Logo

American Heart Association

  60
  0


Final ID: MP1802

Immune checkpoint inhibitor myocarditis presenting as acute coronary syndrome

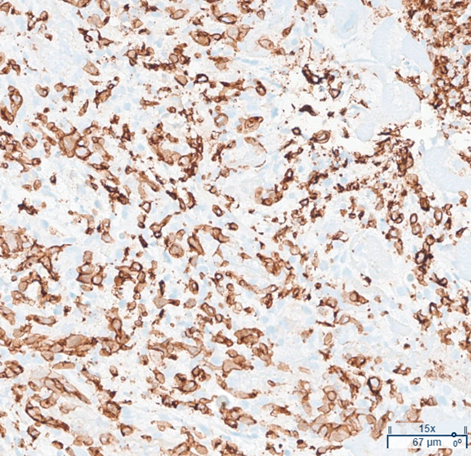
Abstract Body (Do not enter title and authors here): Case: A 64-year-old male with stage IV squamous cell carcinoma on durvalumab (last dose 2 months prior) presented with acute dyspnea on exertion. Vitals were notable for heart rate of 128 beats per minute and oxygen saturation of 92% on 4 liters of nasal cannula. EKG showed ST elevation in V1-2 and aVR, with reciprocal ST depressions in II, III, and aVF. Labs revealed troponin >10,000 ng/L and BNP 14,492 pg/mL. Computed tomography angiography (CTA) ruled out pulmonary embolism. Transthoracic echocardiogram (TTE) showed left ventricular ejection fraction (EF) 48% with hypokinesis of the left ventricular septum. Emergent coronary angiography demonstrated non-obstructive coronary artery disease. Cardiac MRI revealed mid-myocardial late gadolinium enhancement, and endomyocardial biopsy confirmed CD8+ T-cell infiltration consistent with ICI-induced myocarditis. His hospital course was complicated by an episode of sustained monomorphic ventricular tachycardia, managed with amiodarone, followed by placement of a subcutaneous implantable cardioverter-defibrillator. Treatment with high-dose corticosteroid therapy followed by Abatacept for ICI-induced myocarditis led to resolution of symptoms and improvement in cardiac biomarkers, allowing for the patient to be safely discharged.
Discussion: Immune checkpoint inhibitors (ICIs) targeting programmed cell death protein 1 (PD-1) and its ligand PD-L1 have transformed cancer therapy but are associated with rare and potentially fatal immune-related adverse events such as myocarditis. While ICI myocarditis can typically cause non-specific EKG findings and arrhythmias, it is unusual for patients to present with ST-segment elevations and markedly elevated troponins mimicking acute coronary syndrome (ACS) in the absence of obstructive coronary disease. This case emphasizes the importance of considering myocarditis in the differential diagnosis of ACS-like presentations in patients receiving immunotherapy, particularly when angiography is unrevealing. In these cases, Cardiac MRI and endomyocardial biopsy can aid in diagnosis when standard ischemic workups are inconclusive. As the use of ICIs becomes more common, recognition of this presentation is critical for cardiologists as early diagnosis and intervention can prevent life-threatening arrhythmias and improve outcomes in patients receiving immunotherapy.
  • Abraham, Kenney  ( Stony Brook University Hospital , Stony Brook , New York , United States )
  • Zheng, Mina  ( Stony Brook University Hospital , Stony Brook , New York , United States )
  • Pelletier, Matthew  ( Stony Brook University Hospital , Stony Brook , New York , United States )
  • Zavala, Artemio  ( Stony Brook University Hospital , Stony Brook , New York , United States )
  • Heslin, Ryan  ( Stony Brook University Hospital , Stony Brook , New York , United States )
  • Sharma, Anupama  ( Stony Brook University Hospital , Stony Brook , New York , United States )
  • Author Disclosures:
    Kenney Abraham: DO NOT have relevant financial relationships | Mina Zheng: No Answer | Matthew Pelletier: No Answer | Artemio Zavala: DO NOT have relevant financial relationships | Ryan Heslin: No Answer | Anupama Sharma: DO NOT have relevant financial relationships
Meeting Info:

Scientific Sessions 2025

2025

New Orleans, Louisiana

Session Info:

Lessons from the Front Lines: Challenging Coronary Case Reports

Sunday, 11/09/2025 , 09:15AM - 10:15AM

Moderated Digital Poster Session

More abstracts on this topic:
A Bridge from Sweet to Sour: A Case of Recurrent Myocardial Stunning in Diabetic Ketoacidosis

Satish Vikyath, Pargaonkar Sumant, Slipczuk Leandro, Schenone Aldo, Maliha Maisha, Chi Kuan Yu, Sunil Kumar Sriram, Borkowski Pawel, Vyas Rhea, Rodriguez Szaszdi David Jose Javier, Kharawala Amrin, Seo Jiyoung

High Throughput 3D-Printed Human Engineered Heart Tissues for Cardiac Disease Modeling

Juarros Miranda, Dhand Abhishek, Martin Thomas, Valle-ayala Henry, Hunt Dakota, Burdick Jason, Leinwand Leslie

More abstracts from these authors:
Catheter Ablation Versus Antiarrhythmic Drug Therapy for Ventricular Tachycardia in Structural Heart Disease: A Meta-Analysis of Randomized Controlled Trials

Tripathi Rahul, Gupta Shivani, Lee James, Zeidan Nezar, Pelletier Matthew, Kaiteris Alexander, Tao Michael

You have to be authorized to contact abstract author. Please, Login
Not Available