Logo

American Heart Association

  72
  0


Final ID: MP317

Silent Infiltration: Asymptomatic Cardiac Metastasis from Primary Lung Adenocarcinoma

Abstract Body (Do not enter title and authors here):
Introduction:
Cardiac metastases are more common than primary cardiac tumors and typically indicate poor prognosis. Lung, breast, melanoma, and lymphoma are the most frequent primary sources. Lung cancer involves the heart in only 8–10% of cases, often asymptomatically. Among nonsmokers, non-small cell lung cancer (NSCLC) particularly adenocarcinoma is most common and usually spreads to the pleura due to its peripheral origin. Intracardiac metastases, especially to the myocardium, are rare. We report a case of incidental left ventricular myocardial metastasis discovered during evaluation for syncope.

Case Presentation:
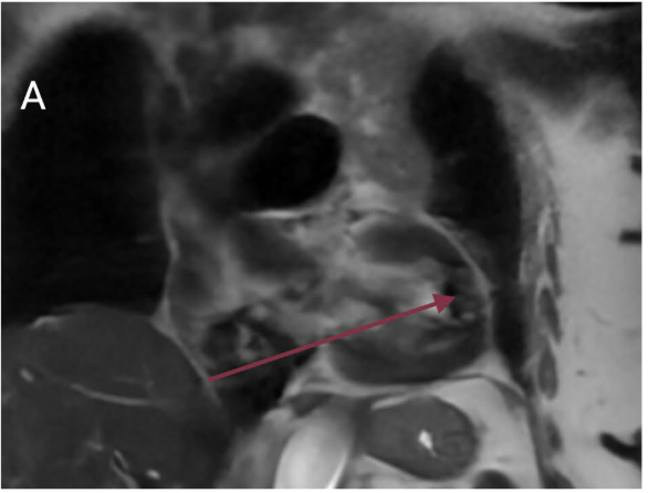
A 76-year-old woman with a significant smoking history presented with dizziness. Evaluation for syncope revealed normal orthostatic vitals and electrolytes. Electrocardiogram showed sinus bradycardia (heart rate 48 bpm) without QTc prolongation. Non-contrast CT of the head and CT angiography of the head and neck were unremarkable. Chest X-ray demonstrated left upper lobe atelectasis. Contrast-enhanced CT of the chest revealed bronchial obstruction in the left upper lobe and multiple pulmonary nodules in the right lung. Bronchoscopy identified a fungating mass obstructing the left upper lobe bronchus; biopsy confirmed adenocarcinoma. Transthoracic echocardiogram showed preserved left ventricular ejection fraction (60–65%), concentric hypertrophy, and grade I diastolic dysfunction. Cardiac MRI revealed a 3 cm mass along the basal anterior wall of the left ventricle with heterogeneous T2 signal intensity, consistent with myocardial metastasis. With a diagnosis of adenocarcinoma, the patient was advised to follow up as an outpatient for further oncologic management and advanced cardiac imaging.

Discussion:
This case highlights an incidental myocardial metastasis from lung adenocarcinoma in a patient presenting with bradycardia and dizziness, symptoms that may be related to cardiac involvement. While pericardial metastases are more common, myocardial infiltration is rare and often asymptomatic. Cardiac spread may occur via hematogenous, lymphatic, or transvenous routes and can present with arrhythmias, effusions, or hemodynamic compromise. Echocardiography is useful for initial evaluation, but cardiac MRI provides superior detail in assessing lesion characteristics and differentiating tumor from thrombus. Multimodal imaging plays a key role in identifying occult cardiac metastases that may impact clinical management.
  • Adusumilli, Devika  ( Medical City Fort Worth , Fort Worth , Texas , United States )
  • Lapsiwala, Boney  ( HCA Medical City Arlington , Denton , Texas , United States )
  • Sharma, Aditya  ( Medical City Fort Worth , Fort Worth , Texas , United States )
  • Moonnumackel, Sania  ( Medical City Fort Worth , Fort Worth , Texas , United States )
  • Malik, Amir  ( Medical City Fort Worth , Fort Worth , Texas , United States )
  • Author Disclosures:
    Devika Adusumilli: DO NOT have relevant financial relationships | BONEY LAPSIWALA: DO NOT have relevant financial relationships | Aditya Sharma: No Answer | Sania Moonnumackel: DO NOT have relevant financial relationships | Amir Malik: No Answer
Meeting Info:

Scientific Sessions 2025

2025

New Orleans, Louisiana

Session Info:

Cardiac Imaging in Cancer Therapy: Risk Prediction, Detection, and AI-Driven Insight

Saturday, 11/08/2025 , 12:15PM - 01:25PM

Moderated Digital Poster Session

More abstracts on this topic:
A Multicenter Friedreich Ataxia Registry Identifies Posterior Wall Thickness as a Predictor of Major Adverse Cardiac Events

Lin Kimberly, Johnson Jonathan, Mccormack Shana, Lynch David, Tate Barbara, Feng Yixuan, Huang Jing, Mercer-rosa Laura, Dedio Anna, Mcsweeney Kara, Fournier Anne, Yoon Grace, Payne Ronald, Cripe Linda, Patel Aarti, Niaz Talha

A Rare Association of Darier’s Disease and Dilated Cardiomyopathy: A Case Report Exploring the Cardiac Implications of ATP2A2 Mutation

Jacob Nidhi

More abstracts from these authors:
Joint Impact of Social Determinants of Health Burden and Coronary Artery Disease on All-Cause and Cardiovascular Mortality: 18-Year Follow-up From National Health And Nutrition Examination Survey 2000–2018

Nizam Muhammad, Kamel Omar, Goel Anika, Sharma Grishma, Adusumilli Devika, Gohar Najam, Ahmed Faizan, Shahid Izza

Impact of Early Cardiology Consultation on In-Hospital Outcomes in Heart Failure.

Lapsiwala Boney, Bhatty Darshan, Moonnumackel Sania, Sharma Aditya, Karthik Anand

You have to be authorized to contact abstract author. Please, Login
Not Available