Logo

American Heart Association

  34
  0


Final ID: 4362348

A Case of Concomitant Wild-Type Transthyretin and Systemic Light Chain Amyloidosis Involving Separate Organs

Abstract Body (Do not enter title and authors here): Description of Case
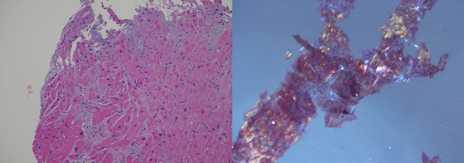
A 72-year-old man with atrial fibrillation and spontaneous bicep rupture presents as a referral to clinic for a 2-year history of progressively worsening dyspnea. A prior cardiac magnetic resonance showed subendocardial LGE throughout the left ventricle, with elevated T1 values and LVEF 25%. Prior coronary angiography with no coronary disease. Subsequently, a 99mTc HDP scan showed II/III in myocardial radiotracer uptake concerning for transthyretin cardiac amyloidosis (ATTR-CA) (Fig.1). Physical examination was notable for a BP of 93/59mmHg. JVP 16cmH20 with HJR. Heart had an irregularly irregular rate and rhythm, no murmurs. 1+ edema to the mid shins bilaterally. ECG low voltage and atrial fibrillation. Labs notable for Cr 1.17g/dL, NT-proBNP 4,872pg/mL. Serum free light chain assay with κ light chain 11.03mg/L and λ light chain 2080.7mg/L, for a κ/λ ratio of 0.01. The 24-hour urine sample with a free λ light chain excretion rate of 356.50 mg/24 hours. Bone marrow biopsy demonstrated 10% λ restricted plasma cell neoplasm with free λ/κ ratio of 188, meeting criteria for multiple myeloma. An endomyocardial biopsy with Congo red showed apple green birefringence and typing by mass spectrometry consistent with ATTR-CA (Fig. 2). Gene sequencing revealed his TTR gene was wild-type. Biopsy of the kidney with Congo red stain was focally positive for λ amyloid consistent with systemic AL amyloidosis (Fig. 3). He completed 6 cycles of cyclophosphamide, bortezomib, dexamethasone and daratumumb with a very good hematologic partial response. For his ATTR-CA, he was initiated on acoramidis, spironolactone, and empagliflozin with improvement in his symptoms and cardiac biomarkers over the following months.

Discussion
This is a case of concurrent ATTRwt-CA with systemic AL amyloidosis and kidney involvement. Although our case is unique in that these amyloid subtypes were identified in separate organs which is exceedingly rare, the key message of this case is the importance of a rigorous, thorough approach to diagnosing the etiology of suspected CA – which must include an evaluation for the evidence of AL, whether ATTR is suspected. A radionuclide scan for suspected cardiac amyloidosis should never be ordered in isolation. In the present case, had light chains not been ordered concurrently, the positive radionuclide scan may have led to a premature diagnosis of isolated ATTR-CA, but missed a crucial diagnosis of plasma cell dyscrasia.
  • Chiu, Leonard  ( UT Southwestern Medical Center , Dallas , Texas , United States )
  • Afrough, Aimaz  ( UT Southwestern Medical Center , Dallas , Texas , United States )
  • Nadeem, Urooba  ( UT Southwestern Medical Center , Dallas , Texas , United States )
  • Jebakumar, Deborah  ( UT Southwestern Medical Center , Dallas , Texas , United States )
  • Grodin, Justin  ( UT SOUTHWESTERN , Dallas , Texas , United States )
  • Author Disclosures:
    Leonard Chiu: DO NOT have relevant financial relationships | Aimaz Afrough: No Answer | Urooba Nadeem: No Answer | Deborah Jebakumar: DO NOT have relevant financial relationships | Justin Grodin: DO have relevant financial relationships ; Researcher:Pfizer:Active (exists now) ; Consultant:Tenax Therapeutics:Active (exists now) ; Consultant:Lumanity:Past (completed) ; Consultant:Ultromics:Past (completed) ; Advisor:AstraZeneca:Active (exists now) ; Advisor:Eidos / BridgeBIo:Active (exists now) ; Advisor:Alexion:Past (completed) ; Advisor:Novo Nordisk:Active (exists now) ; Research Funding (PI or named investigator):Eidos / BridgeBio:Past (completed)
Meeting Info:

Scientific Sessions 2025

2025

New Orleans, Louisiana

Session Info:

Laennec Fellow In Training (FIT) Clinician Award Competition

Saturday, 11/08/2025 , 01:30PM - 02:45PM

Abstract Oral Session

More abstracts on this topic:
Acoramidis Reduces All-Cause Mortality and Cardiovascular-Related Hospitalizations Through Month 42 in Transthyretin Amyloid Cardiomyopathy Across All Pre-specified Patient Subgroups

Stern Lily, Fine Nowell, Maurer Mathew, Grogan Martha, Ambardekar Amrut, Grodin Justin, Soman Prem, Garcia-pavia Pablo, Chen Chris, Siddhanti Suresh, Tamby Jean-francois, Fox Jonathan

90-Day Readmission Rates, Predictors, and Causes of Readmission After Placement of Left Atrial Appendage Occlusion Device in Patients With history of different malignancies: National Readmission Database analysis

Quevedo Ramirez Andres, Teaima Taha, Jha Vivek, Ibarra Joshua, Soon-shiong Raquel, Gomez Valencia Javier

More abstracts from these authors:
Commentary: Gene Therapy for Cardiac Amyloid

Grogan Martha, Grodin Justin, Ambardekar Amrut

Discussant: OLE & HELIOS-B

Grogan Martha, Kittleson Michelle, Nair Ajith, Grodin Justin, Ambardekar Amrut

You have to be authorized to contact abstract author. Please, Login
Not Available