Logo

American Heart Association

  77
  0


Final ID: MP255

Biventricular Cardiac Metastasis of Cutaneous Melanoma: Imaging-Guided Treatment Strategy with Check-Point Inhibition and Debulking Surgery

Abstract Body (Do not enter title and authors here): Background
Melanoma frequently spreads hematogenously, yet cardiac metastases remain under-
recognized and carry high mortality. Early identification and coordinated cardio-oncology
management may improve functional outcomes.

Case
A 59-year-old woman underwent resection of CDK4-positive, BRAF/KIT/NRAS-negative
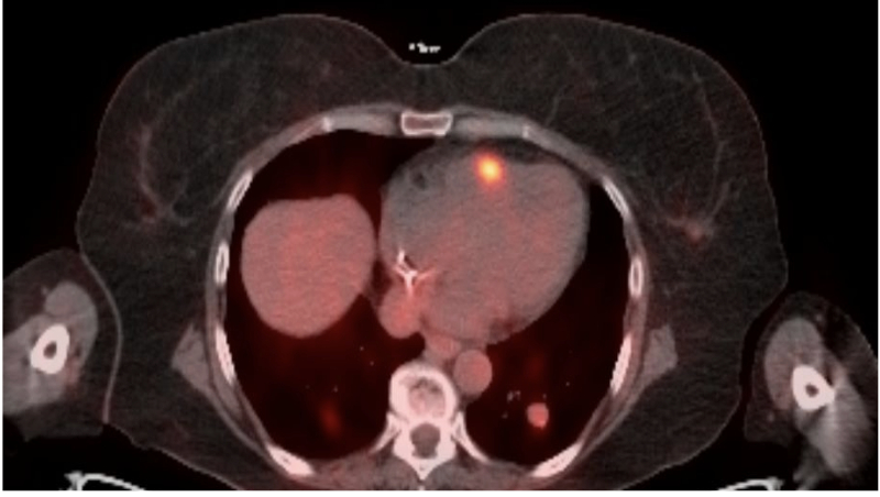
cutaneous melanoma of the left thigh and foot. Four months later, an 18F-FDG PET-CT (figure 1)
revealed disseminated disease with intense pericardial uptake. Cardiac MRI (figure 2) showed a
3.3 cm right-ventricular (RV) free-wall mass and a 1.1 cm left-ventricular (LV) apical lesion;
transthoracic echocardiography (TTE) (figure 3) confirmed mass location with preserved
biventricular function.

Decision-Making/Intervention
A heart–oncology team initiated nivolumab + ipilimumab (4 × q3 wk, every 3 weeks) followed
by maintenance nivolumab. Therapy induced widespread metabolic remission and LV mass
resolution but paradoxical RV-mass enlargement, causing exertional dyspnea, orthopnea, and
edema. After coronary angiography excluded ischemia, the patient underwent RV debulking
with resection of two large tumors, multiple implants, and a right-atrial thrombus; intra-
operative transesophageal echocardiography (TEE) confirmed tricuspid-valve integrity.
Outcome
Pathology verified metastatic melanoma. Post-operative TTE showed complete RV mass
removal and normalized filling; symptoms resolved, and the patient resumed maintenance
immunotherapy. At 5-month follow-up, she remained New York Heart Association (NYHA) class
I with no residual tumor on imaging.

Conclusion
Multimodal imaging unmasked occult biventricular melanoma, guided immunotherapy, and
informed the timing of palliative-to-therapeutic surgical debulking. Early multidisciplinary
engagement facilitated hemodynamic recovery and durable oncologic control, offering a
pragmatic framework for managing cardiac metastases in the era of checkpoint inhibitors.
  • Seijari, Mohammed Najdat  ( Good Samaritan Hospital, Trihealth , Cincinnati , Ohio , United States )
  • Zamani, Taraneh  ( Good Samaritan Hospital, Trihealth , Cincinnati , Ohio , United States )
  • Khan, Fayaz  ( TriHealth Good Samaritan Hospital , Cincinnati , Ohio , United States )
  • Ajenaghughrure, Godbless  ( trihealth good samaritan hospital , Cincinnati , Ohio , United States )
  • Shemisa, Kamal  ( Trihealth Heart institute , Cincinnati , Ohio , United States )
  • Author Disclosures:
    Mohammed Najdat Seijari: DO NOT have relevant financial relationships | Taraneh Zamani: DO NOT have relevant financial relationships | Fayaz Khan: DO NOT have relevant financial relationships | Godbless Ajenaghughrure: DO NOT have relevant financial relationships | Kamal Shemisa: No Answer
Meeting Info:

Scientific Sessions 2025

2025

New Orleans, Louisiana

Session Info:

Beyond the Usual Suspects: Imaging Insights in HCM and Rare Cardiomyopathies

Saturday, 11/08/2025 , 09:15AM - 10:30AM

Moderated Digital Poster Session

More abstracts on this topic:
A Real-World Pilot for Diagnostic Yield of Cardiac CTA vs Echocardiography in Acute Ischemic Stroke

Chakravarthula Nitin Ramanujam, Milani Marcus, Tessmer Megan, Staugaitis Abbey, Akimoto Kai, Markowitz Jeremy, Kalra Rajat, Nijjar Prabhjot, Streib Christopher

Comprehensive Ranking of Maintenance Immunosuppressive Therapies for Heart Transplant Recipients: A Systematic Review and Bayesian Network Meta-Analysis

Hammadeh Bara, Singla Ankur, Shaban Noor, Jaffal Rana, Alsufi Muaath, Al Matairi Alzahra'a, Aldib Layan

More abstracts from these authors:
Real-World Effectiveness of Intravenous Iron Therapy in HFrEF: A Multicenter Propensity-Matched Study

Khan Fayaz, Zamani Taraneh, Seijari Mohammed Najdat, Hijazi Mohamad, Rajbhandari Pranita, Ajenaghughrure Godbless

Glucagon-Like Peptide-1 Receptor Agonists and Anthracycline Therapy in Breast Cancer: A Real-World Propensity-Matched Analysis

Seijari Mohammed Najdat, Zamani Taraneh, Khan Fayaz, Rajbhandari Pranita, Ajenaghughrure Godbless, Hijazi Mohamad

You have to be authorized to contact abstract author. Please, Login
Not Available