Logo

American Heart Association

  85
  0


Final ID: MP1944

Recurrent Purulent Pericardial Effusion and Cardiogenic Shock from Hypervirulent Klebsiella pneumoniae: A Case of Hepatopericardial Fistula

Abstract Body (Do not enter title and authors here): Case Presentation:
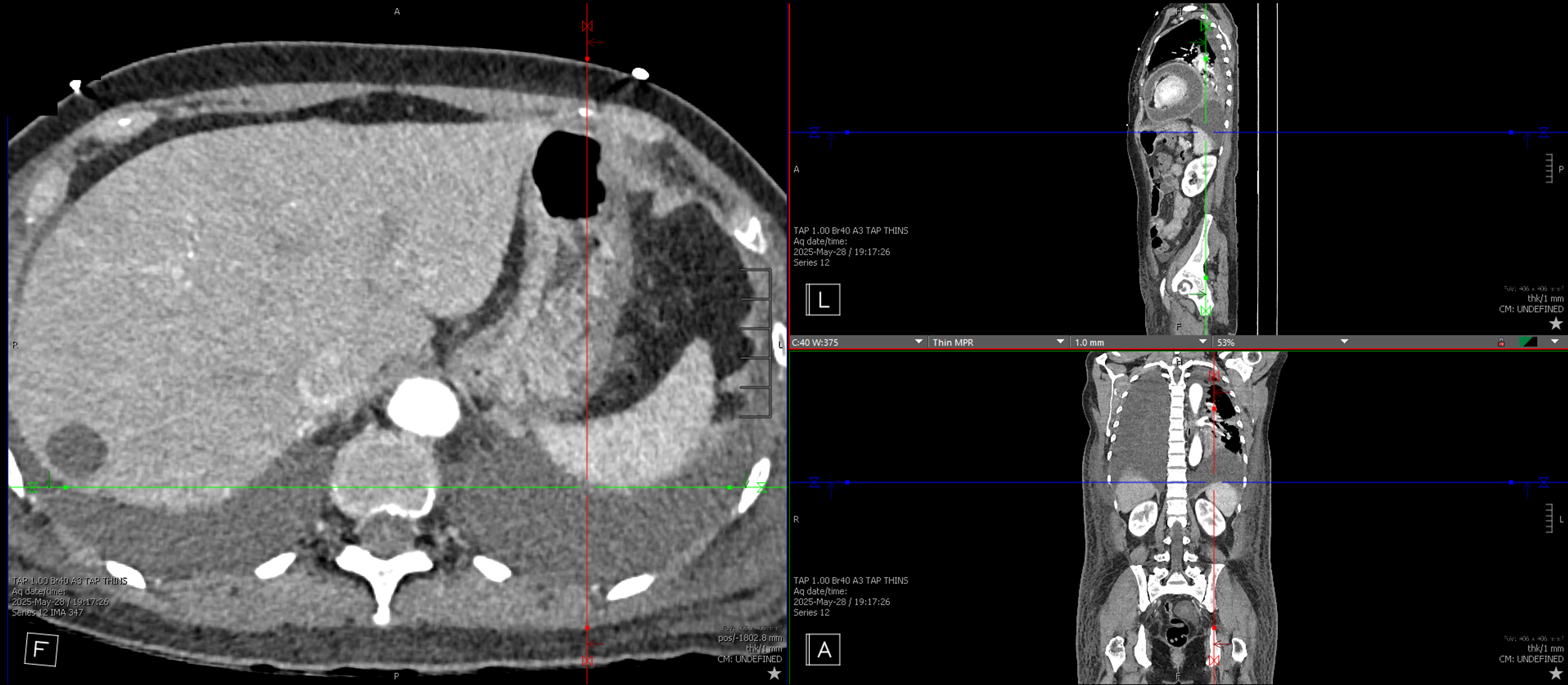
A 55-year-old previously healthy woman presented to hospital with abdominal pain, fever, and dyspnea. She was hypotensive (SBP 70mmHg), acidotic (lactate >16 mmol/L), and leukocytotic (WBC 26.3 × 109/L). Imaging revealed a large pericardial effusion with tamponade physiology and a 6×7×3.5 cm hepatic abscess. Pericardiocentesis yielded 600 mL of purulent fluid, and hepatic abscess drainage followed. Cultures from both sites grew Hypervirulent Klebsiella pneumoniae (hvKp). Despite initial improvement, she experienced recurrent fevers and dyspnea, prompting transfer to our facility. Repeat CT imaging demonstrated rapid re-accumulation of a loculated pericardial effusion with echocardiography suggesting effusive-constrictive physiology. Ultimately patient required a pericardial window. Exploration of the pericardial space demonstrated a connection along the inferior aspect of the pericardium traversing the diaphragm and into the peritoneum at which site the liver was noted to be attached. The liver was bluntly resected off the diaphragm and a large communication between the two cavities was identified. A piece of omentum was placed between the liver and the diaphragm which acted as an omental patch. She made a full recovery thereafter.
Discussion
This case highlights a rare and life-threatening complication of hvKp: direct pericardial seeding from a hepatic abscess via a hepatopericardial fistula. While hvKp is known for its capacity to cause invasive infections with metastatic spread, this case is notable for transdiaphragmatic extension in an immunocompetent patient, an exceptionally uncommon route of dissemination.

