Logo

American Heart Association

  53
  0


Final ID: MP854

AI-Generated Semiautomated Echocardiographic-Derived Measurements Show Strong Agreement with CT for Tricuspid Annular Sizing

Abstract Body (Do not enter title and authors here): Background:
Accurate tricuspid annular sizing is essential for procedural planning in transcatheter tricuspid valve intervention (TTVI). While contrast-enhanced, ECG-gated cardiac computed tomography (CT) remains the gold standard, it has limitations such as radiation exposure, contrast-related risks, and procedural delays. Artificial intelligence (AI)-powered echocardiographic tools may offer a safer, contrast-free alternative.
Objective:
To evaluate the accuracy and reproducibility of tricuspid annular measurements generated from an AI-based semiautomated software from transesophageal echocardiography (TEE) compared with gated cardiac CT.
Methods:
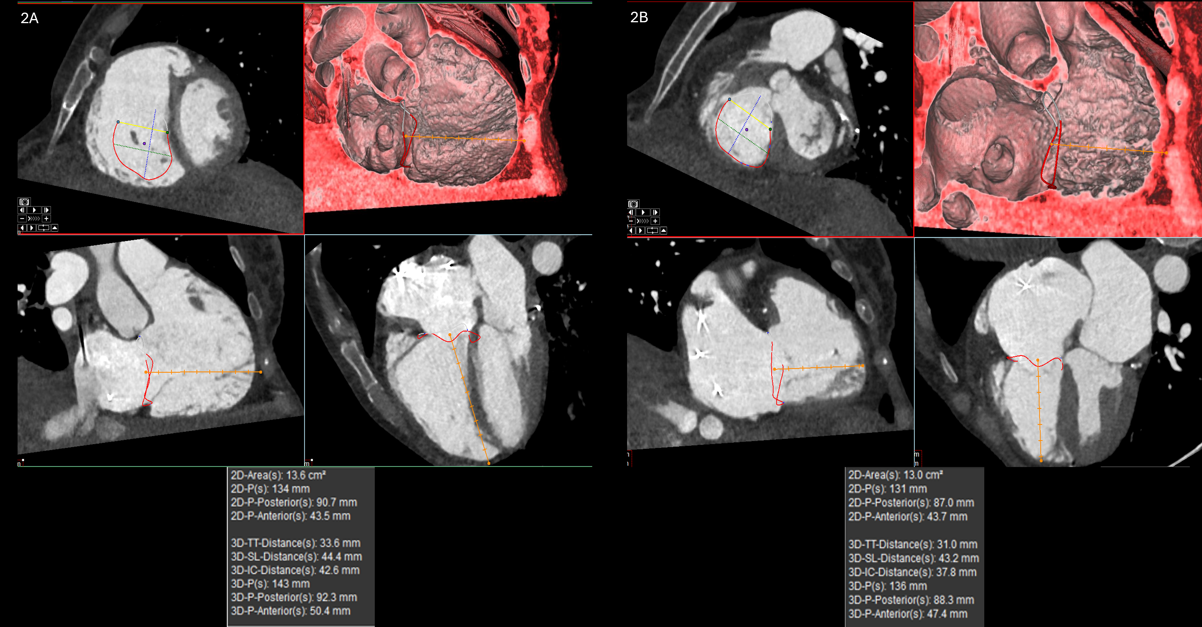
We retrospectively analyzed 19 patients with severe tricuspid regurgitation undergoing evaluation for TTVI who underwent both contrast-enhanced cardiac CT and TEE, with TEE performed a median of 93 days after CT (range: 0–247 days). Tricuspid annular dimensions were generated using an AI-powered 3D semiautomated analysis (3D Auto TV; Philips Ultrasound). CT annular measurements were independently performed in duplicate using the Aquarius iNtuition software. AI-generated echo measurements were visually reviewed and confirmed to ensure accuracy. Annular dimensions were measured in both diastole and systole using 2D and 3D perimeter-based diameter dimensions (perimeter/π) for both TEE and CT-derived measurements. Agreement between TEE and CT-derived dimensions was assessed with Pearson correlation coefficient. Inter-observer variability was assessed for CT-derived measurements of10 patients.
Results:
There was strong correlation between diastolic 2D TEE and CT dimensions (r = 0.564, p = 0.036). Intraclass correlation coefficient (ICC) analysis showed excellent reliability for 2D diastolic (ICC = 0.925) and 3D diastolic (ICC = 0.935) measurements. Systolic measurements showed slightly lower but strong agreement (2D ICC = 0.824; 3D ICC = 0.810). All ICC values were significant (p < 0.001). Interobserver variability for the CT scan measurements showed excellent agreement across all 2D and 3D tricuspid annulus measurements (ICC range: 0.916–0.969; all p < 0.001).

Conclusion:
AI-based TEE semiautomated annular measurements show strong correlation and excellent reproducibility compared with CT-derived sizing, particularly in diastole. This approach may support preprocedural planning and intraprocedural guidance in TTVI, though further studies are needed.
  • Hajj, Joseph  ( Cleveland Clinic , Cleveland , Ohio , United States )
  • Keen, Susan  ( Cleveland Clinic , Cleveland , Ohio , United States )
  • Harb, Serge  ( Cleveland Clinic , Cleveland , Ohio , United States )
  • Miyasaka, Rhonda  ( Cleveland Clinic , Cleveland , Ohio , United States )
  • Author Disclosures:
    Joseph Hajj: DO NOT have relevant financial relationships | Susan Keen: DO NOT have relevant financial relationships | Serge Harb: No Answer | Rhonda Miyasaka: No Answer
Meeting Info:

Scientific Sessions 2025

2025

New Orleans, Louisiana

Session Info:
More abstracts on this topic:
A Site-by-Site Comparison of CT Attenuation, Effective Atomic Numbers, and Electron Densities of Focal Pericoronary Adipose Tissue and Its Relationship to Adjacent Coronary Plaques on Contrast Enhanced Spectral CT

Kaneko Aya, Sakaguchi Yamato, Funabashi Nobusada

A large-scale multi-view deep learning-based assessment of left ventricular ejection fraction in echocardiography

Jing Linyuan, Metser Gil, Mawson Thomas, Tat Emily, Jiang Nona, Duffy Eamon, Hahn Rebecca, Homma Shunichi, Haggerty Christopher, Poterucha Timothy, Elias Pierre, Long Aaron, Vanmaanen David, Rocha Daniel, Hartzel Dustin, Kelsey Christopher, Ruhl Jeffrey, Beecy Ashley, Elnabawi Youssef

More abstracts from these authors:
Predictors of Left Atrial Compliance and V-Wave Response in Transcatheter Mitral Valve Therapy

Zalaquett Ziad, Majeed-saidan Maryam Muhammad Ali, Besir Besir, Rajendran Judah, Hajj Joseph, Miyasaka Rhonda, Krishnaswamy Amar, Harb Serge, Kapadia Samir

Comparison of ChatGPT-4o and OpenEvidence for Clinical Decision Support in Transcatheter Tricuspid Valve Interventions

Hajj Joseph, Mdaihly Mohamad, Kassab Joseph, Miyasaka Rhonda, Harb Serge

You have to be authorized to contact abstract author. Please, Login
Not Available