Logo

American Heart Association

  11
  0


Final ID: MP1903

An Unusual Etiology of Tamponade: The Role of Solid Pericardial Debris

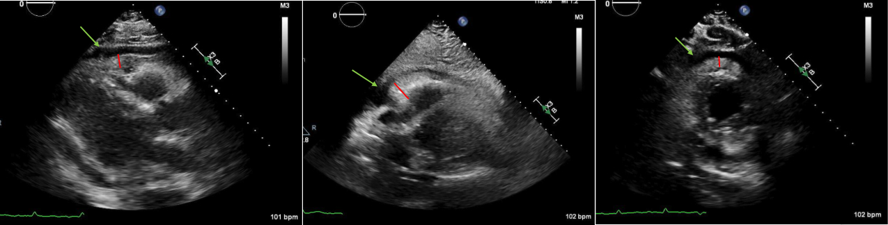
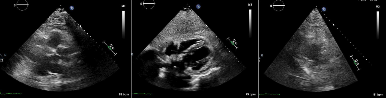
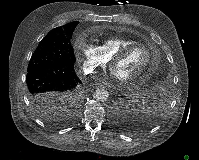
Abstract Body (Do not enter title and authors here): Case Description: A 71-year-old male presented to the hospital for dyspnea and chest discomfort for the past 2 weeks. He has a history of AAA status post stent and current tobacco use with emphysema. On admission, he was found to be tachycardic with rates reaching as high as 180 with systolic blood pressure of 89/61 and hypoxic with SpO2 of 80%. EKG revealed AFib with RVR with no acute ischemic changes. Troponins were negative and proBNP was 307. Infectious workup was negative. CTA chest showed no evidence of PE or dissection, however, moderate pericardial and bilateral pleural effusion was shown with mediastinal lymphadenopathy. After starting an esmolol and amiodarone drip, he converted to sinus tachycardia. TTE showed an EF 55%, echo dense debris measuring 2 cm with 1 cm effusion within the pericardial space resulting in significant compression of RA and RV. Findings were concerning for tamponade evidenced by invagination of RA and RV during systole and diastole respectively and greater than 50% variation and tricuspid inflow velocities with respiration. He was taken emergently to the OR for a pericardial window, thoracentesis, and chest tube. 300 mL and 400 mL of cloudy straw-colored fluid were removed from the pericardial and pleural space respectively. Fluid studies were negative for malignant cells and cultures remained negative. Repeat TTE showed an EF 55%, with epicardial fat pad and small posterior pericardial effusion. ANA testing was positive; however, other autoimmune studies are negative. His symptoms improved and he was discharged home.

Discussion: Cardiac tamponade is commonly caused by large pericardial effusions. Mild pericardial effusion less than 1 cm on TTE does not typically cause symptoms. However, the presence of significant pericardial debris can be problematic with minimal pericardial effusion. In this case, the patient developed cardiac tamponade complicated by AFib with RVR. Fortunately, hemodynamics and symptoms improved post pericardial window draining 300 mL of bloody fluid, but the diagnosis remains unknown given negative fluid studies. It's postulated that the debris is inflammatory in nature, but the absence of a diagnosis puts the patient at high risk for shock if the pericardial window fails. Patients with pericardial debris up to 2 cm on TTE with risk of developing pericardial effusion should be monitored with follow up TTE. Further studies are necessary to unveil the underlying etiology of large pericardial debris.
  • Lee, Tyler  ( Jefferson Abington Hospital , Abington , Pennsylvania , United States )
  • Emmi, Ronald  ( Jefferson Abington Hospital , Abington , Pennsylvania , United States )
  • Author Disclosures:
    Tyler Lee: DO NOT have relevant financial relationships | RONALD EMMI: No Answer
Meeting Info:

Scientific Sessions 2025

2025

New Orleans, Louisiana

Session Info:

Clinical Case: Critical Care Cardiology

Monday, 11/10/2025 , 09:15AM - 10:25AM

Moderated Digital Poster Session

More abstracts on this topic:
A Bleeding Heart: Chronic Pericarditis Manifesting as Recurrent Hemorrhagic Pericardial Effusion - Diagnostic Considerations with a PFO Closure Device and the Role of CT Imaging

Patel Zeel, Liu Yang, Wengrofsky Perry, Yoon Sung-han

2 Dimensional Echocardiography versus 3 Dimentional Echocardiography to Assess Right Ventricular Function in Pulmonary Hypertension: A Systematic Review

Chaudhry Waleed Razzaq, Hajj Fatima, Bathula Satyamedha, Meghji Mohammed Askari, Pasupuleti Hemalatha, Kiyani Madiha, Shah Syeda Simrah, Neelakantan Ramaswamy Sanathanan, Mirzaeidizaji Nakisa, St. Jacques Jahnoy, Khan Khalil Ullah, Veluchamy Elakkiya, Jesse Joshanna

More abstracts from these authors:
Atherosclerotic Cardiovascular Disease Risks in Children: An electronic health record data analytics approach

Liu Juanjuan, Bailey-davis Lisa, Ge Shuping, Garcia Victoria, Van Gieson Maya, Swackhamer Haydn, Lee Tyler, Lee Nicole, Cook Adam, He Alice, Wei Zhenglun

You have to be authorized to contact abstract author. Please, Login
Not Available