Logo

American Heart Association

  41
  0


Final ID: MP1953

A Blood(y) Pressure Crisis: Diffuse Alveolar Hemorrhage as a Rare Manifestation of Severely Uncontrolled Hypertension

Abstract Body (Do not enter title and authors here): Introduction: Diffuse alveolar hemorrhage (DAH) is characterized by hemoptysis, anemia, and diffuse pulmonary infiltrates due to alveolar bleeding. Common causes include vasculitides, coagulopathy, infections, and valvular heart disease. DAH secondary to severe hypertension is extremely rare. We present a case of DAH in a patient with poorly controlled hypertension.

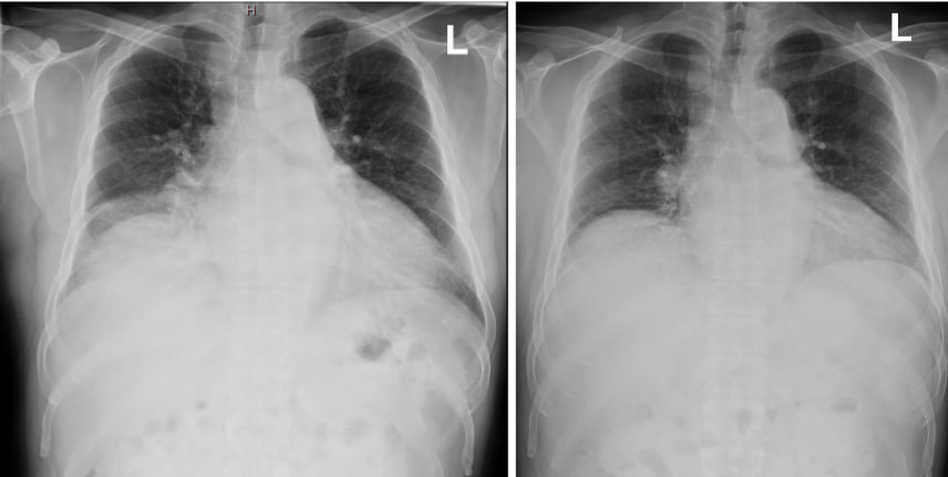
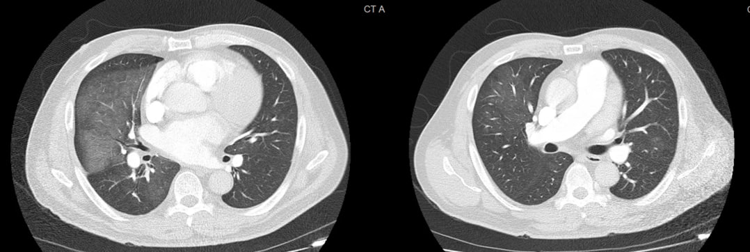
Case Description: A 58-year-old man with diabetes and poorly controlled hypertension presented with three days of hemoptysis. He denied other episodes of overt bleeding, chest pain, arthralgias, weight loss, or fever. He had a prior history of treated latent tuberculosis. He traveled to Las Vegas and noted a blow of moldy dust which he recalled as the only significant recent exposure. On arrival, BP was elevated at 206/131 mm Hg, but he was otherwise hemodynamically stable. Troponin was mildly elevated but later normalized. CBC and BMP were unremarkable. Inflammatory markers were minimally elevated (CRP: 3 mg/L, ESR: 10 mm/hr). CT chest showed diffuse bilateral ground-glass opacities. Bronchoscopy with BAL revealed friable mucosa and progressively bloody aliquots, confirming DAH. There was no evidence of malignancy or infection from BAL analysis. Extensive workup for DAH, including ANA, ANCA, cryoglobulins, anti-GBM, QuantiFERON, AFB smears and cultures, Leptospira, Legionella, Strongyloides, fungal, and bacterial cultures, was negative. TTE demonstrated normal EF and moderate LV hypertrophy; there was no valvular abnormality. With no alternate etiology, severely uncontrolled hypertension was deemed the most likely cause of DAH, supported by a few published case reports. The patient was started on nifedipine 60 mg and losartan 50 mg daily. With improved blood pressure for the remainder of his hospital stay, hemoptysis gradually resolved. At the post-hospital visit, he remained asymptomatic with good blood pressure control and complete resolution of lung opacities on imaging.

Conclusion: Severe hypertension can cause end-organ damage, affecting the heart, brain, and kidneys; however, DAH is a poorly recognized complication. Proposed mechanisms include alveolar capillary stress failure, microvascular endothelial injury, and pulmonary venous hypertension. While DAH is a rare presentation of severe hypertension with very few cases reported in the literature, our case highlights this unique complication and the importance of strict blood pressure control in its management.
  • Nandyal, Shreyas  ( Cook County Health , Chicago , Illinois , United States )
  • Amdetsion, Gedion Yilma  ( Cook County Health , Chicago , Illinois , United States )
  • Varma, Revati  ( Cook County Health , Chicago , Illinois , United States )
  • Kohli, Saksham  ( Cook County Health , Chicago , Illinois , United States )
  • Hammo, Hasan  ( Cook County Health , Chicago , Illinois , United States )
  • Author Disclosures:
    Shreyas Nandyal: DO NOT have relevant financial relationships | Gedion Yilma Amdetsion: DO NOT have relevant financial relationships | Revati Varma: No Answer | Saksham Kohli: DO NOT have relevant financial relationships | Hasan Hammo: No Answer
Meeting Info:

Scientific Sessions 2025

2025

New Orleans, Louisiana

Session Info:
More abstracts on this topic:
A Study Using Team Based Hypertension Care Focused on Black Patients to Inform a Future Randomized Trial

Manandhar Srista, Taylor Yhenneko, Bosworth Hayden, Pokharel Yashashwi, Chhetri Sunit, Sutton Danielle, Saha Animita, Kaur Suneet, Brown Josh, Moore Justin, Callahan Kate, Williamson Jeff

2 Dimensional Echocardiography versus 3 Dimentional Echocardiography to Assess Right Ventricular Function in Pulmonary Hypertension: A Systematic Review

Chaudhry Waleed Razzaq, Hajj Fatima, Bathula Satyamedha, Meghji Mohammed Askari, Pasupuleti Hemalatha, Kiyani Madiha, Shah Syeda Simrah, Neelakantan Ramaswamy Sanathanan, Mirzaeidizaji Nakisa, St. Jacques Jahnoy, Khan Khalil Ullah, Veluchamy Elakkiya, Jesse Joshanna

More abstracts from these authors:
Cortical Stroke from PFO in Malignancy-Associated Hypercoagulability: To Close or Not to Close? A Case Report and Narrative Literature Review

Nandyal Shreyas, Amdetison Gedion Yilma, Gajjar Rohan, Varma Revati, Banthiya Sukriti, Kumar Sanjay, Hammo Hasan



A Case of Possible IgG4-Related Constrictive Pericarditis Masquerading as Idiopathic Pericarditis: A Rare and Elusive Diagnosis

Nandyal Shreyas, Sharma Bharosa, Gajjar Rohan, Varma Revati, Ezegwu Olisa, Amdetison Gedion Yilma, Tottleben Jon

You have to be authorized to contact abstract author. Please, Login
Not Available