Logo

American Heart Association

  52
  0


Final ID: Su1010

A Case Report of Cardiac Tamponade due to Mycoplasma Pneumoniae-induced Pericarditis - A Rare Complication of a Commonly seen Bacterial Infection

Abstract Body (Do not enter title and authors here): Case Description:
A 69-year-old female with rheumatoid arthritis (RA) on methotrexate, rituximab, and prednisone presented with pleuritic chest pain, fever and cough. Vitals were stable. EKG showed diffuse ST elevation with PR depression, suggestive of pericarditis. TTE showed no pericardial effusion. She was discharged on colchicine.
She returned 6 days later with worsening chest pain, dyspnea, and orthopnea. Vitals: BP 96/63 mm Hg, pulse 88 bpm. Exam revealed increased work of breathing, muffled heart sounds, no murmurs, no JVD. EKG showed low-voltage QRS with electrical alternans. CXR revealed bilateral opacities and cardiomegaly. CRP was 18.6 mg/dL, ESR 44 mm/hr, and Mycoplasma IgM was positive.
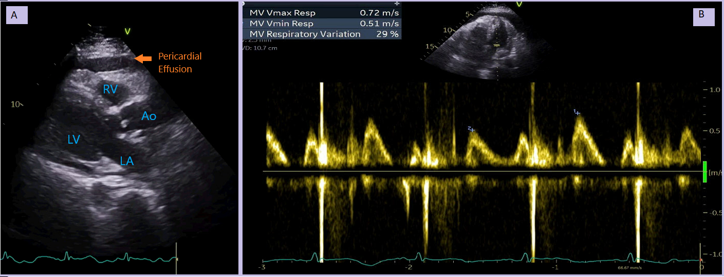
Repeat TTE showed a moderate pericardial effusion (2 cm) near the RV free wall. There was no RV diastolic collapse, but >25% MV E-wave respiratory variation was seen.
Cardiology was consulted and she underwent ultrasound-guided pericardiocentesis, draining 450 cc serosanguinous fluid. Fluid analysis showed exudative effusion (WBC 24,194, protein 5.5 g/dL, LDH 1,642). Rheumatology was consulted who suspected immunosuppression-related M. pneumoniae pericarditis. Immunosuppressants were held. She was treated with doxycycline, colchicine, and ibuprofen. With normal follow-up TTEs, pericardial drain was removed. She was discharged in stable condition after 7 days.

Discussion:
This case demonstrates a cardiac tamponade due to rapid accumulation of moderate pericardial fluid from immunosuppresion-induced Mycoplasma pneumoniae pericarditis. Tamponade may occur with moderate effusions with rapid accumulation or in low-pressure like diuretic-use or dry tamponade post-procedure.
Pericardial effusion aetiologies include idiopathic, malignancy, infection, uremia, connective tissue disease, surgery. Viral pericarditis is most common infection, often due to Coxsackievirus or Influenza. Bacterial causes like S. pneumoniae or S. aureus may lead to purulent effusion. M. pneumoniae typically mimics viral pericarditis and may be overlooked. Without Mycoplasma IgM testing, diagnosis and treatment may be delayed.
ESC’s 2014 guidance for triaging cardiac tamponade patients recommends urgent pericardiocentesis for scores >6; our patient’s score was 11.5, supporting intervention.
This case emphasizes the importance of considering atypical pathogens like M. pneumoniae in immunocompromised hosts with pericarditis and using clinical scoring and imaging for timely intervention.
  • Patel, Vidhi  ( Jamaica Hospital Medical Center , Richmond Hill , New York , United States )
  • Maharjan, Reeju  ( Jamaica Hospital Medical Center , Richmond Hill , New York , United States )
  • Okan, Tetyana  ( Jamaica Hospital Medical Center , Richmond Hill , New York , United States )
  • Singh, Bhupinder  ( Jamaica Hospital Medical Center , Richmond Hill , New York , United States )
  • Colasacco, Joseph  ( Jamaica Hospital Medical Center , Richmond Hill , New York , United States )
  • Author Disclosures:
    Vidhi Patel: DO NOT have relevant financial relationships | Reeju Maharjan: No Answer | Tetyana Okan: DO NOT have relevant financial relationships | Bhupinder Singh: No Answer | Joseph Colasacco: No Answer
Meeting Info:

Scientific Sessions 2025

2025

New Orleans, Louisiana

Session Info:

At the Edge: Cases and Research that Shape Cardiac Critical Care

Sunday, 11/09/2025 , 03:15PM - 04:15PM

Abstract Poster Board Session

More abstracts on this topic:
A Personal Risk Assessment Device in Patients with Chest Pain

Shvilkin Alexei, Zlatic Natasa, Atanasoski Vladimir, Grujovic Zdolsek Sanja, Popovic Maneski Lana, Miletic Marjan, Vukcevic Vladan

Association of Demographic and Clinical Factors with SARS-CoV-2 Anti-Nucleocapsid Antibody Response Among Previously Infected US Adults: The C4R Study

Demmer Ryan, Bell Taison, Anderson Michaela, Allen Norrina, Schreiner Pamela, Bowler Russell, Schwartz David, Lee Joyce, Xanthakis Vanessa, Rock Jean, Bievenue Rachel, Wu Chaoqi, Pirzada Amber, Doyle Margaret, Regan Elizabeth, Make Barry, Kanaya Alka, Kandula Namratha, Morganroth S, Coresh Joe, Isasi Carmen, Raffield Laura, Kim John, Elkind Mitchell, Howard Virginia, Ortega Victor, Woodruff Prescott, Cole Shelley, Henderson Joel, Mantis Nicholas, Oelsner Elizabeth, Sun Yifei, Balte Pallavi, Cushman Mary, Boyle Rebekah, Tracy Russell, Styer Linda

More abstracts from these authors:
Successful Treatment of Long-Term Hypertension Caused by Subclinical Primary Hyperaldosteronism

Okan Tetyana, Ahmed Tanzeel, Zaman Fariha Chowdhury, Doshi Kaushik, Russell Yan, Mandal Kaushik, Pinsker Richard

Comparative Diagnostic Accuracy of CT-Derived Fractional Flow Reserve and Dobutamine Stress Echocardiography in Stable Coronary Artery Disease: A Systematic Review

Irannejad Kyvan, Niknam Negar, Shehzad Zain, Patel Vidhi, Mafi Mana, Lasic Zoran

You have to be authorized to contact abstract author. Please, Login
Not Available