Logo

American Heart Association

  20
  0


Final ID: MP2130

Microbubbles In the Pericardial Space: An Unusual Echocardiographic Finding

Abstract Body (Do not enter title and authors here): Background:
Hydropneumopericardium is a term used to describe accumulation of fluid as well as air in the pericardial space. Air or microbubbles in the pericardial space are rare findings typically associated with trauma, invasive procedures, or mechanical ventilation. Less common causes include malignancy, infection, and spontaneous erosion of adjacent structures. Early identification is important, as pneumopericardium can lead to tamponade and have a high mortality rate.

Case Description:
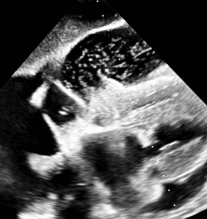
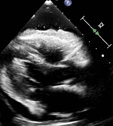
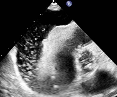
A 79-year-old woman with asthma presented with dyspnea, orthopnea, weight loss, and a right chest wall mass for 7 years. CT image revealed bilateral pleural effusions, a large pericardial effusion, and a right upper lobe soft tissue mass. Transthoracic echocardiography revealed a large pericardial effusion with unusual bright echo densities suggestive of microbubbles, raising concern for potential pneumopericardium. Pericardiocentesis was performed, yielding 400 mL of serous fluid. The drain remained in the place for approximately a week with persistent drainage that tapered slowly. The patient opted against getting a prophylactic pericardial window. Cytology reports came back positive for malignant effusion with suspected primary as malignant breast cancer, that is Estrogen Receptor and Progesterone Receptor positive. She was then started on Anastrozole and discharged to rehab with close follow up with oncology.

Discussion:
Pneumopericardium is most often related to trauma, barotrauma, or procedures such as pericardiocentesis, pacemaker placement, or esophagectomy. Less common causes include malignancy, tuberculosis, aspergillosis, and gastropericardial fistulae. Microbubbles in the pericardial space may be an early sign of air leakage, often preceding overt pneumopericardium. In our case, no communication with airways or gastrointestinal tract was identified on imaging, and no mechanical ventilation was used, ruling out barotrauma or fistulization. The presence of microbubbles may reflect localized necrosis or vascular invasion by tumor, leading to micro-air leak. Given the high mortality of unrecognized pneumopericardium and its potential for tamponade, early recognition of intrapericardial bubbles is critical. This case expands the differential diagnosis of this rare echocardiographic finding and highlights the importance of malignancy as an underlying etiology.
  • Rajkarnikar, Ruja  ( Geisinger Medical Center , Danville , Pennsylvania , United States )
  • Harmon, Rob  ( Geisinger Medical Center , Danville , Pennsylvania , United States )
  • Yost, Gregory  ( Geisinger Medical Center , Danville , Pennsylvania , United States )
  • Author Disclosures:
    Ruja Rajkarnikar: DO NOT have relevant financial relationships | Rob Harmon: No Answer | Gregory Yost: No Answer
Meeting Info:

Scientific Sessions 2025

2025

New Orleans, Louisiana

Session Info:

Echoes of Progress: Innovation, Automation and Disease Specific Insights

Monday, 11/10/2025 , 12:15PM - 01:30PM

Moderated Digital Poster Session

More abstracts on this topic:
Comparative Analysis of Transthoracic and Transesophageal Echocardiography for Diagnosis of High-Risk Patent Foramen Ovale

Jo Ha Hye, Kim Ga Yun, Song Jae-kwan

A Case Series of Papillary Fibroelastomas on the Coumadin ridge

Aboukhatwa Omar, Akiki Elias, Kurmann Reto, Larson Kathryn, Keeney Michael, Bois Melanie, Klarich Kyle

More abstracts from these authors:
You have to be authorized to contact abstract author. Please, Login
Not Available