Logo

American Heart Association

  70
  0


Final ID: HCM16

Papillary Muscle Anatomy in Hypertrophic Cardiomyopathy: Comparison to Normal and Impact on Outcomes of Septal Myectomy

Abstract Body (Do not enter title and authors here): Background: Several studies have described anteroapical displacement of the anterolateral papillary muscle (PM) in patients with hypertrophic cardiomyopathy (HCM), implying a role in left ventricular outflow tract obstruction. Some surgeons address PM position during myectomy, but no quantitative imaging measures of abnormal versus normal PM anatomy exist.
Objective: To quantify PM anatomy in HCM using cardiac magnetic resonance imaging (CMR) and determine if differences in PM anatomy alter myectomy outcomes.
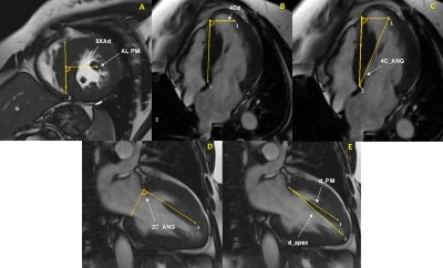
Methods: 143 patients with HCM (median age 58 (IQR 48-65) years, 64% male) who had undergone CMR were compared to 50 healthy controls (median age 32 (IQR 28-50) years, 40% male). The HCM cohort included 50 patients with non-obstructive HCM, 50 with obstructive HCM requiring transaortic myectomy, and 43 with obstructive HCM requiring transapical myectomy. Six independent measurements of PM anatomy were performed (Figure), comprising both established and novel measurements. Intergroup comparisons were made, and correlative analysis of PM measurements was performed using echocardiographic data and surgical outcomes.
Results:
There was significant variability in PM anatomy in all patients. The SXAd measurement was smaller (26.76 +/- 6.10 mm vs 32.10 +/- 4.85 mm, p < 0.001) in HCM patients versus controls. The 4Cd measurement was smaller in patients with apical HCM than in all other groups (p < 0.001). D_PM, d_apex, and the ratio between these measurements were consistent among all groups. No PM quantification in HCM patients correlated to pre-, intra-, or postoperative LVOT obstruction, NYHA class, or postoperative length of stay.
Conclusions:
Although there were some statistically significant differences between healthy patients and those with HCM, analysis of six different PM measurements yielded no associations with LVOT obstruction or outcomes of septal myectomy.
  • Gilreath, Kendra  ( MAYO CLINIC , Rochester , Minnesota , United States )
  • Sawma, Tedy  ( MAYO CLINIC , Rochester , Minnesota , United States )
  • Schaff, Hartzell  ( MAYO CLINIC , Rochester , Minnesota , United States )
  • Geske, Jeffrey  ( MAYO CLINIC , Rochester , Minnesota , United States )
  • Author Disclosures:
    Kendra Gilreath: DO NOT have relevant financial relationships | Tedy Sawma: No Answer | Hartzell Schaff: DO NOT have relevant financial relationships | Jeffrey Geske: DO have relevant financial relationships ; Research Funding (PI or named investigator):Bristol Myers Squibb:Active (exists now) ; Research Funding (PI or named investigator):Lexicon Pharmaceuticals:Active (exists now) ; Research Funding (PI or named investigator):Cytokinetics, Inc:Active (exists now)
Meeting Info:

Scientific Sessions 2025

2025

New Orleans, Louisiana

Session Info:

Hypertrophic Cardiomyopathy Medical Society Posters

Friday, 11/07/2025 , 06:30PM - 07:30PM

Abstract Poster Board Session

More abstracts on this topic:
A Highly Selective and Orally Available HDAC6 Inhibitor, EKZ-102, Ameliorates Cardiac Dysfunction and Exercise Intolerance in Cardiometabolic HFpEF

Elbatreek Mahmoud, Goodchild Traci, Lefer David, Evans Lauren, Richardson Thomas, James Rebecca, Schroeder Frederick, Wang Jianhong, Luterman Jim, Gilbert Tonya, Fisher Richard

A large-scale multi-view deep learning-based assessment of left ventricular ejection fraction in echocardiography

Jing Linyuan, Metser Gil, Mawson Thomas, Tat Emily, Jiang Nona, Duffy Eamon, Hahn Rebecca, Homma Shunichi, Haggerty Christopher, Poterucha Timothy, Elias Pierre, Long Aaron, Vanmaanen David, Rocha Daniel, Hartzel Dustin, Kelsey Christopher, Ruhl Jeffrey, Beecy Ashley, Elnabawi Youssef

You have to be authorized to contact abstract author. Please, Login
Not Available