The patient's clinical course illustrates the limitations of percutaneous management in the setting of loculated or anatomically complex infections, the importance of surgical management once the aforementioned fails, in this case, with the placement of an omental patch.

In addition to its rarity, this case underscores several key clinical lessons. First, clinicians should maintain a high index of suspicion for occult anatomical connections in patients with infections spanning thoracic and abdominal cavities. Second, pericardial infections should not be treated as isolated processes when there is evidence of intra-abdominal or systemic infection. Lastly, collaborative, multidisciplinary care was instrumental in identifying the true source of ongoing sepsis and guiding the patient toward recovery.
  • El Khoury, Marc  ( MedStar Washington Hospital Center , Washington , District of Columbia , United States )
  • Al Zureikat, Qusai  ( MedStar Washington Hospital Center , Washington , District of Columbia , United States )
  • Shaban, Liza  ( MedStar Washington Hospital Center , Washington , District of Columbia , United States )
  • Husain, Mohammad  ( MedStar Washington Hospital Center , Washington , District of Columbia , United States )
  • Mcelderry, Brenna  ( MedStar Washington Hospital Center , Washington , District of Columbia , United States )
  • Nieves, Ricardo  ( MedStar Washington Hospital Center , Washington , District of Columbia , United States )
  • Author Disclosures:
    Marc El Khoury: DO NOT have relevant financial relationships | Qusai Al Zureikat: DO NOT have relevant financial relationships | Liza Shaban: DO NOT have relevant financial relationships | Mohammad Husain: DO NOT have relevant financial relationships | Brenna McElderry: No Answer | Ricardo Nieves: No Answer
Meeting Info:

Scientific Sessions 2025

2025

New Orleans, Louisiana

Session Info:

Layers of Complexity: Managing Pericardial Infection, Hemorrhage and Inflammation

Monday, 11/10/2025 , 10:45AM - 11:55AM

Moderated Digital Poster Session

More abstracts on this topic:
A Deep Learning Digital Biomarker for Mitral Valve Prolapse using Echocardiogram Videos

Al-alusi Mostafa, Khurshid Shaan, Sanborn Danita, Picard Michael, Ho Jennifer, Maddah Mahnaz, Ellinor Patrick, Lau Emily, Small Aeron, Reeder Christopher, Shnitzer Dery Tal, Andrews Carl, Kany Shinwan, Ramo Joel, Haimovich Julian

A Case Series of Papillary Fibroelastomas on the Coumadin ridge

Aboukhatwa Omar, Akiki Elias, Kurmann Reto, Larson Kathryn, Keeney Michael, Bois Melanie, Klarich Kyle

More abstracts from these authors:
You have to be authorized to contact abstract author. Please, Login
Not Available