Logo

American Heart Association

  73
  0


Final ID: MP1947

Heparin-Resistant Massive Pulmonary Embolism in a Young Female: A Multi-Hit Thrombotic Storm

Abstract Body (Do not enter title and authors here): Case Description:
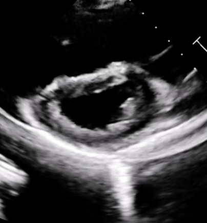
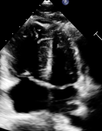
An 18-year-old female presented to the emergency department with acute-onset dyspnea, chest pain, nausea, vomiting, and syncope after four months of oral contraceptive use and active vaping. Physical examination revealed tachycardia (135 bpm) and tachypnea, with ECG showing sinus tachycardia. Laboratory studies demonstrated dramatically elevated D-dimer (12,756), elevated proBNP (660), and troponin (299 225). Echocardiography revealed the D-sign [Image 1] classic McConnell sign - severely dilated right ventricle with hyperkinetic apex and hypokinetic basal-to-mid free wall [Image 2], confirming massive PE with acute cor pulmonale. CT angiography revealed extensive bilateral pulmonary emboli with signs of right heart strain [Image 3]. Immediate anticoagulation with heparin was initiated, followed by ICU admission where alteplase was administered for massive PE. Remarkably, the patient demonstrated complete heparin resistance with no APTT response despite escalating doses over 24 hours and the decision was made to switch to rivaroxaban 15mg twice daily. Patient symptoms significantly improved on day 3 and was eventually discharged with follow up appointment to hematology.

Discussion:
Thrombophilia workup revealed a multi-hit scenario: antithrombin III deficiency (68%, normal 85-135%) directly caused heparin resistance, as AT-III serves as heparin's primary cofactor. Heterozygous Factor V Leiden mutation creates activated protein C resistance, increasing VTE risk 4-8 fold. In addition to that, she was found to have PAI-1 4G/5G genotype which impairs fibrinolysis, amplifying thrombotic risk. Combined with OCPs (which increase clotting factors while decreasing natural anticoagulants) and vaping (causing endothelial dysfunction), these factors created exponential hypercoagulability in this young patient.

Conclusion:
This case demonstrates how multiple thrombotic risk factors can synergistically create catastrophic pulmonary embolism in young patients. Early recognition and aggressive intervention with thrombolysis can be life-saving. The identification of heparin resistance as a clinical clue to underlying thrombophilia opens new diagnostic pathways for personalized anticoagulation strategies, potentially revolutionizing PE management in the era of precision medicine.
  • Vemula, Shree Laya  ( South Brooklyn Health , Brooklyn , New York , United States )
  • Grigoryan, Gevorg  ( South Brooklyn Health , Brooklyn , New York , United States )
  • Sukhoo-pertab, Marc  ( South Brooklyn Health , Brooklyn , New York , United States )
  • Hegde, Sudhanva  ( South Brooklyn Health , Brooklyn , New York , United States )
  • Toreli, Aleksandre  ( South Brooklyn Health , Brooklyn , New York , United States )
  • Author Disclosures:
    Shree Laya Vemula: DO NOT have relevant financial relationships | Gevorg Grigoryan: DO NOT have relevant financial relationships | Marc Sukhoo-Pertab: DO NOT have relevant financial relationships | Sudhanva Hegde: No Answer | Aleksandre Toreli: No Answer
Meeting Info:

Scientific Sessions 2025

2025

New Orleans, Louisiana

Session Info:
More abstracts on this topic:
Catheter-Directed Intervention for High-Risk Acute Pulmonary Embolism in Patients with Cancer: Findings from the U.S. Nationwide Readmissions Database

Kumar Manoj, Ali Shafaqat, Nso Nso, Jamshed Aneeza, Murthi Mukunthan, Kumar Nomesh, Ricciardi Mark, Arman Qamar, Gomez Valencia Javier

Age- and Sex- Differences in the Accuracy of Rule-based Natural Language Processing Models for Identification of Pulmonary Embolism

Krishnathasan Darsiya, Jimenez David, Monreal Manuel, Secemsky Eric, Klok Erik, Hunsaker Andetta, Aghayev Ayaz, Muriel Alfonso, Hussain Mohamad, Appah-sampong Abena, Aneja Sanjay, Rashedi Sina, Mojibian Hamid, Goldhaber Samuel, Wang Liqin, Zhou Li, Krumholz Harlan, Piazza Gregory, Bikdeli Behnood, Khairani Candrika, Bejjani Antoine, Lo Ying-chih, Zarghami Mehrdad, Mahajan Shiwani, Caraballo Cesar, Jimenez Ceja Jose Victor

More abstracts from these authors:
Cardiac Manifestations Drive Clinical Outcomes in Rare Genetic Syndromes

Khodaverdian Hrag, Schaeffer Nicolas, Vemula Shree Laya, Ozga Dawid, Daich Jonathan, Bhogadi Maheshwari, Toreli Aleksandre, Hegde Sudhanva

Left Bundle Branch Area Pacing Redefines Physiological Stimulation Standards in High-Risk Cardiac Populations

Vemula Shree Laya, Schaeffer Nicolas, Khodaverdian Hrag, Ozga Dawid, Foster Allison, Bowser Carly, Sukhoo-pertab Marc, Khanna Ashok, Hegde Sudhanva

You have to be authorized to contact abstract author. Please, Login
Not Available