Logo

American Heart Association

  60
  0


Final ID: MP2531

Ghost Catheter Fibrin Sheath Presenting with Septic Pulmonary Emboli

Abstract Body (Do not enter title and authors here): Background
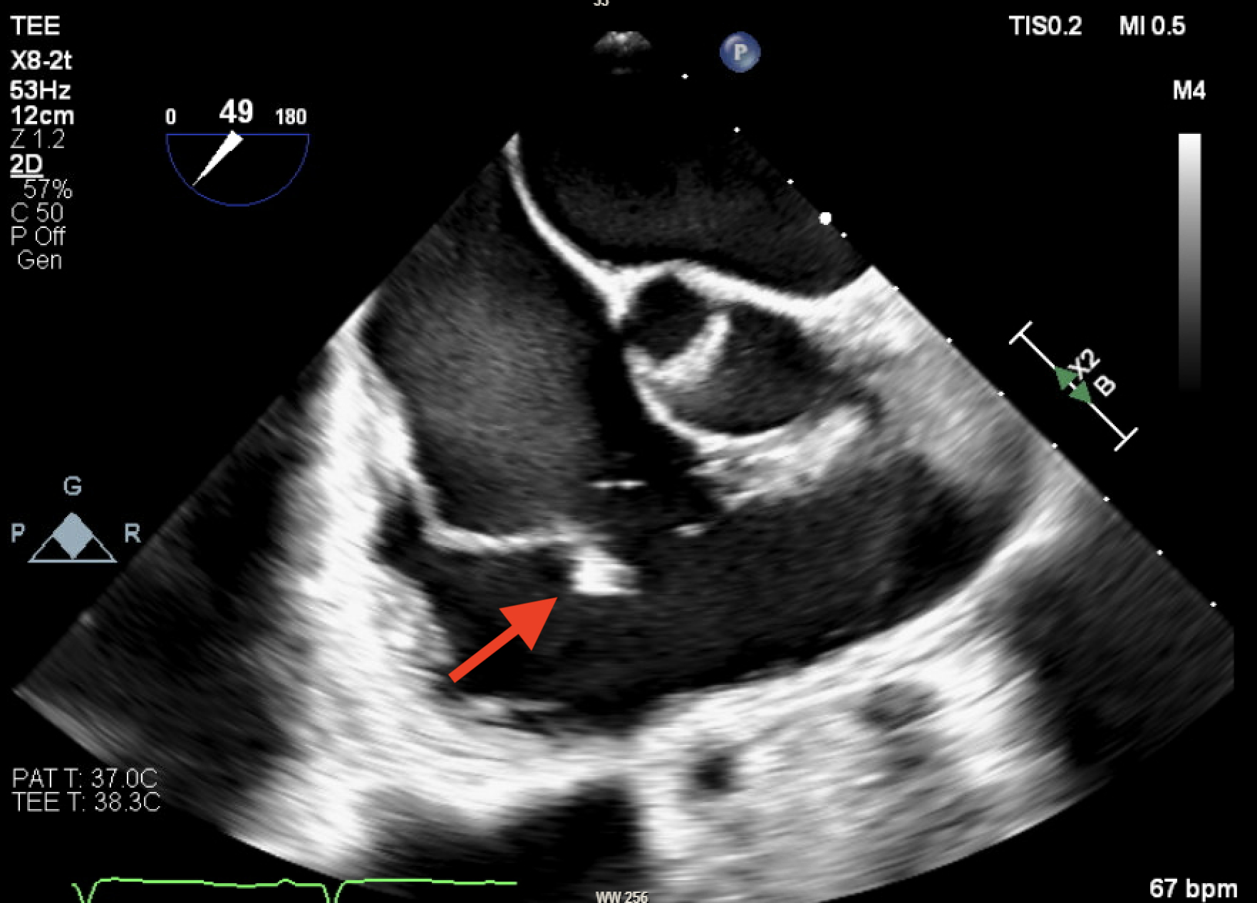
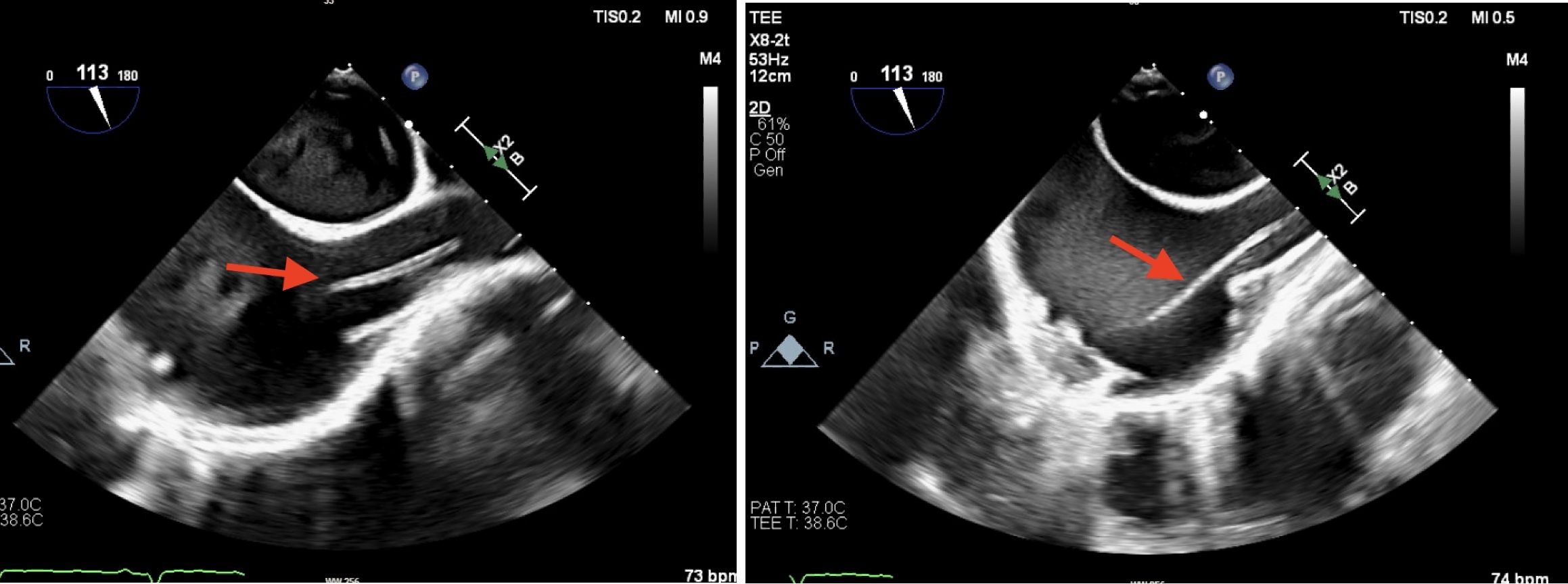
Ghost fibrin catheter sheath (GFCS) is a connective tissue sleeve that forms around a central venous catheter and may remain after removing it, mimicking its path. This residual sheath is usually benign but can rarely cause infection, thrombosis, or embolism. It’s typically detected incidentally on imaging like echocardiography or CT.

