Logo

American Heart Association

  157
  0


Final ID: Sa2115

A Rare Case Of Localized Ventricular Tachycardia Due To Mitral Annular Disjunction And a Subvalvular Aneurysm

Abstract Body (Do not enter title and authors here): Introduction

Mitral annular disjunction (MAD) is an abnormality of the mitral valve where a portion of the mitral annulus and valve leaflets insert into the left atrium away from the fibrous annulus. Since its identification in 1981 its diagnosis has increased due to the advancements in cardiac imaging. It’s association with ventricular arrythmia (VA) and sudden cardiac death (SCD) underscores the importance of its identification. We present a case of ventricular tachycardia (VT) that is attributed to MAD with associated sub-mitral valve left ventricular aneurysm (SMA) formation.

Case

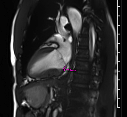
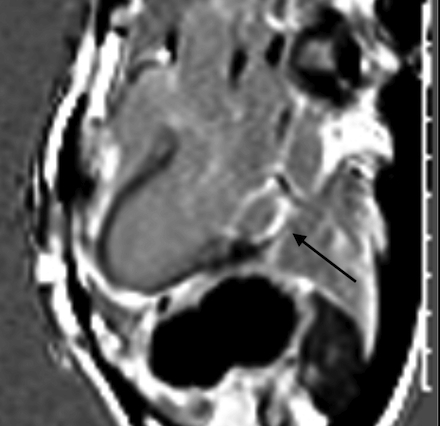
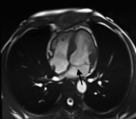
A 51-year-old African American male with history of posterior papillary muscle premature ventricular contractions (PVC), PVC induced cardiomyopathy, and family history of sudden cardiac death in his mother who presented to the emergency department due to palpitations. Electrocardiogram (ECG) showed sustained monomorphic VT at a rate of 160 bpm. This converted to normal sinus rhythm with intravenous amiodarone and metoprolol. Further work up included cardiac magnetic resonance which identified a 4 x 1.8 x 1.4 cm SMA on the basal inferior and inferolateral walls. There was near transmural late gadolinium enhancement (LGE) of the aneurysm and an associated 7 mm of MAD with posterior mitral valve prolapse (MVP). He underwent left heart catheterization which was normal. ECG showed a superior right axis with associated right bundle branch block which correlated to a basal inferolateral exit and to the location of the SMA. Ultimately the patient underwent implantation of secondary prevention implantable cardioverter-defibrillator and initiation of sotalol.

Discussion

The prevalence of MAD is approximately 30% in those with MVP and 8% in the general population. Those patients with MAD and MVP appear to be at higher risk for VA and SCD. The most likely mechanism for this association is the fibrotic changes that occur in the basal inferolateral left ventricle because of mechanical stretch on the papillary muscles by the prolapsing leaflets. The scar and aneurysm that develop can serve as substrate for reentrant VA. Treatment for this involves surgical repair of the mitral valve annulus and correction of the MAD distance which has been shown to improve arrythmia.

Conclusion

This case illustrates an important but poorly understood arrhythmogenic entity that will increase in incidence as cardiac imaging advances. Its implications in VA and SCD warrant further research.
  • O'toole, Timothy  ( Carilion Clinic , Roanoke , Virginia , United States )
  • Binder, Michael  ( Carilion Clinic , Roanoke , Virginia , United States )
  • Hama Amin, Ali  ( Carilion Clinic , Roanoke , Virginia , United States )
  • Author Disclosures:
    Timothy O'Toole: DO NOT have relevant financial relationships | Michael Binder: DO NOT have relevant financial relationships | Ali Hama Amin: No Answer
Meeting Info:

Scientific Sessions 2024

2024

Chicago, Illinois

Session Info:

Unusual Causes and Circumstances - Cardiac Arrhythmia Cases

Saturday, 11/16/2024 , 02:00PM - 03:00PM

Abstract Poster Session

More abstracts on this topic:
84 Immune checkpoint profiling in major aortic diseases leads to identification of potential roles of CD155-CD206 pathway in suppressing inflammation and immune responses

Shao Ying, Saaoud Fatma, Xu Keman, Lu Yifan, Jiang Xiaohua, Wang Hong, Yang Xiaofeng

Association of Structural Remodeling and Mitral Annular Disjunction with Significant Premature Ventricular Contraction Burden in Patients with Mitral Valve Prolapse: A Cardiac Magnetic Resonance Imaging Study

Calcagno Tess, Kwon Deborah, Wang Tom Kai Ming, Kalahasti Vidyasagar, Santangeli Pasquale, Wazni Oussama, Griffin Brian, Chen David, Nguyen Christopher, Sroubek Jakub

You have to be authorized to contact abstract author. Please, Login
Not Available