Logo

American Heart Association

  26
  0


Final ID: MP1941

A Bleeding Heart: Chronic Pericarditis Manifesting as Recurrent Hemorrhagic Pericardial Effusion - Diagnostic Considerations with a PFO Closure Device and the Role of CT Imaging

Abstract Body (Do not enter title and authors here): Background: Hemorrhagic pericardial effusion, a rare manifestation of chronic pericarditis, poses life-threatening risks, necessitating thorough evaluation. Recurrent hemorrhagic effusions require assessing patient history, comorbidities, and complications, particularly with patent foramen ovale (PFO) closure devices. Cardiac computed tomography (CT) is critical for diagnosing chronic pericarditis and guiding management.

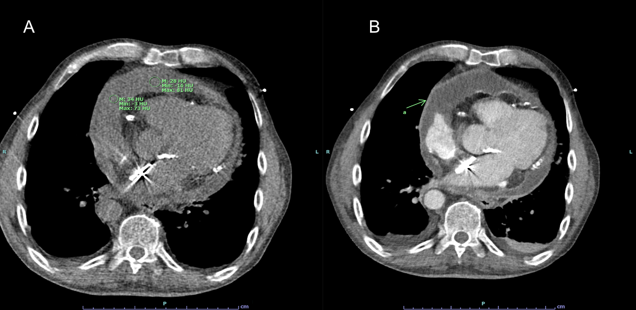
Case Summary: A 65-year-old male with a history of stroke, PFO closure with a 35-mm Amplatzer septal occluder, and deep vein thrombosis on apixaban presented with chest pain and dyspnea. CT imaging showed a large pericardial effusion with early tamponade. Pericardiocentesis drained 1.4 liters of hemorrhagic fluid— fluid analysis indicated inflammatory etiology. The drain was removed after three days, but effusion recurred within 48 hours.

Decision-making: A transesophageal echocardiogram (TEE) was attempted due to suspected device erosion, but it was aborted due to severe cervical kyphosis. Cardiac CT revealed multi-pocketed hemopericardium, clots, thickened pericardium and aortic root edema, with the PFO closure device well-positioned. Limited sternotomy with adhesiolysis, fluid drainage, and pericardiectomy excluded erosion, confirmed an intact aorta and intracardiac device, and treated pericarditis. Fluid analysis, inconclusive for other causes, attributed the effusion to chronic pericarditis.

Discussion: Cardiac CT was pivotal in diagnosing recurrent hemorrhagic effusion and evaluating PFO device position when TEE was infeasible. It detailed effusion extent and pericardial inflammation, guiding surgical planning. Pericardiectomy confirmed device integrity, ruled out erosion—a serious complication causing bleeding or fistulas—and prevented effusion recurrence. This case highlights CT’s diagnostic precision and surgery’s role in managing chronic pericarditis and device-related risks.

Conclusion: Recurrent hemorrhagic pericardial effusion in chronic pericarditis requires evaluating diverse etiologies, including trauma, autoimmune diseases, infections, malignancy, and device complications. In patients with PFO closure devices like the Amplatzer septal occluder, excluding erosion is critical. In this case, CT-guided diagnosis and surgical intervention via sternotomy and pericardiectomy resolved the effusion, verified device position, and confirmed chronic pericarditis, emphasizing integrated imaging and surgery for managing complex effusions.
  • Patel, Zeel  ( Hackensack University Medical Center , Jersey City , New Jersey , United States )
  • Liu, Yang  ( Hackensack University Medical Center , Jersey City , New Jersey , United States )
  • Wengrofsky, Perry  ( Hackensack University Medical Center , Jersey City , New Jersey , United States )
  • Yoon, Sung-han  ( Hackensack University Medical Center , Jersey City , New Jersey , United States )
  • Author Disclosures:
    Zeel Patel: DO NOT have relevant financial relationships | Yang Liu: DO NOT have relevant financial relationships | Perry Wengrofsky: No Answer | Sung-Han Yoon: DO NOT have relevant financial relationships
Meeting Info:

Scientific Sessions 2025

2025

New Orleans, Louisiana

Session Info:

Layers of Complexity: Managing Pericardial Infection, Hemorrhage and Inflammation

Monday, 11/10/2025 , 10:45AM - 11:55AM

Moderated Digital Poster Session

More abstracts on this topic:
18F-NaF and 18F-FDG and calcification predict the development of abdominal aortic aneurysms and is attenuated by drug therapy

Nakahara Takehiro, Miyazawa Raita, Iwabuchi Yu, Tonda Kai, Narula Nupoor, Strauss Harry, Narula Jagat, Jinzaki Masahiro

Cryptogenic stroke and Patent Foramen Ovale: Elevated Lipoprotein (a), a factor in the equation

Rodriguez-taveras Joan, Guzman Christian, Romano Peralta Ramón, Herrera Baez Karla, Urena Neme Ana Paula, Tarafa Jorge A., Ureña Velasquez Pedro Enrique, Reyes Herrera Danna, Garcia Diaz Bradly, Araujo Alejandro, Suero Claudia, Castillo De La Cruz Gabriella, Fondeur Acosta Juan, Santiago Javier, Perez Colome Ernesto

More abstracts from these authors:
You have to be authorized to contact abstract author. Please, Login
Not Available