Logo

American Heart Association

  63
  0


Final ID: MP86

Pembrolizumab-Induced Myositis Unmasking Double M Syndrome with Smoldering Myocarditis

Abstract Body (Do not enter title and authors here): Background
Immune checkpoint inhibitors (ICIs), such as pembrolizumab, have revolutionized cancer therapy but can trigger immune-related adverse events (irAEs), including myocarditis and myositis. Double M syndrome, myositis with concurrent myocarditis, is a rare, high-risk phenotype typically presenting acutely, though smoldering presentations are often underrecognized and constitute a diagnostic challenge.
Clinical case
A 67-year-old woman with stage IIb triple-negative breast cancer, treated with pembrolizumab-carboplatin/paclitaxel followed by doxorubicin/cyclophosphamide per KEYNOTE-522 protocol, presented four months after completing ICI therapy with worsening myalgias, weakness, low-grade fever, and transaminitis. Labs revealed elevated CK (7,760 U/L), transaminases (AST 369 U/L, ALT 626 U/L). ECG showed sinus tachycardia and diffuse ST depressions, with troponin-I (>15,000 ng/L), and CK-MB (185 ng/mL). TTE demonstrated preserved LVEF without wall motion abnormalities. Differential diagnoses included non-ST elevation myocardial infarction, ICI-related myocarditis, and viral myocarditis.
Decision-Making
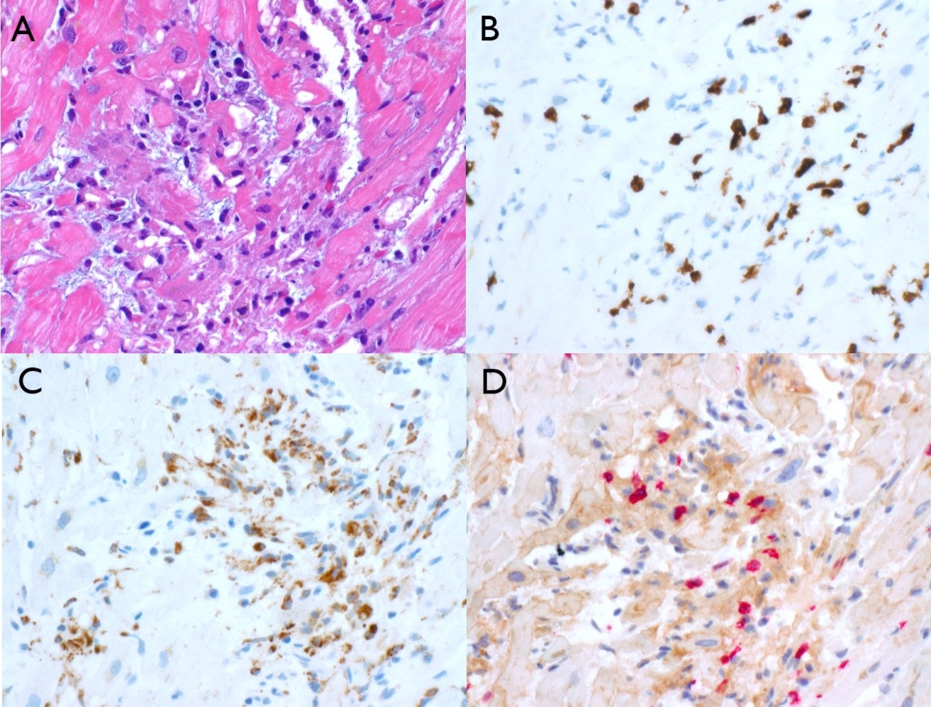
Initial ACS management was initiated but discontinued after coronary angiography showed non-obstructive disease. Endomyocardial biopsy (EMB) revealed lymphocyte-predominant myocarditis with CD8+ cytotoxic T-cell infiltrates and PD-L1 overexpression in myocytes, confirming ICI-associated myocarditis (Figure 1). She was treated with pulse-dose methylprednisolone (1 g/day x 5 days), followed by oral prednisone taper. Follow-up cardiac PET/CT at two months showed complete resolution of myocardial inflammation (Figure 2).
Conclusion
This unique case illustrates a rare, delayed-onset presentation of pembrolizumab-induced Double M syndrome with smoldering myocarditis (Figure 3) and myositis, highlighting the importance of considering ICI-related myocarditis even in asymptomatic or subacute settings post-immunotherapy to avoid fatal cardiac complications. EMB played a critical role in diagnosis and tailored corticosteroid therapy. Timely recognition and coordinated multidisciplinary management are crucial for improving outcomes in ICI-related cardiotoxicity and other irAEs.
  • Tapia-orihuela, Ruben  ( University of Miami Miller School of Medicine, Holy Cross Health , Fort Lauderdale , Florida , United States )
  • Mark, Justin  ( University of Miami Miller School of Medicine, Holy Cross Health , Fort Lauderdale , Florida , United States )
  • Llanos, Alexander  ( University of Miami Miller School of Medicine, Holy Cross Health , Fort Lauderdale , Florida , United States )
  • Charnick, Barry  ( PET Imaging Institute of South Florida , Fort Lauderdale , Florida , United States )
  • Stone, James  ( MASSACHUSETTS GENERAL HOSPITAL , Boston , Massachusetts , United States )
  • Muniz, Jose  ( Cleveland Clinic Florida , Weston , Florida , United States )
  • Collado, Elias  ( University of Miami Miller School of Medicine, Holy Cross Health , Fort Lauderdale , Florida , United States )
  • Author Disclosures:
    Ruben Tapia-Orihuela: DO NOT have relevant financial relationships | Justin Mark: DO NOT have relevant financial relationships | Alexander Llanos: No Answer | BARRY CHARNICK: DO NOT have relevant financial relationships | James Stone: DO NOT have relevant financial relationships | Jose Muniz: No Answer | Elias Collado: DO NOT have relevant financial relationships
Meeting Info:

Scientific Sessions 2025

2025

New Orleans, Louisiana

Session Info:

Clinical Case: Cardio-Onc

Saturday, 11/08/2025 , 09:15AM - 10:25AM

Moderated Digital Poster Session

More abstracts on this topic:
A Case of Clozapine-Induced Myocarditis: An Under-described Side Effect

Ibrahim Rand, Clearo Kellie

Artificial Intelligence-Derived Myosteatosis on Coronary Artery Calcium CT Scans Predicts Incident COPD: An AI-CVD Study within the Multi-Ethnic Study of Atherosclerosis (MESA)

Naghavi Morteza, Maron David, Vliegenthart Rozemarijn, Mcconnell Michael, Zulueta Javier, Williams Kim, Branch Andrea, Mechanick Jeffrey, Ma Ning, Yip Rowena, Fan Wenjun, Azimi Amir, Roy Sion, Budoff Matthew, Molloi Sabee, Kakadiaris Ioannis, Shah Prediman, Abela George, Narula Jagat, Benjamin Emelia, Levy Daniel, Mehran Roxana, Atlas Kyle, Kloner Robert, Zhang Chenyu, Reeves Anthony, Wasserthal Jakob, Wong Nathan, Henschke Claudia, Yankelevitz David

More abstracts from these authors:
Coronary Artery Calcium Score Modifies the Risk of Coronary Heart Disease Associated with Apolipoprotein B

Vergara Carlos, Krasner Joshua, Mark Justin, Lopez Jose, Colombo Rosario, Yang Eugene, Shapiro Michael

Lipoprotein(a) and Metabolic Syndrome are Associated with Increased Risk of Coronary Heart Disease

Krasner Joshua, Vergara Carlos, Mark Justin, Lopez Jose, Colombo Rosario, Yang Eugene, Shapiro Michael

You have to be authorized to contact abstract author. Please, Login
Not Available