Logo

American Heart Association

  50
  0


Final ID: MP683

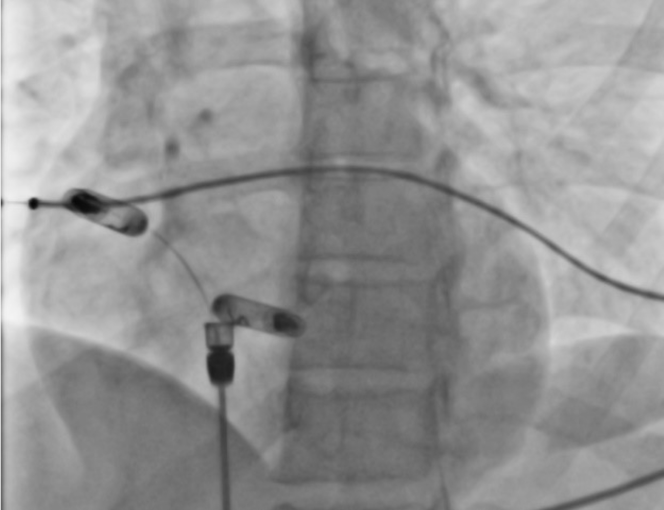
Unscrewing Sign: A Visual Indicator For Atrial Leadless Pacemaker Dislodgment

Abstract Body (Do not enter title and authors here): Background
The AVEIR DR i2i Study demonstrated safety of atrial leadless pacemakers with a dislodgment rate of only 1.7%. Data on factors influencing dislodgments however remains limited. Known contributors include suboptimal electrical mapping parameters, absence of current of injury during implantation, and excessive device manipulation during positioning. We present two cases of atrial leadless pacemaker dislodgment occurring in the absence of these established risk factors, each exhibiting a distinctive post-implantation imaging finding consistent with progressive 'unscrewing' of the pacemaker, visually characterized by anticlockwise movement of the Chevron. This radiographic pattern may serve as an early indicator for impending device dislodgment.

Case Presentation
Case 1: 41-year-old female with symptomatic bradycardia, syncope and complete heart block underwent a dual chamber leadless pacemaker implantation. Electrical Mapping and current of injury was excellent. The device was implanted per protocol with one and half clockwise rotation. On postoperative day one, atrial loss of capture was noted. Chest X ray showed exaggerated device motion and revision was recommended. The pacemaker was removed using snaring and a new atrial leadless pacemaker was implanted. Upon reviewing the images from the first procedure, it was noticed that the chevron marker had rotated back (anticlockwise) around its axis leading to 'unscrewing' of the device.

Case 2: 84-year-old male with a history of atrial flutter ablation, type 2 Diabetes, and hypothyroidism presented with symptomatic bradycardia and sinus pauses. Patient underwent atrial leadless pacemaker implantation. Electrical Mapping and current of injury was excellent. Next morning, atrial loss of capture was noted. An abdominal x-ray revealed that the device had dislodged into the pelvis. Interventional radiology was consulted who retrieved the device via snare. Upon reviewing the images, we noted that post-implantation, the chevron sign had rotated anticlockwise half a rotation.

Discussion/Conclusion
Our cases did not have any of the known risk factors for dislodgment. The anticlockwise movement of the chevron sign may serve as an early indicator of dislodgment. Particular attention should be paid to the movement of the chevron post-procedure. Other associations such as hypertrophic myocardium, genetics, and valvular and rhythm abnormalities could play a role in unscrewing the pacemaker and need to be closely studied.
  • Abidi, Syed Hasan Raza  ( MedStar Washington Hospital Center , Washington , District of Columbia , United States )
  • Basyal, Binaya  ( Medstar Washington Hospital Center , Washington , District of Columbia , United States )
  • Alexander, Nebu  ( MedStar Washington Hospital Center , Washington , District of Columbia , United States )
  • Szoch, Benjamin  ( Abbott , Sylmar , California , United States )
  • Hadadi, Cyrus  ( MedStar Washington Hospital Center , Washington , District of Columbia , United States )
  • Author Disclosures:
    Syed Hasan Raza Abidi: DO NOT have relevant financial relationships | Binaya Basyal: DO NOT have relevant financial relationships | Nebu Alexander: DO NOT have relevant financial relationships | Benjamin Szoch: DO have relevant financial relationships ; Employee:Abbott:Active (exists now) | Cyrus Hadadi: DO have relevant financial relationships ; Consultant:Abbott:Active (exists now)
Meeting Info:

Scientific Sessions 2025

2025

New Orleans, Louisiana

Session Info:

Novel Innovations and Techniques for Leadless Pacing

Saturday, 11/08/2025 , 01:45PM - 02:55PM

Moderated Digital Poster Session

More abstracts on this topic:
Advanced Mapping Techniques for Atrioventricular Nodal Reentrant Tachycardia in Pediatric Patients: Do They Make a Difference?

Uniat Jonathan, Hill Allison, Shwayder Mark, Silka Michael, Bar-cohen Yaniv

A large-scale multi-view deep learning-based assessment of left ventricular ejection fraction in echocardiography

Jing Linyuan, Metser Gil, Mawson Thomas, Tat Emily, Jiang Nona, Duffy Eamon, Hahn Rebecca, Homma Shunichi, Haggerty Christopher, Poterucha Timothy, Elias Pierre, Long Aaron, Vanmaanen David, Rocha Daniel, Hartzel Dustin, Kelsey Christopher, Ruhl Jeffrey, Beecy Ashley, Elnabawi Youssef

More abstracts from these authors:
Looking ahead: should extraction potential be a consideration?

Hadadi Cyrus, Nair Devi

Leadless Pacemaker vs. Transvenous Pacemaker in End Stage Kidney Disease: Insights from the Nationwide Readmission Database

Shtembari Jurgen, Katz Daniel, Kansakar Sajog, Naeem Azka, Moskovits Norbert, Shrestha Dhan, Biswas Monodeep, Basyal Binaya, Shantha Ghanshyam, Storey James

You have to be authorized to contact abstract author. Please, Login
Not Available