Logo

American Heart Association

  45
  0


Final ID: Mo3135

Catastrophic Antiphospholipid Syndrome Mimicking Acute Coronary Syndrome: A Diagnostic Challenge with Critical Clinical Implications

Abstract Body (Do not enter title and authors here): Case Description:
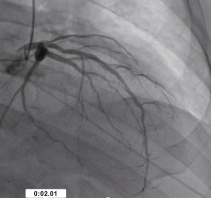
A 66-year-old male with a history of non-obstructive coronary artery disease [Image 1], unprovoked pulmonary embolism, hypertension, and diastolic heart failure presented with left-sided chest pressure three weeks post-NSTEMI. High-sensitivity troponin was elevated at 141 ng/L. He concurrently reported fingertip pain, intermittent confusion, and dizziness.

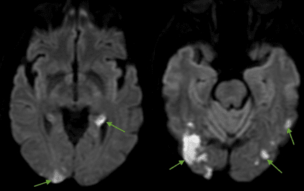
On hospital day two, he developed acute delirium, digital ischemia [Image 2], and right upper extremity pain. Brain MRI revealed multiple acute infarcts in bilateral frontoparietal, thalamic, and parieto-occipital territories [Image 3]. Despite therapeutic anticoagulation, a right upper extremity venous duplex showed acute brachial vein thrombosis. Anticoagulation was temporarily held, and warfarin was initiated due to suspected apixaban failure.

Laboratory workup revealed markedly elevated antiphospholipid antibodies (cardiolipin IgG >112 GPL, β2-glycoprotein I >112 SGU) and progressive thrombocytopenia (253K --> 91). Additional findings included retinal cotton wool spots and digital ischemia, confirming multi-organ involvement consistent with CAPS.

The patient was treated with combination “triple therapy” (therapeutic anticoagulation, high-dose steroids, and plasmapheresis), alongside rituximab, achieving clinical stabilization. Notably, failure of direct oral anticoagulant therapy reinforces the importance of using vitamin K antagonists in high-risk APS, consistent with current EULAR recommendations.

Discussion:
This case illustrates CAPS masquerading as recurrent ACS, with diagnostic ambiguity compounded by prior cardiac history and elevated troponins in the absence of coronary obstruction. Key red flags—including multi-territory infarcts, peripheral thromboses, and systemic signs—should prompt early evaluation for APS/CAPS. DOAC failure in this context adds to the growing evidence base against their use in high-risk APS patients. Warfarin remains the first-line therapy, particularly in triple-positive cases or those with recurrent thrombosis.

Key Takeaways:
1. Consider CAPS in patients with thrombotic events despite adequate anticoagulation.
2. Elevated troponins with non-obstructive coronary disease may reflect microvascular thrombosis.
3. Early recognition of multi-organ involvement is vital to prevent morbidity and mortality.
4. This case reinforces guideline-directed therapy with warfarin in high-risk APS/CAPS.
  • Vemula, Shree Laya  ( South Brooklyn Health , Brooklyn , New York , United States )
  • Dey, Dipon  ( South Brooklyn Health , Brooklyn , New York , United States )
  • Efa, Jessica  ( South Brooklyn Health , Brooklyn , New York , United States )
  • Foster, Allison  ( South Brooklyn Health , Brooklyn , New York , United States )
  • Toreli, Aleksandre  ( South Brooklyn Health , Brooklyn , New York , United States )
  • Author Disclosures:
    Shree Laya Vemula: DO NOT have relevant financial relationships | Dipon Dey: No Answer | Jessica Efa: No Answer | Allison Foster: DO NOT have relevant financial relationships | Aleksandre Toreli: No Answer
Meeting Info:

Scientific Sessions 2025

2025

New Orleans, Louisiana

Session Info:

Vascular Cases and Unique Scientific Inquiries

Monday, 11/10/2025 , 01:00PM - 02:00PM

Abstract Poster Board Session

More abstracts on this topic:
A Case of Steroid-Refractory Immune-checkpoint-inhibitor Induced Myocarditis Responsive to Mycophenolate and Anti-thymocyte globulin

Dabdoub Jorge, Wilson Michael, Gottbrecht Matthew, Salazar Ryan, Shih Jeffrey

Comparative Effectiveness of Direct oral Anticoagulants and warfarin in Reduced ejection fraction after stroke (CEDAR)

Morsi Rami, Aziz Yasmin, Brown Tiffany, Salehi Omran Setareh, Singh Raman, Haq Maryam, Saleh-velez Faddi, Coogan Anne, Ghanayem Tamer, Kerrigan Deborah, Yaghi Shadi, Badillo Goicoechea Elena, Shu Liqi, Mandel Daniel, Stretz Christoph, Furie Karen, Khasiyev Farid, Linares Guillermo, Arevalo Andrea, Bakradze Ekaterina, Mackenzie Isobel, Khasawneh Mohammad, Chahine Ahmad, Koc Fatih, Hegde Meghna, Qureshi Abid, Herning Ana, Klein Piers, Nguyen Thanh, Husain Muhammad, Rizwan Umer, Rothstein Aaron, Witsch Jens, Cheng Yee Kuang, George Donna, Thind Sonam, Shah Atman, Nathan Sandeep, Coleman Elisheva, Brorson James, Siegler James, Prabhakaran Shyam, Mansour Ali, Kass-hout Tareq, Abbasi Mehdi, Zubair Adeel, De Havenon Adam, Yahnke Ian, Casteigne Bryce

More abstracts from these authors:
Heparin-Resistant Massive Pulmonary Embolism in a Young Female: A Multi-Hit Thrombotic Storm

Vemula Shree Laya, Grigoryan Gevorg, Sukhoo-pertab Marc, Hegde Sudhanva, Toreli Aleksandre

Targeted IL-1 Inhibition in Coxsackievirus-Induced Incessant Pericarditis: An Immunotherapy Approach

Vemula Shree Laya, Dey Dipon, Patel Chinar, Foster Allison, Khanna Ashok

You have to be authorized to contact abstract author. Please, Login
Not Available