Logo

American Heart Association

  63
  0


Final ID: Su2061

The Starved Heart: Pericarditis in Extreme Anorexia Nervosa

Abstract Body (Do not enter title and authors here): Background:
Anorexia nervosa (AN) is a psychiatric disorder defined by restrictive eating, fear of weight gain, and distorted body image, with a lifetime prevalence of ~4% among females. In its severe form, AN leads to multi-organ complications, particularly affecting the cardiovascular system. Bradycardia, hypotension, and asymptomatic pericardial effusions occur in up to 25% of patients. However, symptomatic pericarditis in AN has not been previously documented.

Case Presentation:
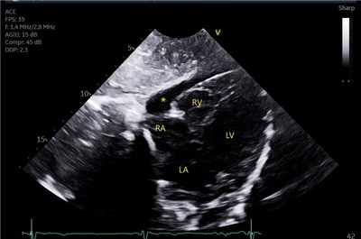
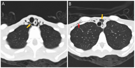
A 21-year-old female with depression presented with two days of sharp, positional chest pain, dyspnea, palpitations, and weakness. She reported eating less than one meal per day, running 22 miles daily, self-induced vomiting, and experiencing one year of amenorrhea. On exam, her BMI was 10.7 kg/m^2, with lanugo, proximal muscle weakness, and a pericardial friction rub. Labs showed hypokalemia, hypophosphatemia, transaminitis, elevated CK, and leukocytosis. ECG demonstrated diffuse ST elevations and PR depression in aVR. Transthoracic echocardiography revealed a moderate pericardial effusion without tamponade (Figure 1). CT chest showed pneumomediastinum and subcutaneous emphysema without evidence of esophageal perforation (Figure 2). Workup for infectious, autoimmune, ischemic, and thyroid causes was negative. She was diagnosed with severe AN and major depressive disorder. Management included IV fluids, electrolyte repletion, and nutritional support. Pericarditis was treated with ibuprofen and colchicine. Psychiatric therapy included olanzapine and mirtazapine for appetite stimulation and mood support. She was discharged to a structured inpatient nutritional rehabilitation program.

Discussion:
This is the first reported case of symptomatic pericarditis in AN. While pericardial effusions are often asymptomatic and linked to myocardial and pericardial fat loss, this case suggests purging-induced esophageal microperforations may cause subclinical mediastinitis, triggering pericardial inflammation. Cardiovascular complications occur in up to 87% of patients with AN. A high index of suspicion for pericarditis is warranted in malnourished patients presenting with chest pain. ECG, echocardiography, and imaging are essential.

Conclusion:
Symptomatic pericarditis is a rare but serious cardiac complication of AN. Early diagnosis and coordinated multidisciplinary care are essential for recovery.
  • Mansour, Mohamad  ( MedStar Georgetown University , Baltimore , Maryland , United States )
  • Haque, Obaid  ( MedStar Georgetown University , Baltimore , Maryland , United States )
  • Mestarihi, Aseed  ( University of central Florida , Gainesville , Florida , United States )
  • Author Disclosures:
    Mohamad Mansour: DO NOT have relevant financial relationships | Obaid Haque: DO NOT have relevant financial relationships | Aseed Mestarihi: DO NOT have relevant financial relationships
Meeting Info:

Scientific Sessions 2025

2025

New Orleans, Louisiana

Session Info:

Interesting Cases Across Cardiovascular Disease Prevention and CKM

Sunday, 11/09/2025 , 03:15PM - 04:15PM

Abstract Poster Board Session

More abstracts on this topic:
Barriers and Facilitators to Clinician Engagement in an Implementation Science-Informed Digital Health Intervention for Depression Treatment in Patients with Coronary Heart Disease

Kim Kain, Ospina Nohora, Diamond Meredith, Flores Samantha, Mizhquiri Barbecho Jennifer, Moise Nathalie

Food Insecurity and Sleep Duration among Hypertensive Patients in Jamaica

Wambugu Vivien, Desai Mayur, Oladele Carol, Ferguson Trevor, Bennett Nadia, Facey Keri-an, Lawrence Cavel, Galusha Deron, Cunningham-myrie Colette, Tulloch-reid Marshall, Brewster Marlene, Boyne Michael

More abstracts from these authors:
Safety and Efficacy of Intravenous Tenecteplase Prior to Mechanical Thrombectomy in Acute Ischemic Stroke: A Systematic Review and Meta-Analysis

Haider Ali, Yadav Indresh, Manasrah Almothana, Tahir Hafiz Muhammad Talha, Haque Obaid, Saleem Muhammad Sabih, Ur Rehman Atta, Zafar Shahzad, Anjum Muhammad Umair, Jajja Salman Ayub, Rizvi Syed Fazal, Hassan Furqan, Altaf Aneesa, Ullah Aman

Oral Anticoagulant Monotherapy vs Dual Antithrombotic Therapy in Patients with Atrial Fibrillation and Stable Coronary Artery Disease Following Percutaneous Coronary Intervention: Insights from a Real-World TriNetX Cohort Study

Mestarihi Aseed, Obeidat Omar, Alqudah Qusai, Rayyan Abdallah, Mansour Mohamad, Daise Mohd, Kc Anil

You have to be authorized to contact abstract author. Please, Login
Not Available