAZE procedure, and LAA excision. Intraoperative TEE did not visualize any LAA, suggesting congenital absence of LAA. However, a LAA was seen intra-op, which was empty and collapsed due to the presence of complete membrane at the ostium without any fenestrations (Figure 2).
Discussion
These cases illustrate that LAA membranes can rarely be present, which can be partial, fenestrated or complete. Presence of a complete membrane leads to a collapsed LAA, which can not be visualized on TEE mimicking congenital absence of LAA.
  • Ahluwalia, Vibhor  ( Nazareth Hospital , Philadelphia , Pennsylvania , United States )
  • Nathan, Karim  ( St Mary Medical Center , Philadelphia , Pennsylvania , United States )
  • Gupta, Ashwani  ( St Mary Medical Center , Philadelphia , Pennsylvania , United States )
  • Kutalek, Steven  ( St Mary Medical Center , Philadelphia , Pennsylvania , United States )
  • Author Disclosures:
    Vibhor Ahluwalia: DO NOT have relevant financial relationships | Karim Nathan: No Answer | Ashwani Gupta: No Answer | Steven Kutalek: No Answer
Meeting Info:

Scientific Sessions 2025

2025

New Orleans, Louisiana

Session Info:

Unmasking Congenital Complexity: Advancing the Role of Cardiac Imaging

Monday, 11/10/2025 , 01:45PM - 02:45PM

Moderated Digital Poster Session

More abstracts on this topic:
A Multicenter Friedreich Ataxia Registry Identifies Posterior Wall Thickness as a Predictor of Major Adverse Cardiac Events

Lin Kimberly, Johnson Jonathan, Mccormack Shana, Lynch David, Tate Barbara, Feng Yixuan, Huang Jing, Mercer-rosa Laura, Dedio Anna, Mcsweeney Kara, Fournier Anne, Yoon Grace, Payne Ronald, Cripe Linda, Patel Aarti, Niaz Talha



A Case of Possible IgG4-Related Constrictive Pericarditis Masquerading as Idiopathic Pericarditis: A Rare and Elusive Diagnosis

Nandyal Shreyas, Sharma Bharosa, Gajjar Rohan, Varma Revati, Ezegwu Olisa, Amdetison Gedion Yilma, Tottleben Jon

More abstracts from these authors:
Association of Catheterization Timing with In-Hospital Outcomes in OHCA Patients with NSTEMI: A National Analysis

Ahluwalia Vibhor, Jaiswal Jay, Bhatia Smriti, Dutta Abhishek, Murillo-garcia David, Singer Robert, Dhar Sunil

Atrial Fibrillation as a Causal Risk Factor for Dementia: Pooled Mendelian Randomization Analysis of 2.6 Million Individuals from Large-Scale Genome-wide Association Studies

Mondal Avilash, Kutalek Steven, Basnet Arjun, Chilingarashvili Giorgi, Li Aobo, Tripathi Devendra, Ashish Kumar, Haider Mobeen, Fagan James, Gupta Ashwani

You have to be authorized to contact abstract author. Please, Login
Not Available