Case
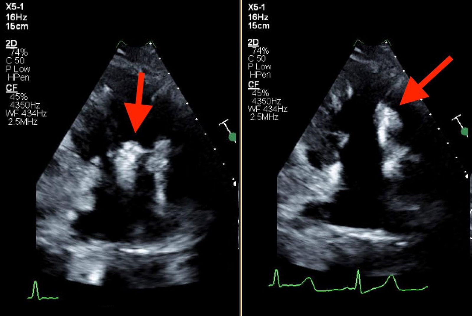
33-year-old female with a history of polysubstance IV drug abuse, hepatitis C infection, multiple hip surgeries with abscess drainage, tricuspid valve endocarditis with MRSA bacteremia, treated with IV Ceftaroline and daptomycin for 6 weeks via left PICC line, which was removed 2 weeks before her hospital presentation. The patient presented to the hospital with complaints of fever and generalized weakness, she was treated with broad-spectrum antibiotics, and investigations with TEE revealed mobile Tricuspid valve vegetation as well as a linear, highly mobile, tubular structure within the SVC extending into the right atrium, presenting a GFCS. CT chest also revealed multiple septic emboli, and blood cultures were positive for Serratia marcescens and ESBL Klebsiella pneumoniae. Patient was started on Anticoagulation with Eliquis and was evaluated by the Cardiothoracic surgery team for possible AngioVac, yet no good targets were found, and a decision was made to treat the patient medically without placing any further central lines. Unfortunately patient had signed out AMA after 1 week before completing her antibiotics course, yet she continued to take Eliquis outpatient. Patient returned to our Center 2 months later with similar complaints, TTE revealed large 3.8 * 2.35 cm highly mobile, irregularly shaped Tricuspid Valve mass that has significantly increased in size in comparison with prior imaging, and complete resolution of the previosly seen GFCS, Patient again left AMA refusing further treatments and investigations.

