Logo

American Heart Association

  30
  0


Final ID: MP1052

Isolated Right-Sided Heart Failure as the First Manifestation of a Pelvic Neuroendocrine Tumor: A Rare Case of Carcinoid Heart Disease in a female with no prior diagnosis of carcinoid syndrome

Abstract Body (Do not enter title and authors here): Introduction
Carcinoid heart disease (CHD), a rare cardiac manifestation of neuroendocrine tumors (NETs), predominantly affects right-sided valves due to fibrotic plaque deposition from serotonin and other vasoactive substances. We describe a rare case of CHD in an elderly female.

Description of Case
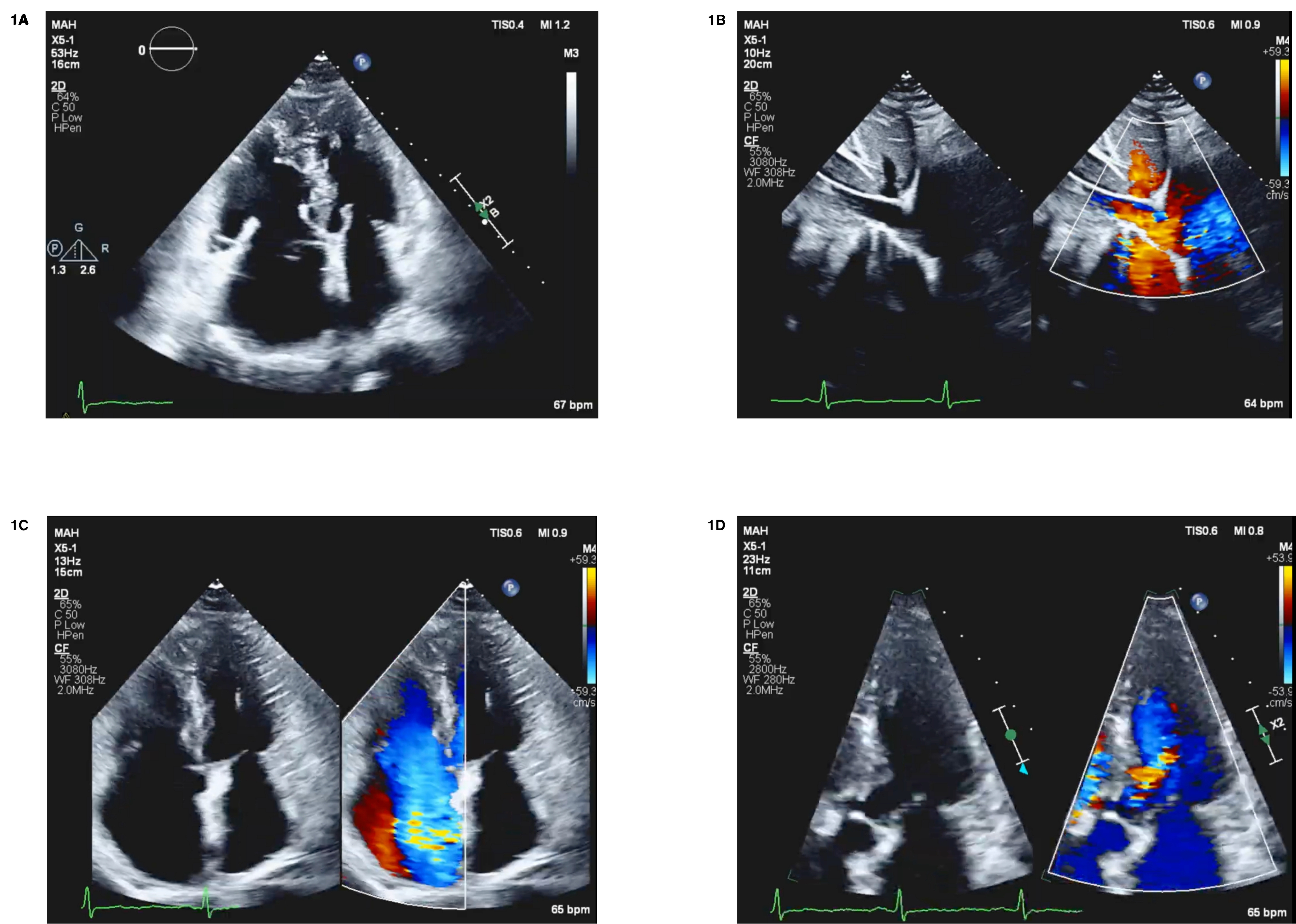
A 69-year-old female with worsening periorbital and bilateral leg edema was referred for cardiology evaluation. She also reported exertional dyspnea and orthopnea. She denied weight loss, abdominal pain, or diarrhea. Physical exam revealed a flushed appearance with a left sternal border holosystolic murmur. A transesophageal echocardiogram (TEE) showed LV ejection fraction 60%, asymmetric LV hypertrophy, severe tricuspid regurgitation (TR) with thickened and immobile leaflets, flow reversal in the IVC and hepatic veins, thickened pulmonic valve with moderate pulmonic insufficiency and a dagger-shaped Doppler profile, and moderate aortic regurgitation (Fig 1).


