Logo

American Heart Association

  181
  0


Final ID: Su4168

Catastrophic Bioprosthetic Aortic Valve Thrombosis: An Unappreciated Complication of Veno-Arterial Extracorporeal Membrane Oxygenation Support in Cardiogenic Shock

Abstract Body (Do not enter title and authors here): Description of Case
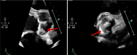
A 56-year-old male with a history of cardiac sarcoidosis with biventricular systolic heart failure (HF) and a bioprosthetic aortic valve presented with acute decompensated HF. Progressive cardiogenic shock and hemodynamic instability ensued, requiring urgent bedside placement of an intra-aortic balloon pump (IABP) which provided only marginal hemodynamic support. After extensive multidisciplinary discussion, emergent cannulation for veno-arterial ECMO (VA-ECMO) was performed at the bedside as a bridge-to-decision for advanced HF therapies. The IABP was left in place for LV venting. Within 72 hours, extensive bilateral pulmonary opacities had developed. It was later realized that true LV ejection (as evidenced by aortic pulsatility on the arterial line) was not present and had been masked by pseudo-pulsatility provided by IABP inflations and deflations. Compared to an echocardiogram done 7 days prior to VA-ECMO cannulation, the bioprosthetic leaflets were no longer opening, thrombosis of the AV had occurred, and thrombus formation along the ECMO venous drainage cannula was noted. Failure to achieve LV venting culminated in complete thrombosis of the entire LV and LA and the patient ultimately expired.

Discussion
Bioprosthetic valve thrombosis is a lesser-known complication of VA-ECMO support, with most reports involving bioprosthetic valves in the mitral position. Indeed, bioprosthetic valve thrombosis occurs at a higher rate than native valve thrombosis during VA-ECMO support. However, bioprosthetic AV thrombosis is an extremely rare complication of VA-ECMO support and arguably results in a more catastrophic scenario as most traditional approaches to LV unloading are contraindicated. The optimal LV unloading strategy for these patients (IABP, Impella, surgical apical unloading, etc) is unknown. Data from large retrospective analyses have demonstrated extremely poor outcomes when prosthetic valve thrombosis occurs, and it is thus critical to prevent this complication from developing. In contrast to IABP counter-pulsation, the benefit of upfront transvalvular LV venting with an Impella device safeguards the presence of a direct LV vent in the event of bioprosthetic AV thrombosis and eliminates the false reassurance of IABP pseudo-pulsatility. Further studies are needed to better elucidate the optimal LV unloading strategy in patients with bioprosthetic valves, particularly in the aortic position.
  • O'hara, Patrick  ( UT Southwestern Medical Center , Dallas , Texas , United States )
  • Heid, Christopher  ( UT Southwestern Medical Center , Dallas , Texas , United States )
  • Lahsaei, Peiman  ( UT Southwestern Medical Center , Dallas , Texas , United States )
  • Farr, Maryjane  ( UT Southwestern Medical Center , Dallas , Texas , United States )
  • Garg, Sonia  ( UT Southwestern Medical Center , Dallas , Texas , United States )
  • Araj, Faris  ( UT Southwestern Medical Center , Dallas , Texas , United States )
  • Truby, Lauren  ( UT Southwestern Medical Center , Dallas , Texas , United States )
  • Goral, Montana  ( UT Southwestern Medical Center , Dallas , Texas , United States )
  • Kim, Han  ( UT Southwestern Medical Center , Dallas , Texas , United States )
  • Malensek, Paris  ( UT Southwestern Medical Center , Dallas , Texas , United States )
  • Beaini, Hadi  ( UT Southwestern Medical Center , Dallas , Texas , United States )
  • Patel, Ravi  ( Methodist Health System Dallas , Richardson , Texas , United States )
  • Jawaid, Anas  ( UT Southwestern Medical Center , Dallas , Texas , United States )
  • Hussain, Fizza  ( UT Southwestern Medical Center , Dallas , Texas , United States )
  • Author Disclosures:
    Patrick O'Hara: DO NOT have relevant financial relationships | Christopher Heid: No Answer | Peiman Lahsaei: No Answer | Maryjane Farr: DO have relevant financial relationships ; Consultant:TransMedics:Active (exists now) ; Consultant:Natera:Active (exists now) | Sonia Garg: No Answer | Faris Araj: DO NOT have relevant financial relationships | Lauren Truby: No Answer | Montana Goral: DO NOT have relevant financial relationships | Han Kim: No Answer | Paris Malensek: DO NOT have relevant financial relationships | Hadi Beaini: DO NOT have relevant financial relationships | Ravi Patel: DO NOT have relevant financial relationships | Anas Jawaid: DO NOT have relevant financial relationships | Fizza Hussain: No Answer
Meeting Info:

Scientific Sessions 2024

2024

Chicago, Illinois

Session Info:

Critical Care Cardiology Medley

Sunday, 11/17/2024 , 03:15PM - 04:15PM

Abstract Poster Session

More abstracts on this topic:
Cell-free DNA Analysis Profiles End-Organ Injury and Predicts Outcomes with Left Ventricular Assist Device Implantation

Park Ashley, Rodrigo Maria, Shah Keyur, Valantine Hannah, Shah Palak, Agbor-enoh Sean, Andargie Temesgen, Hill Tom, Redekar Neelam, Tian Xin, Park Woojin, Kong Hyesik, Cavagna Isabella, Jang Moon

Adverse Events and Outcomes Among Patients with Temporary Mechanical Circulatory Support Devices Placed at Referring Versus Hub Cardiogenic Shock Centers

Patel Zachary, Silkowski Molly, Dodson Kaylen, Bull Lindsey, Gregoski Mathew, Tedford Ryan, Mcmurray Jeffrey, Witer Lucas, Kilic Arman, Houston Brian, Carnicelli Anthony, Ospina Meg, Mittelstaedt Roxanne, Peller Jacob, Samani Stephanie, Marchell Charlotte, Ohlrich Kelly, Gunn Brady, Varrone Michael

More abstracts from these authors:
High Output Heart Failure After Leadless Pacemaker Placement In a Heart Transplant Recipient

Kim Han Wool, Araj Faris, Malensek Paris, Morlend Robert, Beaini Hadi, Patel Ravi, O'hara Patrick, Goral Montana, Hussain Fizza, Farr Maryjane

Demonstrating Pulmonary Hypertension Reversibility Before Heart Transplantation: A Novel Bedside Technique Using Postural Change

Patel Ravi, Araj Faris, Goral Montana, Hardin Elizabeth, Kim Han Wool, Malensek Paris, Beaini Hadi, O'hara Patrick, Jawaid Anas, Hussain Fizza

You have to be authorized to contact abstract author. Please, Login
Not Available