Logo

American Heart Association

  66
  0


Final ID: MP1756

Concurrent Quadruple Valve Replacement and Patent Foramen Ovale Closure for Carcinoid Heart Disease

Abstract Body (Do not enter title and authors here): Introduction:
Carcinoid cancer is a rare neuroendocrine tumor (NET) secreting vasoactive substances.
Case Presentation:
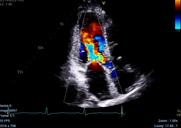
A 66-year-old woman presented to cardiology clinic for evaluation of dyspnea with exertion and leg swelling. Comorbidities included chronic kidney disease and a history of jejunal neuroendocrine tumor (NET) with prior resection and recent recurrence complicated by peritoneal carcinomatosis. A transthoracic echocardiogram was obtained at time of recurrence (1 year prior to presentation) and showed mild mitral regurgitation (MR), mild bi-atrial enlargement, moderate tricuspid regurgitation (TR), and mild aortic regurgitation (AR) with preserved ejection fraction.

In clinic, physical exam showed jugular venous distention with prominent V waves and a systolic and diastolic murmur. Transthoracic echocardiogram (TTE) demonstrated severe TR, moderate to severe AR, moderate MR, severe pulmonary valve regurgitation, and a right to left shunt with enlarged right ventricle and reduced function.

Patient was diagnosed with left and right carcinoid heart disease involving all 4 cardiac valves in the setting of a patent foramen ovale (PFO). After multidisciplinary discussion, surgical intervention was recommended. She underwent successful cardiopulmonary bypass with mitral valve replacement, aortic valve, pulmonary valve replacement, and tricuspid valve replacement in addition to closure of PFO. She did well postoperatively and was stable for dismissal from the hospital after 12 days.
Discussion:
Rarely, carcinoid heart disease can involve the left side of the heart. Left sided involvement is typically seen in the presence of a right to left side cardiac shunt. In patients with severe valve dysfunction secondary to carcinoid heart syndrome, surgical intervention is the definitive treatment and has been found to improve quality of life and prolong survival
  • Schmitz, Katlin  ( Mayo Clinic , Rochester , Minnesota , United States )
  • Elhadi, Mohammed  ( Mayo Clinic , Rochester , Minnesota , United States )
  • Author Disclosures:
    Katlin Schmitz: DO NOT have relevant financial relationships | mohammed elhadi: No Answer
Meeting Info:

Scientific Sessions 2025

2025

New Orleans, Louisiana

Session Info:

Clinical Challenges in Pulmonary Hypertension

Sunday, 11/09/2025 , 11:50AM - 01:00PM

Moderated Digital Poster Session

More abstracts on this topic:
A refined definition for low-risk pulmonary arterial hypertension patients including mortality and morbidity

Fauvel Charles, Liu Yongqi, Correa-jaque Priscilla, Everett Allen, Kanwar Manreet, Vanderpool Rebecca, Sahay Sandeep, Lin Shili, Benza Raymond

Hyperoxia During Cardiopulmonary Bypass in Neonatal Congenital Heart Surgery is Associated with Worse Clinical Outcomes: A Multi-Institutional Study

Beshish Asaad, Buckley Jason, Chlebowski Meghan, Flores Saul, Goldshtrom Nimrod, Migally Karl, Mills Kimberly, Radman Monique, Reddy Chetana, Shutes Brittany, Riley Christine, Kwiatkowski David, Suguna Narasimhulu Sukumar, Mueller Dana, Amula Venugopal, Venkitachalam Raji, Joy Brian, Karki Karan, Leopold Scott, Schramm Jennifer, Capone Christine, Aydin Scott, Sznycer-taub Nathaniel, Bakar Adnan, Leong Kieran, Kulikowska Agnieszka, Mastropietro Christopher, Costello John, Jergel Andrew, Gillespie Scott, Cashen Katherine, Asfari Ahmed, Batsis Maria

More abstracts from these authors:
You have to be authorized to contact abstract author. Please, Login
Not Available