Logo

American Heart Association

  15
  0


Final ID: MP2488

When Genes Collide: Hypertrophic Cardiomyopathy and Neurofibromatosis Type 1

Abstract Body (Do not enter title and authors here): Background: Hypertrophic cardiomyopathy (HCM) links to mutations in sarcomeric genes; however, evidence indicates overlap with RASopathies, particularly Neurofibromatosis Type 1 (NF1). Mutations in NF1 result in impaired neurofibromin function, disrupting RAS/MAPK signaling pathways and predisposing individuals to cutaneous and cardiovascular abnormalities.

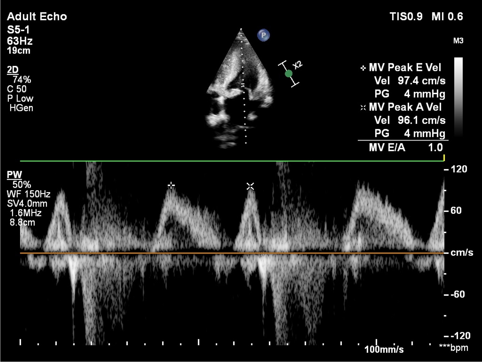
Description of Case: A 30-year-old South Asian male presented with exertional chest pain and dyspnea, classified as New York Heart Association (NYHA) Class II. Clinical examination revealed multiple cutaneous neurofibromas, indicative of NF1. Electrocardiography (ECG) demonstrated left ventricular hypertrophy, while echocardiography confirmed the presence of asymmetric septal hypertrophy and systolic anterior motion (SAM) of the mitral valve, findings consistent with hypertrophic cardiomyopathy (HCM) and left ventricular outflow tract obstruction. Laboratory investigations revealed severe iron-deficiency anemia, attributed to alcohol-related malnutrition. Familial screening indicated that his mother and sister, both positive for NF1, also exhibited asymptomatic HCM on echocardiography. This familial clustering underscored the syndromic nature of his condition. The patient was initiated on guideline-directed medical therapy, alongside lifestyle interventions targeting anemia and alcohol cessation.

Discussion: This case illustrates HCM with NF1, a RASopathy not typically in cardiomyopathy evaluations. The structural phenotype included SAM and left ventricular outflow tract (LVOT) obstruction, more common in syndromic than sarcomeric HCM. The interplay between genetic predisposition, systemic comorbidities like anemia and malnutrition, and cardiac morphology contributed to symptoms and disease progression. Familial clustering highlights the need for genetic counseling and echocardiographic screening in first-degree relatives. Additionally, emerging molecular therapies targeting RAS/MAPK pathway dysregulation may offer future therapeutic options for RASopathy-related HCM.

Conclusion: The management of syndromic HCM in the context of NF1 necessitates a multidisciplinary approach. This case underscores the critical role of genetic evaluation, family screening, and systemic optimization in the treatment of non-sarcomeric HCM. Increased awareness of such associations can facilitate early diagnosis and enable the customization of therapeutic strategies in genetically complex cardiac conditions.
  • Putta Nagarajan, Hrithik Dakssesh  ( Madurai Medical College , Madurai , India )
  • Gowanda, Ria  ( Macon and Joan Brock Virginia Health Sciences - Old Dominion University , Norfolk , Virginia , United States )
  • Kamaraj, Balakrishnan  ( Madurai Medical College , Madurai , India )
  • Balaji, Swetha  ( NYMC at St. Mary's General Hospital , Passaic , New Jersey , United States )
  • Author Disclosures:
    Hrithik Dakssesh Putta Nagarajan: DO NOT have relevant financial relationships | Ria Gowanda: DO NOT have relevant financial relationships | Balakrishnan Kamaraj: DO NOT have relevant financial relationships | Swetha Balaji: DO NOT have relevant financial relationships
Meeting Info:

Scientific Sessions 2025

2025

New Orleans, Louisiana

Session Info:

Clinical Case: Box of Chocolates

Monday, 11/10/2025 , 12:15PM - 01:30PM

Moderated Digital Poster Session

More abstracts on this topic:
A Multicenter Friedreich Ataxia Registry Identifies Posterior Wall Thickness as a Predictor of Major Adverse Cardiac Events

Lin Kimberly, Johnson Jonathan, Mccormack Shana, Lynch David, Tate Barbara, Feng Yixuan, Huang Jing, Mercer-rosa Laura, Dedio Anna, Mcsweeney Kara, Fournier Anne, Yoon Grace, Payne Ronald, Cripe Linda, Patel Aarti, Niaz Talha

A Precision Medicine Approach to Predicting Pathogenicity and Disease Penetrance Among Variants in Hypertrophic Cardiomyopathy-Associated Genes at a Population Level

Wolfe Rachel, Chahal Anwar, Landstrom Andrew, Kurzlechner Leonie, Monaco Gabrielle, Yadav Kanishk, Gurumoorthi Manasa, Sharaf Dabbagh Ghaith, Shah Ravi, Williams Trevor, Facio Flavia

More abstracts from these authors:
Impact of Exercise on Post-COVID-19 Recovery: A Comparative Study Using Modified 6-Minute Walk Test and Harvard Step Test

Athaluri Sai Anirudh, Devi Syamala, Kamaraj Balakrishnan, Putta Nagarajan Hrithik Dakssesh, Nattala Ajay Goud, Gopu Sahithi, Vemulaghat Krishna Teja, Balaji Swetha

Double X, Double Trouble: Unveiling the Clotting Risk in Klinefelter Syndrome

Putta Nagarajan Hrithik Dakssesh, Hithayathulla Mohammed Afsharhussain, Balaji Swetha, Gowanda Ria, Kamaraj Balakrishnan

You have to be authorized to contact abstract author. Please, Login
Not Available