Discussion
Ghost fibrin catheter sheath (GFCS) is a rare condition that can sometimes be a harmless incidental finding. However, it may also pose a risk of thrombosis and embolization, particularly in the context of infective endocarditis. While definitive treatment guidelines are lacking, antibiotics and anticoagulation are commonly used. AngioVac has been used in some instances, but its clear benefits has not been established. Our case demonstrated complete resolution of the GFCS with anticoagulation despite not being compliant with antibiotics.
  • Al Shaikhli, Mustafa  ( Rutgers-Jersey City Medical Center , Jersey City , New Jersey , United States )
  • Allawi, Lubna  ( Rutgers-Jersey City Medical Center , Jersey City , New Jersey , United States )
  • Kalemoglu, Ecem  ( Rutgers-Jersey City Medical Center , Jersey City , New Jersey , United States )
  • Abuhaiba, Bilal  ( Rutgers-Jersey City Medical Center , Jersey City , New Jersey , United States )
  • Alkhatib, Ahmad  ( MedStar Health , Baltimore , Maryland , United States )
  • Jarrar, Yaman  ( Lehigh Valley Health Network , Allentown , Pennsylvania , United States )
  • Author Disclosures:
    Mustafa Al shaikhli: DO NOT have relevant financial relationships | Lubna Allawi: No Answer | Ecem Kalemoglu: DO NOT have relevant financial relationships | Bilal Abuhaiba: No Answer | Ahmad Alkhatib: DO NOT have relevant financial relationships | Yaman Jarrar: DO NOT have relevant financial relationships
Meeting Info:

Scientific Sessions 2025

2025

New Orleans, Louisiana

More abstracts on this topic:
18F-NaF and 18F-FDG and calcification predict the development of abdominal aortic aneurysms and is attenuated by drug therapy

Nakahara Takehiro, Miyazawa Raita, Iwabuchi Yu, Tonda Kai, Narula Nupoor, Strauss Harry, Narula Jagat, Jinzaki Masahiro

Genomic Profiling and Risk of Intracerebral Hemorrhage in Patients with Atrial Fibrillation on Apixaban

Clocchiatti-tuozzo Santiago, Gill Thomas, Falcone Guido, Rivier Cyprien, Huo Shufan, Gilmore Emily, Shoamanesh Ashkan, Kamel Hooman, Murthy Santosh, Ohno-machado Lucila, Sheth Kevin

More abstracts from these authors:
SGLT2 Inhibitors in LVAD Patients: A Multi-Center Propensity-Matched Cohort Analysis

Jarrar Yaman, Alkhatib Ahmad, Al Shaikhli Mustafa, Otabor Emmanuel, Alomari Laith, Eldawud Daoud

Use Of Glucagon Like Peptide 1 Receptor Agonists In Non Diabetic Patients With Dilated Cardiomyopathy

Jarrar Yaman, Alkhatib Ahmad, Al Shaikhli Mustafa, Otabor Emmanuel, Alomari Laith

You have to be authorized to contact abstract author. Please, Login
Not Available