Logo

American Heart Association

  60
  0


Final ID: Sa3126

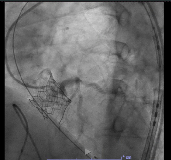
IVUS-Guided Management of Suspected Left Main Compromise During High-Risk TAVR

Abstract Body (Do not enter title and authors here): Background: Acute coronary obstruction (ACO) is a rare but potentially fatal complication of transcatheter aortic valve replacement (TAVR), particularly in patients with high-risk anatomy such as low coronary ostial height and narrow sinuses of Valsalva. Prophylactic coronary protection and real-time imaging are essential tools in safely managing these cases.
Case: A 62-year-old woman with severe aortic stenosis and multiple comorbidities—including prior stroke, COPD, and peripheral vascular disease—was referred for transfemoral TAVR. Preprocedural CT angiography demonstrated a systolic LM coronary height of 8.36 mm, placing her at high risk for ACO. A 23 mm Edwards SAPIEN 3 Resilia valve was successfully deployed under rapid ventricular pacing. Prophylactic left main protection was achieved by positioning a coronary guidewire via a 6 French guiding catheter from left femoral arterial access. After deployment, this coronary guidewire was jailed at the upper end of the sapient valve. Post-deployment angiography raised suspicion for left main compromise by the displaced left coronary cusp, visualized as a hazy filling defect.
Balloon angioplasty was performed using a 3.0 x 12 mm catheter, which resulted in partial improvement of angiographic appearance but did not fully resolve the haziness. IVUS catheter delivery initially failed but succeeded after introducing a second guidewire through the upper frame cell of the transcatheter valve. IVUS imaging revealed a preserved LM luminal area of >20 mm with no evidence of ostial narrowing or leaflet impingement. The jailed guidewire was safely removed without further intervention.
Decision-making: Despite equivocal angiography, IVUS provided definitive confirmation of LM patency and ruled out true obstruction. This guided the clinical decision to defer coronary stenting and pursue a conservative strategy. In contrast to cases requiring chimney stenting or BASILICA, this approach avoided permanent hardware and minimized procedural risk. This case illustrates the critical role of IVUS in clarifying ambiguous findings and enabling individualized management in anatomically high-risk TAVR.
Conclusion: Prophylactic LM protection, when paired with intravascular imaging, enables safe and tailored management of suspected ACO during TAVR. IVUS is essential in confirming patency and preventing unnecessary interventions in high-risk patients with ambiguous angiographic findings.
  • Seraj, Shaber  ( UMass Chan- Baystate Medical Center , Niskayuna , New York , United States )
  • Pant, Kailash  ( UMass Chan- Baystate Medical Center , Niskayuna , New York , United States )
  • Khawaja, Uneza  ( UMass Chan- Baystate Medical Center , Niskayuna , New York , United States )
  • Islam, Ashequl  ( UMass Chan- Baystate Medical Center , Niskayuna , New York , United States )
  • Author Disclosures:
    Shaber Seraj: DO NOT have relevant financial relationships | Kailash Pant: No Answer | Uneza Khawaja: No Answer | Ashequl Islam: No Answer
Meeting Info:

Scientific Sessions 2025

2025

New Orleans, Louisiana

Session Info:

Clinical Mechanisms and Models: Advancing Our Understanding of Valve Pathophysiology

Saturday, 11/08/2025 , 02:30PM - 03:30PM

Abstract Poster Board Session

More abstracts on this topic:
Atrialized” Minimally Invasive Transcatheter Mitral Valve-In-MAC Replacement to Prevent Outflow Tract Obstruction

Steafo Lark, Smielewski Mitchell, Madanat Luai, Bloomingdale Richard, Jabri Ahmad, Gallagher Michael, Birk Vishal, Abbas Amr, Young John, Suri Rakesh

Analysis of Cardiovascular Events in Cancer Survivors: A Comparative Study of Solid Tumors and Hematologic Malignancies at a Tertiary Cardiovascular Center

Amaro Palomo Eder Jonathan, Cortes Flores Claudia Galilea, Diaz Braiana, Araiza Diego, Arias-mendoza Alexandra, Martinez Rios Marco Antonio, Latapi Ruiz Esparza Ximena, Adib Gracia Anna Elisa, Garate Togo Javier, Sierra Lara Martinez Jorge Daniel, Hernandez-pastrana Sarai, Gonzalez Macedo Eder, Santiago Hernández Alberto, Neri Bale Raul Rodrigo

More abstracts from these authors:
The Efficacy and Safety of Cardiac Myosin Inhibitors Versus Placebo in Patients with Symptomatic Obstructive Hypertrophic Cardiomyopathy: A Meta-Analysis of Randomized Controlled Trials

Ezenna Chidubem, Joseph Meghna, Murali Krishna Mrinal, Nelson Favour, Alugba Gabriel, Jenil Franco Ancy, Ramesh Prasana, Khawaja Uneza, Goldsweig Andrew

Acute Kidney Injury Due to Hemolysis After Pulsed Field Ablation: A Case with Limited Lesion Burden

Seraj Shaber, Sawalha Khalid, Pundlik Shayal, Abdelazeem Mohamed, Khawaja Uneza, Chalhoub Fadi

You have to be authorized to contact abstract author. Please, Login
Not Available