Logo

American Heart Association

  74
  0


Final ID: MP163

Multi-Modality Imaging in Giant Cell Myocarditis

Abstract Body (Do not enter title and authors here): Background:
Giant cell myocarditis (GCM) is a rare autoimmune cardiomyopathy that leads to fulminant heart failure. Diagnosis remains challenging, with many patients presenting late in their disease course.
Case:
A previously healthy 48-year-old man presented to his clinic with a two-week history of palpitations after a camping trip without insect bites or illnesses. He denied significant medical conditions, or a personal or family history of syncope, heart disease, or sudden death.
Outpatient cardiac rhythm monitoring demonstrated multi-focal premature ventricular contraction (PVC) burden of 30% and a 1-minute episode of sustained monomorphic ventricular tachycardia (VT) at 200 bpm, prompting hospitalization.
Admission vitals were stable, and physical exam was negative for signs of heart failure. An initial ECG showed accelerated idioventricular rhythm with multiple QRS morphologies. Troponin, inflammatory markers, and chemistry panel were normal. Transthoracic echocardiogram showed ventricular ectopy with a left ventricular ejection fraction of 50%, without any other pathology.
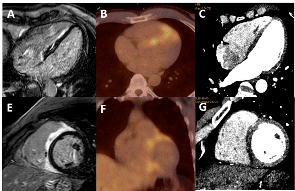
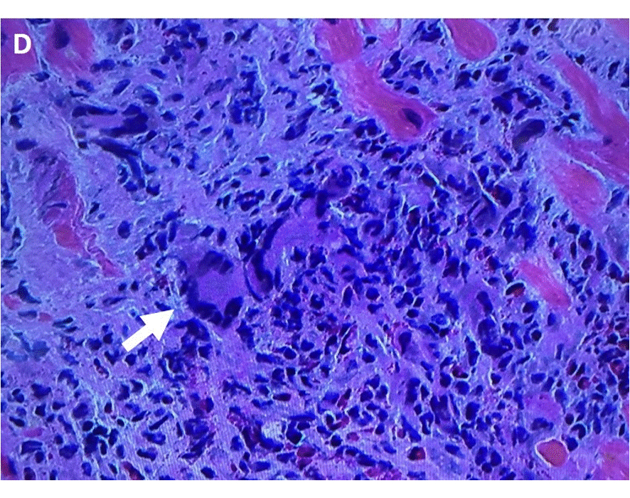
Cardiac MRI (cMRI) demonstrated late gadolinium enhancement (LGE) in the right ventricular aspect of the interventricular septum on T1 sequences not confined to a typical coronary territory. Positron emission tomography (PET) with fludeoxyglucose (18F-FDG) showed increased avidity in the same region without extracardiac uptake. A coronary computed tomography (CT) angiogram also showed decreased attenuation of the same region without CAD or coronary anomalies. Pathology from an endomyocardial biopsy showed dense lymphocytic and eosinophilic infiltrate with multinucleated giant cells without granulomas, consistent with GCM.
Sotalol was initiated to suppress ventricular ectopy while pathology was pending but was ineffective. The patient was switched to amiodarone. After diagnosis of GCM, the patient received prednisone and cyclosporine. A subcutaneous ICD was implanted prior to discharge.
Three months later, the patient was appropriately shocked for sustained VT. Repeat PET had unchanged FDG-avidity, for which mycophenolate was added. Six-month follow-up was negative for ventricular arrhythmias. Repeat PET demonstrated complete resolution of FDG-avidity.
Discussion:
GCM requires prompt diagnosis and treatment to prevent mortality and morbidity. While endomyocardial biopsy remains the gold standard for diagnosis, non-invasive imaging allows for earlier diagnosis and assessment of response.
  • Chiang, Joey  ( University of Washington , Seattle , Washington , United States )
  • Yadava, Mrinal  ( University of Washington , Seattle , Washington , United States )
  • Ferencik, Maros  ( OHSU , Lake Oswego , Oregon , United States )
  • Nazer, Babak  ( University of Washington , Seattle , Washington , United States )
  • Author Disclosures:
    Joey Chiang: DO NOT have relevant financial relationships | Mrinal Yadava: No Answer | Maros Ferencik: DO have relevant financial relationships ; Consultant:Elucid:Active (exists now) ; Individual Stocks/Stock Options:Elucid:Active (exists now) ; Consultant:Biomarin:Past (completed) ; Consultant:HeartFlow:Active (exists now) ; Consultant:Cleerly:Active (exists now) | Babak Nazer: DO NOT have relevant financial relationships
Meeting Info:

Scientific Sessions 2025

2025

New Orleans, Louisiana

Session Info:

Silent Signals: Detecting Risk Early Using Innovative Imaging and Biomarkers

Saturday, 11/08/2025 , 03:15PM - 04:25PM

Moderated Digital Poster Session

More abstracts on this topic:
A nationwide survey of the association between the incidence of fatal ventricular arrhythmias and meteorological conditions in Japan

Mihara Yutaka, Tanabe Yasuhiro, Nozue Tsuyoshi, Akashi Yoshihiro, Kawagoe Yasuhito, Takizawa Shiori, Doi Shunichi, Yoneyama Kihei, Yoshida Toshiya, Koga Masashi, Kaihara Toshiki, Ishibashi Yuki

Acute Cardiac Function Change After Catheter Ablation of Ventricular Arrhythmias in Patients with Arrhythmogenic Right Ventricular Cardiomyopathy

Davis Nathaniel, Asirvatham Samuel, Friedman Paul, Killu Ammar, Ezzeddine Fatima, Sugrue Alan, Siontis Konstantinos, Kapa Suraj, Kowlgi Gurukripa, Giudicessi John, Bois John, Chang Ian C

You have to be authorized to contact abstract author. Please, Login
Not Available