Logo

American Heart Association

  82
  0


Final ID: MP1949

A Hidden Threat: Trazodone-Induced Warfarin Failure Leading to Acute Mechanical Aortic Valve Thrombosis

Abstract Body (Do not enter title and authors here): Background:
Warfarin remains essential for preventing thrombosis in patients with mechanical heart valves. However, its narrow therapeutic index and susceptibility to drug interactions demand careful monitoring. We present a case of subacute mechanical aortic valve thrombosis likely precipitated by a warfarin–trazodone interaction.
Case Presentation:
A 58-year-old man with a history of bicuspid aortic stenosis requiring mechanical valve replacement—previously stable on chronic warfarin therapy (5 mg daily)—presented to the ED with three days of worsening dyspnea, cough, and upper back pain. Upon arrival, he was hypertensive, hypoxic, and in respiratory distress, exhibiting cold extremities, bilateral crackles, and an audible mechanical valve click.
Labs revealed an INR of 1.3 (previously therapeutic), lactate 9.0 mmol/L, troponin 233 ng/L, and BNP 6812 pg/mL. CTA showed possible multifocal pneumonia. Initially, he was diagnosed with septic shock and ARDS, requiring vasopressors and BiPAP. Shortly after, he suffered a cardiac arrest, requiring intubation and vasopressor escalation.
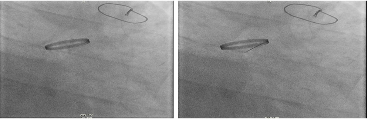
Transthoracic echocardiography (TTE) revealed a peak gradient of 3.7 m/s and mean gradient of 28 mmHg across the prosthetic valve. Urgent transesophageal echocardiography (TEE) showed severely restricted leaflet motion with torrential aortic regurgitation—highly suggestive of valve thrombosis. Due to prohibitive surgical risk, thrombolysis with alteplase (25 mg over 6 hours) was administered. Repeat TEE demonstrated improved leaflet motion (velocity 2.2 m/s, mean gradient 17.6 mmHg), LVEF of 25%, and new severe mitral regurgitation. He was stabilized on milrinone and extubated by hospital day five.
Despite restarting warfarin—at doses up to 30 mg daily (three times his prior regimen)—therapeutic INR was not achieved until 10 days later. Further interrogation revealed, thirteen days prior to ED visit, he was started on trazodone 50 mg. No other interacting medications or hepatic dysfunction were identified. Trazodone was identified as the likely culprit and had been discontinued. His INR subsequently normalized.
Discussion:
Trazodone may reduce warfarin efficacy, leading to subtherapeutic INR and valve thrombosis in mechanical valve patients. While the exact mechanism is unclear, proposed theories include CYP2C9 induction, increased warfarin clearance, or protein-binding displacement. This case highlights the need for close INR monitoring when initiating trazodone in patients on warfarin.
  • Vogt, Cody  ( Geisinger Medical Center , Danville , Pennsylvania , United States )
  • Malik, Saad  ( Geisinger Medical Center , Danville , Pennsylvania , United States )
  • Pfirman, Kristopher  ( Geisinger Medical Center , Danville , Pennsylvania , United States )
  • Author Disclosures:
    Cody Vogt: DO NOT have relevant financial relationships | Saad Malik: DO NOT have relevant financial relationships | Kristopher Pfirman: DO NOT have relevant financial relationships
Meeting Info:

Scientific Sessions 2025

2025

New Orleans, Louisiana

Session Info:
More abstracts on this topic:
Lytics or Leave it? Prosthetic Valve Thrombosis with Severe Aortic Insufficiency

Gupta Vrinda, Troy Aaron, Cingolani Oscar, Frank Rachel

Comparative Effectiveness of Direct oral Anticoagulants and warfarin in Reduced ejection fraction after stroke (CEDAR)

Morsi Rami, Aziz Yasmin, Brown Tiffany, Salehi Omran Setareh, Singh Raman, Haq Maryam, Saleh-velez Faddi, Coogan Anne, Ghanayem Tamer, Kerrigan Deborah, Yaghi Shadi, Badillo Goicoechea Elena, Shu Liqi, Mandel Daniel, Stretz Christoph, Furie Karen, Khasiyev Farid, Linares Guillermo, Arevalo Andrea, Bakradze Ekaterina, Mackenzie Isobel, Khasawneh Mohammad, Chahine Ahmad, Koc Fatih, Hegde Meghna, Qureshi Abid, Herning Ana, Klein Piers, Nguyen Thanh, Husain Muhammad, Rizwan Umer, Rothstein Aaron, Witsch Jens, Cheng Yee Kuang, George Donna, Thind Sonam, Shah Atman, Nathan Sandeep, Coleman Elisheva, Brorson James, Siegler James, Prabhakaran Shyam, Mansour Ali, Kass-hout Tareq, Abbasi Mehdi, Zubair Adeel, De Havenon Adam, Yahnke Ian, Casteigne Bryce

More abstracts from these authors:
Cardiogenic Shock due to Flecainide Toxicity: No substitute for time.

Mcnaught Jeremy, Shuey Timothy, Caplan Alex, Vogt Cody, Pfirman Kristopher

Ventricular Tachycardia Ablation Using MRI Guidance: A Systematic Review and Meta-Analysis

Malik Saad Ullah, Bitton Neria, Olenginski Gregory, Pfirman Kristopher, Vijayaraman Pugazhendhi

You have to be authorized to contact abstract author. Please, Login
Not Available