Logo

American Heart Association

  29
  0


Final ID: MP252

Unmasking Hypertrophic Cardiomyopathy: Ventricular Crypts as the Earliest Clue

Abstract Body (Do not enter title and authors here): Background: Left ventricular (LV) myocardial crypts, defined as blood-filled invaginations penetrating >50% of myocardial thickness, remain a debated imaging finding. While associated with hypertrophic cardiomyopathy (HCM) in genotype-positive/phenotype-negative individuals, their prognostic significance in asymptomatic patients without confirmed genetic mutations is unclear.

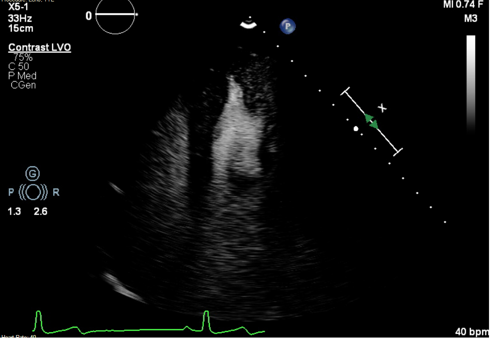
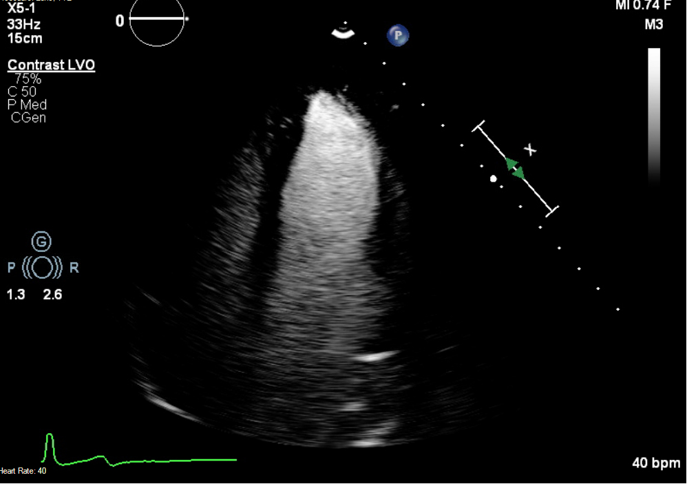
Case Presentation: A 20-year-old asymptomatic female with inferoseptal precordial T-wave inversions underwent sports pre-participation screening. Transthoracic echocardiography (TTE) revealed an apical LV crypt without hypertrophy. Cardiac MRI (CMR) demonstrated non-specific late gadolinium enhancement (LGE) in the basilar septum and inferior walls but no hypertrophy. Exercise stress testing and ambulatory monitoring were normal, and no activity restrictions were imposed. Repeat CMR at 2 years revealed new apical hypertrophy (12 mm) with apical to basal ratio of 1.2 raising suspicion for apical hypertrophy.
Discussion: This case challenges conventional paradigms by demonstrating temporal progression from isolated crypts to hypertrophy in a genotype-negative patient, supporting emerging evidence that crypts may represent a "pre-hypertrophic" marker. The presence of non-specific LGE on initial CMR, a pattern linked to early fibrosis in HCM mutation carriers, raises questions about whether such findings in crypt-bearing myocardium warrant closer surveillance. Current guidelines lack consensus on imaging intervals for crypts without hypertrophy; this rapid phenotypic evolution within 2 years—faster than typical HCM trajectories—suggests current 3–5 year surveillance windows may be inadequate. The case compels re-examination of crypt management in asymptomatic populations, particularly athletes, where delayed diagnosis carries sudden cardiac death risks. It advocates for reclassifying crypts with LGE as high-risk morphological markers and underscores the need for prospective studies to define optimal surveillance protocols.
  • Rasheed, Ahmed Daniyaal  ( Hartford Hospital , Bloomfield , Connecticut , United States )
  • Nadig, Vidya  ( Hartford Hospital , Bloomfield , Connecticut , United States )
  • Fernandez, Antonio  ( HARTFORD HOSPITAL , Hartford , Connecticut , United States )
  • Author Disclosures:
    Ahmed Daniyaal Rasheed: DO NOT have relevant financial relationships | Vidya Nadig: DO NOT have relevant financial relationships | Antonio Fernandez: No Answer
Meeting Info:

Scientific Sessions 2025

2025

New Orleans, Louisiana

Session Info:

Beyond the Usual Suspects: Imaging Insights in HCM and Rare Cardiomyopathies

Saturday, 11/08/2025 , 09:15AM - 10:30AM

Moderated Digital Poster Session

More abstracts on this topic:
AI-enhanced Electrocardiographic Evaluation of Left Ventricular Ejection Fraction and Outflow Tract Gradient in Hypertrophic Cardiomyopathy

Sangha Veer, Aminorroaya Arya, Dhingra Lovedeep, Pedroso Aline, Oikonomou Evangelos, Khera Rohan

Chronic administration of EDG-7500, a novel sarcomere modulator, prevents increases in cardiac mass, T1 relaxation time, and left ventricular end diastolic pressure in a Yucatan mini-pig model of genetic non-obstructive hypertrophic cardiomyopathy.

Emter Craig, Del Rio Carlos, Semigran Marc, Russell Alan, Evanchik Marc, Lehman Sarah, Lee Lindsey, Dinatale Emy, Peter Angela, Henze Marcus, Bluemke David, Tharp Darla, Roof Steve

More abstracts from these authors:
Acute Left Ventricular Thrombosis and Systemic Embolism Following Testosterone Therapy

Rasheed Ahmed Daniyaal, Naseer Ahmed, Nadig Vidya

Multimodal AI Integrating CMR, Demographics, and Lab Data Achieves High-Accuracy Cardiac Amyloidosis Subtyping with Interpretability and Uncertainty Quantification

Martin Parker, Singh Jai, Gabr Elmoatasem, Shah Dipan, Fadl Shaimaa, Trankle Cory, Nadig Vidya, Pursnani Amit, Sarswat Nitasha, Simonetti Orlando, Slivnick Jeremy, Liu Yifan, Xue Yuan, Zareba Karolina, Smart Suzanne, Goyal Akash, Poonawalla Maria, Miralles Frank, Patel Amit, De Carvalho Singulane Cristiane

You have to be authorized to contact abstract author. Please, Login
Not Available