Given the flushing and TEE findings, CHD was suspected. A 24-hour urine 5-HIAA was markedly elevated at 81 mg, confirming carcinoid syndrome. Right heart catheterization revealed elevated RH pressures, torrential TR, and normal cardiac index. PET-CT showed a large pelvic mass arising from the left ovary with Ga-68 DOTATATE uptake in mediastinal and hilar nodes, consistent with metastatic disease (Fig 2). Pelvic MRI confirmed the ovarian mass concerning for NET (Fig 3). She was started on octreotide LAR 20 mg every 4 weeks by Medical Oncology, evaluated by cardiothoracic surgery, and underwent surgical replacement of the aortic, tricuspid, and pulmonic valves. Her postoperative course was complicated by pneumomediastinum and upper GI bleeding due to a Mallory-Weiss tear.

Discussion
CHD is a serious manifestation of carcinoid syndrome, caused by serotonin-induced fibrous plaque deposition on tricuspid and pulmonic valves, leading to immobile leaflets and severe regurgitation. Primary ovarian NETs causing CHD are exceedingly rare, with only isolated case reports. Clinicians should suspect CHD in patients with right-sided heart failure, flushing, or characteristic echocardiographic findings—such as thickened valves and hepatic vein flow reversal—and confirm with elevated 5-HIAA levels.
  • Lathief, Sanam  ( HMFP/ Mount Auburn Hospital , Cambridge , Massachusetts , United States )
  • Banga, Akshat  ( Mount Auburn Hospital , Cambridge , Massachusetts , United States )
  • Saeed, Muhammad Subhan  ( Mount Auburn Hospital , Cambridge , Massachusetts , United States )
  • Campbell, Robert  ( Mount Auburn Hospital , Cambridge , Massachusetts , United States )
  • Yalamarti, Bhargavi  ( Mount Auburn Hospital , Cambridge , Massachusetts , United States )
  • Nagireddi, Rama Priyanka  ( HMFP/ Mount Auburn Hospital , Cambridge , Massachusetts , United States )
  • Author Disclosures:
    Sanam Lathief: DO NOT have relevant financial relationships | Akshat Banga: DO NOT have relevant financial relationships | Muhammad Subhan Saeed: DO NOT have relevant financial relationships | robert campbell: No Answer | Bhargavi Yalamarti: No Answer | Rama Priyanka Nagireddi: No Answer
Meeting Info:

Scientific Sessions 2025

2025

New Orleans, Louisiana

Session Info:

Heart Failure Potpourri: From Horses to Zebras

Saturday, 11/08/2025 , 12:15PM - 01:15PM

Moderated Digital Poster Session

More abstracts on this topic:
AI-Generated Semiautomated Echocardiographic-Derived Measurements Show Strong Agreement with CT for Tricuspid Annular Sizing

Hajj Joseph, Keen Susan, Harb Serge, Miyasaka Rhonda

Evolution of Tricuspid Regurgitation and Clinical Outcomes in Patients with Heart Failure with Preserved Ejection Fraction: Insights from the PURSUIT-HFpEF Registry

Okada Masato, Nakatani Daisaku, Sotomi Yohei, Sakata Yasushi, Tanaka Nobuaki, Iwakura Katsuomi, Seo Masahiro, Hayashi Takaharu, Yano Masamichi, Yamada Takahisa, Yoshio Yasumura, Hikoso Shungo

More abstracts from these authors:
Revisiting the Diabetes Paradox in Aortic Dissection: A Multivariate Analysis from NIS 2022

Janga Lakshmi Sai Niharika, Banga Akshat, Saeed Muhammad Subhan, Ying Xiaonan, Nadimpalli Preethi Meher

Racial, Gender, and Comorbidity Predictors of Cardiovascular Mortality in Class III Obesity: Insights from the National Inpatient Sample

Caputi Zuniga Angelo, Saeed Muhammad Subhan, Quevedo Ramirez Andres, Mautong Hans, Banga Akshat, Philip Anil, Erhus Efe, Saha Shubhashis, Briones-zamora Killen H., Briones-claudett Killen H., Arias Ximena

You have to be authorized to contact abstract author. Please, Login
Not Available